久しぶりに歯科の話題を。
以前、娘の顎関節症について書きました。
(「受験生の顎関節症」 2014/11/14)
医院に「顎が痛い」といって受診する中高生がいますが、
左側が痛む時はまず頬杖を疑います。
右利きの人が圧倒的に多いので、頬杖の影響は左側にでるのです。
受験期のお子さんに症状が出ることが多いです。
勉強中の頬杖が原因になっていることが多いので
姿勢を気をつけ頬杖をやめること、
痛みのあるときに痛い側を下にして寝ないこと、
など注意すると治ります。
頬杖は顎の痛みの原因になるだけではなくて、
歯並びの乱れも引き起こします。
頬杖があたる側の歯列がくぼんでいきます。
ちなみに頬杖の付き方にはバリエーションがあるので
手のあたる位置の歯列がくぼみます。
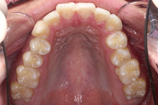
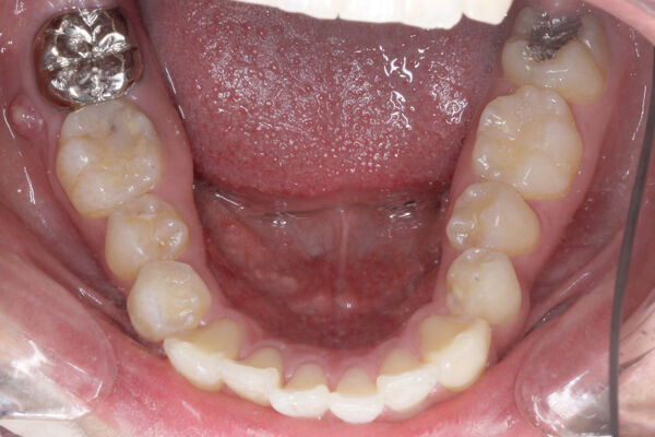
画像で見てみましょう。
画像では向かって右に見えるのが患者さんの左側です。
患者さんの右側(画像だと左側)よりもへこんでいるのがわかります。


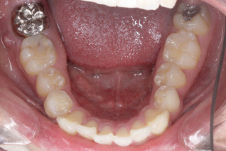
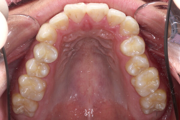
次の患者さんは顎を包むように左側全体に手があたるような頬杖でした。
下の歯は前歯までの広い範囲がへこんでいます。


頬杖をやめても歯並びが自然に治ることはありません。
頬杖による歯列への悪影響がでないように
お子さんの頬杖は気がついたらすぐにやめさせるように
気をつけてください。
以前、娘の顎関節症について書きました。
(「受験生の顎関節症」 2014/11/14)
医院に「顎が痛い」といって受診する中高生がいますが、
左側が痛む時はまず頬杖を疑います。
右利きの人が圧倒的に多いので、頬杖の影響は左側にでるのです。
受験期のお子さんに症状が出ることが多いです。
勉強中の頬杖が原因になっていることが多いので
姿勢を気をつけ頬杖をやめること、
痛みのあるときに痛い側を下にして寝ないこと、
など注意すると治ります。
頬杖は顎の痛みの原因になるだけではなくて、
歯並びの乱れも引き起こします。
頬杖があたる側の歯列がくぼんでいきます。
ちなみに頬杖の付き方にはバリエーションがあるので
手のあたる位置の歯列がくぼみます。
画像で見てみましょう。
画像では向かって右に見えるのが患者さんの左側です。
患者さんの右側(画像だと左側)よりもへこんでいるのがわかります。


次の患者さんは顎を包むように左側全体に手があたるような頬杖でした。
下の歯は前歯までの広い範囲がへこんでいます。


頬杖をやめても歯並びが自然に治ることはありません。
頬杖による歯列への悪影響がでないように
お子さんの頬杖は気がついたらすぐにやめさせるように
気をつけてください。

)