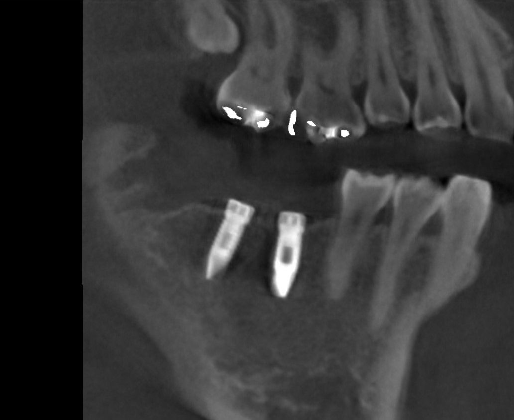
先日インプラントの型取をした患者さんの被せ物が出来上がってきました。
技工士さんが、コレをもとに全てがセラミックでできた被せ物を作ってくれます。
これをネジを使ってインプラントに接続します。


技工士さんが、コレをもとに全てがセラミックでできた被せ物を作ってくれます。
これをネジを使ってインプラントに接続します。























