テスリフトノーズの症例をご紹介です。鼻筋を作りたい方、鼻先を立ち上げたい方に。施術前⇒施術後真下から見ると変化が分かりやすいです。正面からも鼻筋ができているのが分かります。鼻背だけでなく、鼻柱にも入れているため、鼻先も綺麗に立ち上がっています。鼻背に2本、 ...
カテゴリ: 鼻のスレッド(Gメッシュ・Gコグノーズ・Y-KO)
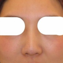
鼻のスレッド*3D写真
先日ご紹介した鼻のスレッド3Dカメラでの変化です施術前⇒施術後鼻根部 151°⇒158° 鼻根部が高くなり角度が緩やかに鼻背部 26°⇒28° ↑ 同じ鼻柱部 122°⇒120° 鼻尖部が立ち上がり角度がやや鋭角に3Dカメラは角度なども見ることができます。お顔はアプトスヴ ...
鼻スレッド×アプトス×ヒアルロン酸注入のコンビネーション
昨日ご紹介した鼻スレッドの症例、同じ日にアプトスヴィサージュエクセレンスSと、顎のヒアルロン酸もしています。3D写真でとても綺麗な変化出ていたので、ご紹介します。施術前⇒施術後3D写真でも鼻スジが綺麗にできているのが分かります。施術前⇒施術後(ボリュームの変 ...
鼻スレッドの症例
久しぶりに鼻のスレッドの症例をご紹介します。鼻スジを作りたい方、鼻先を少し立ち上げたい方におすすめしています。鼻のスレッドリフトは、塞栓のリスクがないことが最大のメリットです。ヒアルロン酸などの注入治療の場合は、鼻に関しては塞栓してしまうと失明や皮膚壊死 ...
鼻筋を綺麗に*ナチュラルな変化
自然な印象で鼻筋を高くしたいという方今回はGメッシュ3~4本をおすすめしました。「まずは3本入れてみてもの足りなければ4本に」、ということになり、まずはGメッシュ3本施術。施術前⇒施術後鼻先が高くなっているのが分かります。※Gメッシュは鼻筋を作る鼻用の糸ですが、 ...
スレッドリフトのセミナー*オンライン配信しました。
今日は午後からスレッドリフトのセミナーがありました。蔓延防止の影響で、オンラインになったため、私はクリニックから配信を行いました。受付のところでしてみました。ひとりポツン。お手伝いに来てくださった担当者さんありがとうございました。アートメイクで使用するラ ...
鼻の糸×貴族フィラーの経過
鼻の糸施術アンチ的な美容外科系ドクターもいらっしゃいますが私はとても良い施術だと思っています。もちろんオペ(プロテーゼなど)にリスクがないわけではもちろんないですし、糸施術も手術もそれぞれに利点欠点があります。糸施術の場合、効果は永久ではありません。Gコグ ...
Gメッシュで綺麗な鼻すじ
今日も推しを見すぎて、ぜんぜんブログがすすまない嬉しいのか、悲しいのか今日も推しが素敵すぎる、、、今日はまた鼻の糸の症例です。鼻の糸は、溶ける糸を鼻すじなどに挿入することで形を作る施術です。当院で使用しているGメッシュやGコグノーズに関してPCL素材で約2年 ...
Gメッシュによる変化
鼻の糸リフトの症例です。鼻すじを優先するのか、鼻先のリフトを優先するか、かなり迷っておられましたが、今回まずは鼻すじを作ることを優先して施術を行いました。施術前⇒施術後施術前⇒施術後施術前⇒施術後施術前⇒施術後3D写真よりも実際の方が変化が分かりやすいかと ...
鼻の糸リフト(Gメッシュ×Gコグノーズ)の症例
目と目の間が離れて見えるのを気にされている方。鼻の糸施術で鼻根部に高さを出すことになりました。鼻根部に高さが出ることで目と目の距離を少し近づいて見せることができます施術前⇒施術後もともと鼻スジが綺麗な方ですが、糸を入れることでまっすぐに鼻スジを見せる効果 ...
Gメッシュで綺麗な鼻スジ
鼻の溶ける糸は、当院ではGメッシュやGコグノーズをおすすめしています。自然な印象で鼻スジを作ったり、鼻先の形を整えます。今回は鼻根部など鼻スジに高さをだして鼻スジを整えた症例です。Gメッシュ4本使用しています。施術前⇒施術1か月後鼻スジができたのが分かりま ...
貴族注射×鼻の糸 3D写真
先日ご紹介した貴族注射×鼻の糸施術の3D写真です。施術前⇒施術後正面でも鼻スジができたことが分かります。施術前⇒施術後鼻先の高さも綺麗に出ています。施術前⇒施術後施術前⇒施術後横から見たときの鼻スジが綺麗になり、ほうれい線も浅くなっているのが分かります。施 ...
貴族注射×鼻の糸*鼻すじスッキリ
鼻の糸施術の症例です。貴族注射(鼻翼基部のヒアルロン酸注入)と鼻翼のボトックスもしていて、鼻翼の広がりを抑えるようにしました。(施術前と施術直後の写真比較なのでボトックスはまだ効果が出ていません)ほうれい線も浅くなって上品な印象になっています施術前⇒施術後 ...
鼻の糸施術後の角度の変化
ヒアルロン酸注入や糸による施術は、直後に結果がわかる場合が多く、患者様が喜んでくださるところや感動してくださるところを目にすることができるのが、いつもとてもうれしく思います。どんどん綺麗になるのを一緒に共有して一緒に喜べるのが嬉しいです昨日ご紹介した鼻の ...
Gコグノーズ&Gメッシュ併用症例*鼻先を綺麗に
鼻の糸施術のご紹介です。以前はY-KO(ワイコ)というPDO素材の溶ける鼻用の糸を使っていましたが、仕上がりは綺麗なのですが持続がかなり短く感じていて、今はGコグノーズ&Gメッシュをおすすめしています。同じPCL素材の鼻糸は他にもありますが、器具を使用するものは小回 ...
Gコグノーズ3D写真
昨日ご紹介したGコグノーズの症例の3D写真をご紹介します。3D写真は、角度やサイズを自動で合わせてくれることろや、真下や上から横からなど見たい方向を見れるのが便利です。まずは真下から。(施術前⇒施術後)Gコグノーズのように鼻中隔部分にも入れる糸の場合は、真下 ...
Gコグノーズで鼻スジすっきり*Gコグノーズの症例
鼻スジすっきりと綺麗にしたいという方に鼻の糸施術をしました。ヒアルロン酸の既往があり、鼻根部の皮下に厚みがあるため、GメッシュよりもGコグノーズの方がすっきりと鼻筋のラインが出ると判断しました。鼻中隔方向にも1本だけGコグノーズを入れています。施術前施術後施 ...
GメッシュとGコグノーズ
今日はヒアルロン酸やボトックス、糸の施術で忙しい1日でした。鼻の糸希望の方も最近多くなっています。鼻の糸はいくつか種類がありますが、当院ではGメッシュとGコグノーズを特におすすめしています。素材がPCLで比較的持ちが良いことと、(約2年で吸収されます。)(以前 ...
鼻の糸で鼻筋も鼻先の形も綺麗に☆Gコグノーズ
鼻のスレッドには色々な種類がありますが、当院ではGメッシュ、Gコグノーズを特におすすめしています。仕上がりの美しさや少ない本数でも効果があること、持続がある程度期待できることなどが理由です。今回はGコグノーズの症例です。Gコグノーズ施術前⇒施術後鼻先の形が綺 ...
人気の鼻の糸施術*GメッシュとGコグノーズ
施術後 仕上がりにとても感激してくださる事が多いのが、特に鼻の糸施術です。はじめて施術を受けられる方はとても緊張されていたり、悩まれて受けられることが多いのですが、施術後は仕上がりにとても感動して満足してくださる方がとても多いです。鼻筋を作るGメッシュと鼻 ...
額のヒアルロン酸と鼻の糸
額に綺麗な丸みや高さがあるとそれだけで美しく見えるポイントになります。また自然な印象で鼻筋が通っていることも重要だと思います。鼻筋だけではなく、尾翼の幅・・・理想は内眼角から内眼角の幅(目の内側から内側)と同じくらい鼻尖部の形なども気になるところです。額 ...
Gコグノーズで綺麗な鼻 (鼻筋と鼻先の形の改善に)
鼻のスレッド施術の症例です。 鼻スレッドは溶ける糸で鼻筋を作ったり、鼻先のツンッとした立ち上がりを作ります。 ヒアルロン酸などによる注入治療ではないため、重大なリスクは少なく、経年変化で鼻筋が太くなっていくこともなく、仕上がりは自然でとても綺麗です 今回は ...
Gコグノーズ半年後の経過
Gコグノーズは鼻先を整えたり鼻筋を作る、鼻用の溶ける糸施術です。鼻を高くしたい場合やだんご鼻を改善したい場合、プロテーゼや軟骨までは考えないという場合には、糸施術をおすすめしています。半年前にGコグノーズを入れた方にお写真をいただけたのでご紹介します。Gコグ ...
鼻の糸についてお知らせ
今月(2月)から鼻の糸についてお値段を変更いたしました。⇒こちら鼻の糸は鼻筋を作ったり(隆鼻)、鼻先の立ち上げに有効です。Gメッシュ・Gコグノーズ 1本目 ¥40,000 2本目~ ¥30,000ウルトラVノーズ 1本 ¥20,000お伝 ...
ずっと人気 ~鼻の糸で綺麗な鼻筋~
鼻の糸施術はずっと当院の人気メニューです。色々なタイプの鼻用の糸がありますが、今はGメッシュとGコグノーズをメインでお勧めしています。Gメッシュ糸がメッシュ状の構造で、ナチュラルに鼻筋を作ってくれる糸です。カニューレ状の針に糸がついている構造で、鼻筋に糸 ...
GコグとGコグノーズ(お顔のリフトアップ糸と鼻用の糸です)
スタッフにしたGコグ症例です。(Gコグは溶ける糸によるリフトアップ施術です)フェイスラインのリフトアップとほうれい線の部分のリフトアップをしています。施術前施術後中顔面の下垂で頬の位置がさがり、顔が間延びして見えてましたが、Gコグで頬の位置が上がり、小顔にな ...
Gコグノーズについて*もうすぐハロウィーン
鼻の糸による隆鼻術がとても人気です。ナチュラルに鼻筋を作るタイプのGメッシュと鼻筋を作りつつ、鼻先にも高さを持たせるGコグノーズをメインでおすすめしています。これまでの鼻の糸施術で物足りなかった方や、ヒアルロン酸でしっかりと隆鼻されていた方には、Gコグノーズ ...
これまでの鼻糸で物足りなかった方やヒアルロン酸で隆鼻されていた方に*Gコグノーズがおすすめ
鼻の糸希望で来られた方ですが、お聞きすると何年も隆鼻目的で鼻筋にヒアルロン酸を続けていたそうで、眉間~鼻筋が不自然に太くなっていました。糸施術前にヒアルロにダーゼで入っているヒアルロン酸を溶かしてから糸の処置をすることをご提案し、ヒアルロニダーゼ後にまた ...
鼻の隆鼻術に関して*解剖から
梅田院の今週のお花です。秋らしいカラーになりました鼻を高くしたい、鼻筋を通したいなど、鼻の隆鼻全般は当院ではヒアルロン酸より、糸の施術がほとんどになりました。(プロテーゼや軟骨などの手術以外で何かしたい方の場合)解剖の教科書的には鼻背の正中には血管はない ...
鼻用の糸いろいろ
今日はヒアルロン酸やボトックス、糸の施術などでとても忙しかったです。鼻の糸施術も相変わらず人気です。鼻筋を作りたい方、鼻先をツンッと立ち上げたい方、鼻を少し高くしたい方などに。よりリスクなくできる鼻用の糸施術をおすすめしています。プロテーゼや軟骨などの手 ...
鼻の糸の症例☆Gコグノーズ開始します
先日スタッフにしたGコグノーズの経過です。施術前施術後施術前施術後施術前施術後鼻筋が出る感じは今までの鼻の糸の中で一番良いように思いました。尾翼部分のくぼみにもおすすめです。今回はは鼻筋メインで挿入していて、尾翼部分のくぼみは1本ずつしか入れてないのですが ...
鼻用の新しい糸を試しました*GコグNose
新しく鼻用の糸をいくつか試してみました。Gコグ NoseGコグの糸をそのまま6cmと4cmにした感じでした。Y-KOのように鼻筋方向と垂直方向にも入れるのですが、それだけではなく鼻翼のくぼみ方向にも斜めに挿入するため、鼻先を上、垂直、斜め2方向の計4方向からテントを張っ ...
Y-KOキャンペーン☆鼻先を整えたい方に
手術までは考えてないけど、少し鼻を高くしたい!鼻筋を整えたい!と思ってらっしゃる方はとても多いです。鼻用の糸施術がおすすめGメッシュ鼻筋を作っていくのにとても人気の糸です。糸がメッシュ状の構造で、鼻筋に入れていくことで鼻に高さが作られます。線状(ライン) ...
今日は忙しかったです*鼻筋を作るGメッシュ
今日はヒアルロン酸やボトックス、Gメッシュの施術が1日中ひたすら続き、とても忙しかったです。 Gメッシュは初めてされる方もいらっしゃいましたが、ヒアルロン酸やボトックスはリピーターの方ばかりで、気に入って通って来てくださること、とても嬉しく思います 6/1か ...
ほうれい線のGメッシュ
先日スタッフのほうれい線に入れた、Gメッシュの症例です。 施術前 施術後 施術前 施術後 施術前 施術後 少し左のほうれい線が深かったので、右に2本、左に3本挿入しています。 自然な感じでほうれい線が浅くなったと思います。 Gメッ ...
ほうれい線にもGメッシュ♪
鼻筋を作るのにおすすめしているGメッシュ(PCL)はほうれい線の改善にも有効です。今日はスタッフのホウレイ線にGメッシュを入れましたほうれい線が気になる方にはリフトアップ施術(糸やヒアルロン酸、リフトアップのマシン)をおすすめしていますが、ホウレイ線にGメッシ ...
Gメッシュが大人気♪
鼻の糸施術がとても人気です。Gメッシュ鼻筋をつくってくれる糸2年かけて溶けていくので、とても持ちが良いです。糸がメッシュ状になっているため、自分のコラーゲン組織が入り込んで置きかわっていきます。Y-KO(ワイコ)鼻先を立ち上げたい方にはY-KOもおすすめです。鼻先 ...
京都院のさき先生に♪
新しく入ったPCLタイプの糸施術がとても人気で、トキコクリニック京都院のさき先生も糸施術を受けに来られましたバッカル部分の引き上げにLリフト、鼻筋にGメッシュを入れました。PCLタイプの糸はこれまでの糸よりも持ちが良く(約2年の持続です)、しなやかで柔軟性がある ...
Gコグ&Gメッシュ開始します♪
しなやかで持ちがよいPCL素材の糸がリフトアップ糸のなのでも良く使われるようになっています。色々な糸を試してみて、一度で良さを感じて絶対に使いたいと思ったのがGコグです。引き上りがとても良く、施術した私も、施術をうけたスタッフも、見ていたスタッフも、「これは ...
スタッフのY-KO&額ヒアルロン酸
今日お休みだったスタッフが、Y-KO(鼻の糸施術)と額のヒアルロン酸をしに梅田院に来ましたY-KOは1年ぶり、額は2年ぶりとのこと。額のヒアルロン酸はやはり持ちが良いです額のヒアルロン酸 施術前後の写真施術前施術後施術前施術後額のヒアルロン酸はどの程度の量を入れる ...
今週のお花*スタッフの鼻ヒアル
今週の梅田院のお花クリスマスカラーで綺麗です数日前に久しぶりにスタッフの鼻の処置をしました。鼻の形を気にされている方は多いですが、鼻翼縮小などの手術やプロテーゼ、ヒアルロン酸や糸など様々な方法があります。手術までは考えてない方には、鼻用の糸Y-KOをお勧めす ...
Y-KO 糸による隆鼻術
鼻を高くしたい、鼻筋をもう少し通らせたい、鼻先を細くしたい、などなど鼻に関するお悩みは多いです。鼻の美容治療はアジア人に特にニーズの高い治療です。Y-KOはアジア人の鼻にあったサイズで開発された医療用の溶ける糸を用いて行う隆鼻術です。手術(鼻翼を切って鼻先を ...
鼻のスレッドY-koで鼻先・鼻筋を綺麗に☆
鼻先の形を整えたり、鼻筋を綺麗にする鼻のスレッドY-koをご紹介します。先日ブログでご紹介したところ、とても好評だったのでまた違う症例でご紹介したいと思います。Y-koはこれまで使用していた鼻のスレッドよりも強力で、更に仕上がりが綺麗です。Y-ko施術前Y-ko施術後Y-k ...
鼻のスレッドで鼻先・鼻筋を綺麗に☆ 〜Y-ko症例写真〜
鼻のスレッドは鼻先の形を整えることができる糸の施術です。*ダウンタイムが少ない*安全性が高い*直後から効果を実感できる*鼻先を整えつつ、鼻筋も整えられるY-ko施術前 Y-ko施術後(皮膚が白っぽく見える部分は局所麻酔の影響なのですぐに戻ります。) Y-ko施術前 Y- ...
鼻スレッドの経過
先日、スタッフの鼻スレッドをしたので経過写真をご紹介します。 鼻筋に関してはヒアルロン酸もご紹介していますが、鼻尖部(鼻先)の形は鼻のスレッドも良いです。 施術前 施術後 鼻筋の施術とも組み合わせて行ったので、またご紹介したいと思います。 まつ毛、、 ...












































