インビザラインで治療を終了した10代の患者さんのケースをご紹介する。
2024年4月5日に治療をスタートした。

内側に引っ込んだ歯を治したいという希望だった。

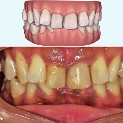
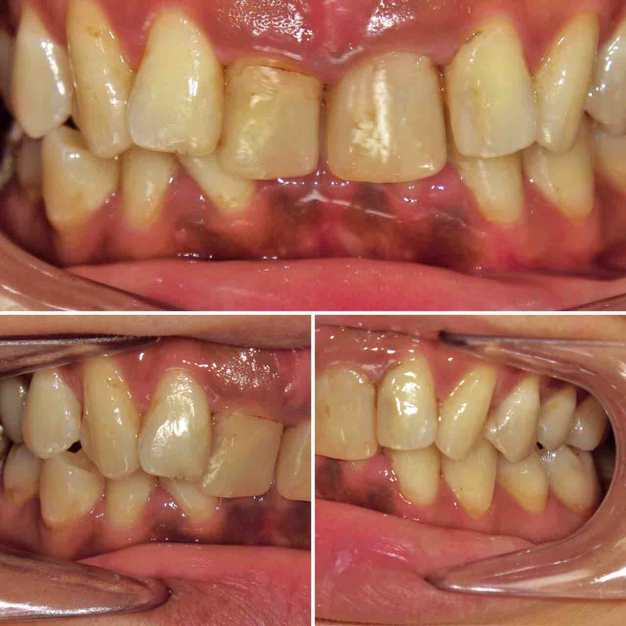
上の歯。前歯に内側に引っ込んだ歯がある。

下の歯にも同様に引っ込んだ歯がある。

横から見ると少し前歯が出っ歯気味になっている。
マウスピース矯正を開始して
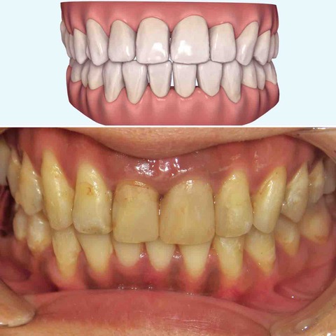
2025年1月5日 わずか9か月後の状態。


上の歯。引っ込んだ歯が歯並びの中に納まっている。

下の歯。こちらも歯並びの中に納まっている。

横からは、やや出っ歯だったのが、出っ歯感はなくなった。


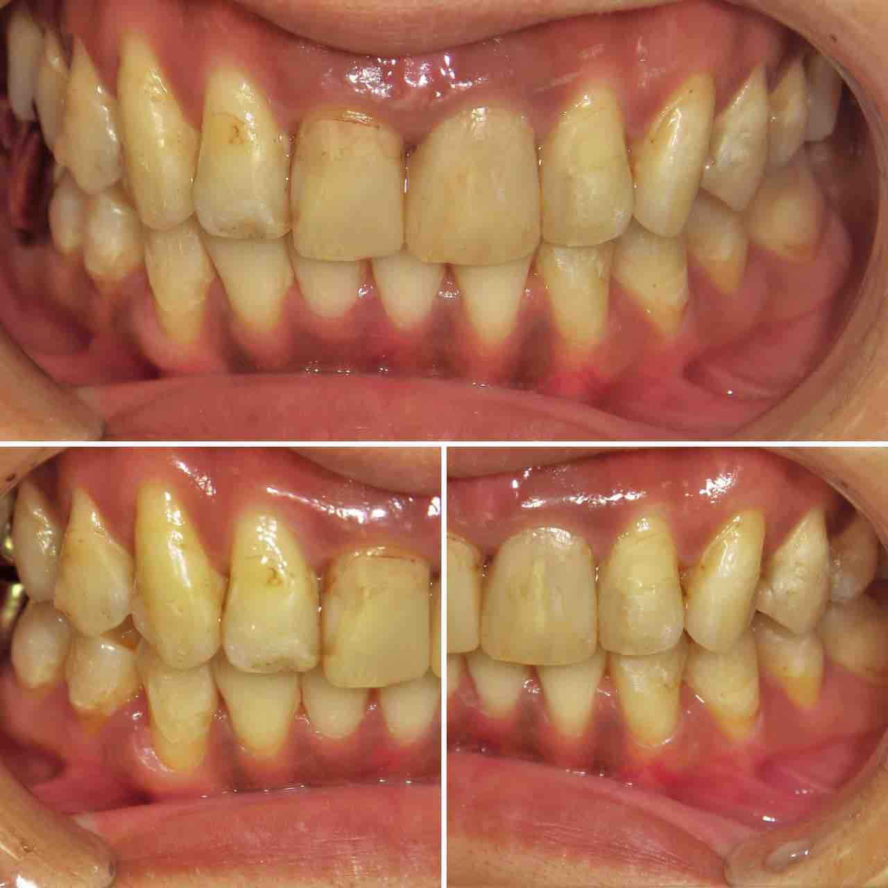
上の歯の比較


下の歯の比較


噛み合わせの比較。
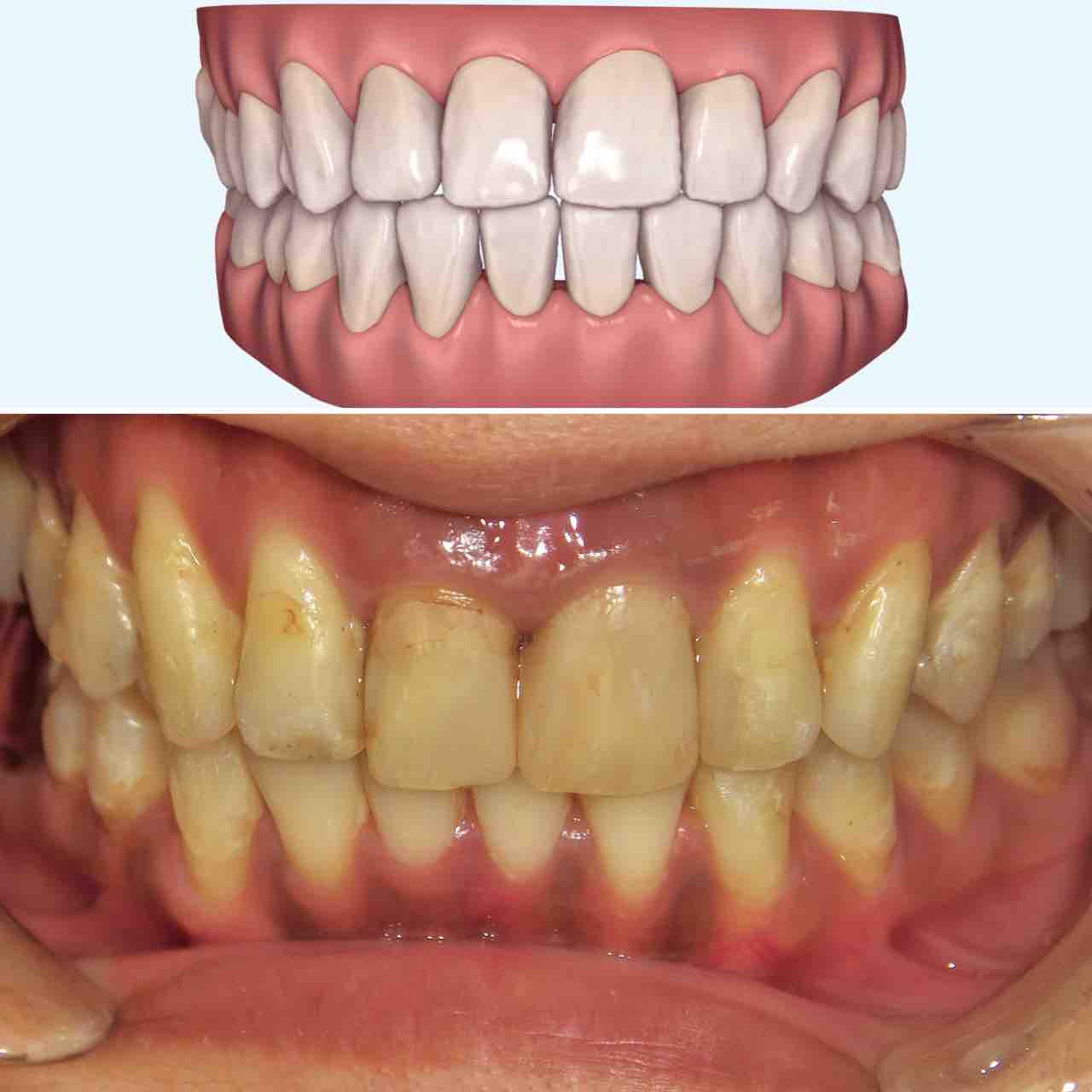
患者さんは平成23年生まれの13歳とあごの成長が残っている世代だった為、あごの成長をコントロールすることもできわずか10か月で終了することができた。





















