睡眠中に脳内で毒素の清掃作業が行われている様子がわかることが明らかに(米研究)

image credit:Pixabay
睡眠が必要不可欠なものであることはこれまでの様々な研究から明らかになっている。眠っている間に記憶を整理したり、嫌な記憶から感情負荷を取り除いたりたりするのはもちろん、と、その日脳に蓄積された毒素(老廃物)を除去するための清掃作業が行われているのだ。
そうした毒素の中にはアルツハイマー病を引き起こすものも含まれており、睡眠不足が常態化すると健康を崩す羽目にもなりかねない。
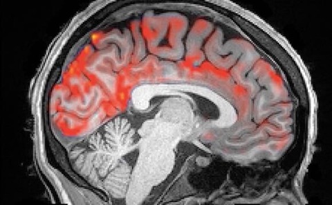
この度アメリカ・ボストン大学の研究グループは、睡眠中、脳内で脳脊髄液が毒素の清掃を行っている様子がわかるMRI映像を公開した。
睡眠中、脳内では脳脊髄液が毒素を洗浄している
マウスを対象とした動物実験によって、脳が働く過程で蓄積されてしまう毒素が睡眠で物理的に洗い流されることなら既に知られていた。『Science』(11月1日付)に掲載された今回の研究は、このことが人間にも当てはまるのかどうかを確認したものだ。
それを知るために、生物医学エンジニアのローラ・ルイス氏は、大勢の参加者にMRIの中で眠ってもらうように頼んで、そのときの脳の様子を観察するという実験を行った。
その結果、ノンレム睡眠になると、脳脊髄液の大きくゆっくりとした波が、脳全体を洗い流していることが明らかになったのである。
さらに脳波図からは、ノンレム睡眠に入ると神経細胞が同期して、スイッチのオンオフが始まることも判明した。
神経細胞が一斉に発火しなくなるので、それらはあまり酸素を必要としなくなる。このために脳への血流が減少する。

image credit:Vimeo
するとどうなるか?
そうしてできた隙間の中に脳脊髄液が勢いよく流れ込んでくるのだ。

image credit:Vimeo
要するに、比喩でもなんでもなく、脳脊髄液が昼の間にたまった毒物を本当にじゃぶじゃぶと洗い流しているのである。

image credit:Vimeo
ソース:
sleepwaves_lewis__001
これこそがリアル「洗脳」ってやつだ。
脳脊髄液を利用した新しい治療法が考案されるかもしれないからだ。
病気を引き起こす毒物を洗い流すことが治療として有効であるのなら、その洗浄液である脳脊髄液を増やしてやればいい。
薬で少しずつ病巣を治すより、ずっとパワフルなやり方かもしれない。そして、もちろん健康な人にとっても注目すべき研究結果である。

ちゃんと眠るのは脳を健康に保つうえで物理的に必要なことなのだ。わかっているけど眠れない、不眠症であるというのなら、しかるべき病院できちんと治療をうけよう。
管理人注 : まるで pcの、 クリーンアップと同じだ。
これこそがリアル「洗脳」ってやつだ。
ちゃんと眠ることは脳の病気にも健康管理にも大切
このニュースは、アルツハイマー病をはじめとする脳内の毒物に起因する病気を抱える患者全員にとってとても大切なことだという。脳脊髄液を利用した新しい治療法が考案されるかもしれないからだ。
病気を引き起こす毒物を洗い流すことが治療として有効であるのなら、その洗浄液である脳脊髄液を増やしてやればいい。
薬で少しずつ病巣を治すより、ずっとパワフルなやり方かもしれない。そして、もちろん健康な人にとっても注目すべき研究結果である。

image credit:Pixabay
ちゃんと眠るのは脳を健康に保つうえで物理的に必要なことなのだ。わかっているけど眠れない、不眠症であるというのなら、しかるべき病院できちんと治療をうけよう。
管理人注 : まるで pcの、 クリーンアップと同じだ。











コメントする