さて、皆さまお楽しみいただいておりました、
インビザライン(マウスピース矯正)への道もいよいよ最終回です!
(お楽しみいただけたか、まったく自信はありませんが・・・)
最終回ということは、
そう、
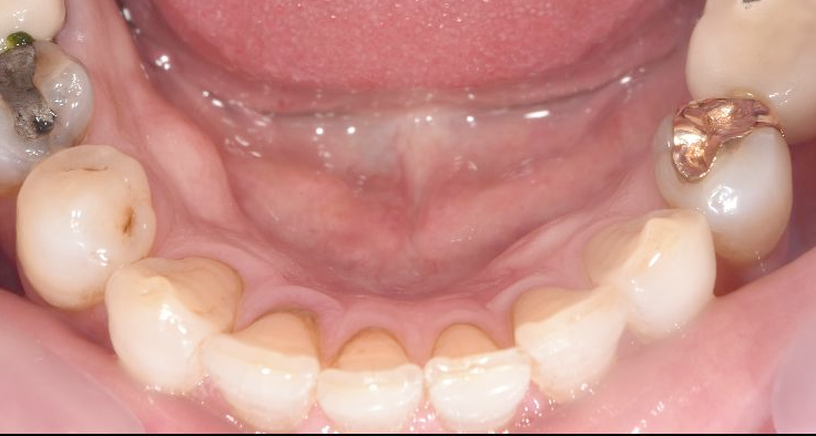
無事、歯が動いてきれいになったということです !!!
ご覧ください!!!
(治療後)
まあ。なんということでしょう(ハート)
綺麗に治りました。
ちなみに、治療前です
(治療前)
上の出っ歯も 地味ですが、少し改善されました。

(治療後)
治療前はこちら
(治療前)
あまり変わっていないように見えますが、
本人的には、口がつむりやすくなったので
治療を受けて良かったです。
期間はややゆっくり行ったので、
約6か月でした。
まだ、誰からも、「イケメンになった」とのご評価をいただいておりませんが、
マスク着用の必要性がなくなったコロナ後が楽しみです(マジか?)
冗談はさておき、移動が終わると、
アタッチメントを除去して、
アタッチメント(矯正用の突起)
そのあと、保定(あと戻り防止)が必要です。
保定しないと、あっという間に元の状態に戻ります。
インビザでは、専用の保定装置(ビエラ・リテーナー)を使用します。


ほとんど矯正用のマウスピースと同じものを、
最初の3か月間は矯正中と同じ時間(約22時間)
その後は、状況を見て、装着時間を短くしていきます。
私も、現在装着していますが、
実際に歯を動かす圧力がかからないので、矯正中に比べ、装着感はずいぶん楽です。
さて、わたくし院長がみずから受診し、レポートさせていただきましたが、
結論としては、インビザラインGoシステムは
とても効果的な治療法だと感じました。
従来のワイヤー矯正にも、長期にわたる臨床実績と大きな利点がありますし、
ワイヤー矯正でないと対応できない症例もたくさんあります。
そのようなケースでは、ワイヤー矯正を選択されるとよいと考えます。
しかし、奥歯のかみ合わせがしっかりしていて、
前歯の目立つところのみ改善するケースでは
インビザラインGoシステムを検討する価値があります。
短時間で
安価で
前歯の目立つところだけを
日常生活にストレスをあたえず
行えるこの治療法が広く普及し、
歯並びについてコンプレックスを感じる方の問題解決につながることを願っています。
インビザライン(マウスピース矯正)への道もいよいよ最終回です!
(お楽しみいただけたか、まったく自信はありませんが・・・)
最終回ということは、
そう、
無事、歯が動いてきれいになったということです !!!
ご覧ください!!!
(治療後)まあ。なんということでしょう(ハート)
綺麗に治りました。
ちなみに、治療前です
(治療前)上の出っ歯も 地味ですが、少し改善されました。

(治療後)
治療前はこちら
(治療前)あまり変わっていないように見えますが、
本人的には、口がつむりやすくなったので
治療を受けて良かったです。
期間はややゆっくり行ったので、
約6か月でした。
まだ、誰からも、「イケメンになった」とのご評価をいただいておりませんが、
マスク着用の必要性がなくなったコロナ後が楽しみです(マジか?)
冗談はさておき、移動が終わると、
アタッチメントを除去して、
アタッチメント(矯正用の突起)そのあと、保定(あと戻り防止)が必要です。
保定しないと、あっという間に元の状態に戻ります。
インビザでは、専用の保定装置(ビエラ・リテーナー)を使用します。


ほとんど矯正用のマウスピースと同じものを、
最初の3か月間は矯正中と同じ時間(約22時間)
その後は、状況を見て、装着時間を短くしていきます。
私も、現在装着していますが、
実際に歯を動かす圧力がかからないので、矯正中に比べ、装着感はずいぶん楽です。
さて、わたくし院長がみずから受診し、レポートさせていただきましたが、
結論としては、インビザラインGoシステムは
とても効果的な治療法だと感じました。
従来のワイヤー矯正にも、長期にわたる臨床実績と大きな利点がありますし、
ワイヤー矯正でないと対応できない症例もたくさんあります。
そのようなケースでは、ワイヤー矯正を選択されるとよいと考えます。
しかし、奥歯のかみ合わせがしっかりしていて、
前歯の目立つところのみ改善するケースでは
インビザラインGoシステムを検討する価値があります。
短時間で
安価で
前歯の目立つところだけを
日常生活にストレスをあたえず
行えるこの治療法が広く普及し、
歯並びについてコンプレックスを感じる方の問題解決につながることを願っています。
コメント