私の頭骸骨、という記事です^^;^^;。
これは↓、私の歯です。グラグラして2月の上旬ごろに歯医者で抜きました。抜けたのは、右の上の歯です。歯、そのものは健全ですが、歯周病で抜けました。歯の根元の辺りに歯石が見えます。

で、その抜けたところ辺りのレントゲンを撮る↓。
この写真は、右側から見ているので、写真の左側が奥歯です。
本来ならば、この写真には、4本の歯が写っていなければなりません。それを奥歯の側から1,2,3,4番と名前をつけると、1番の奥歯は健全、2番は数年前に抜けて既にない。なので1番と3番にブリッジがかかっている。
その3番ですが、あることはあるが、この歯の根がすでに浮いていて、1番からくるブリッジで支えられている状況です。この3番が浮いている影響で、根の浅い4番の歯がグラグラになり、それを抜きました。1枚目の写真の歯です。
子供の頃から行っている掛かりつけの歯医者さんは、この状況を観て、3番を抜いて、1番と5番で支える部分入れ歯にするしかないと言ったのであった。
私は拒否。インプラントの医者を紹介してもらい転院する^^;^^;。

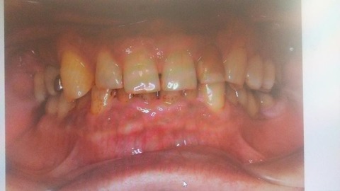
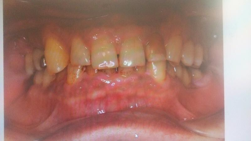
新しい病院へ行く。まずは、口の中の初期値の写真をとる。鏡のようなものをくわえて、裏側も取りました。いずれも、おぞましき写真です。歯の裏ヤニで真っ黒^^;^^;。

そして鬼のような歯石とりが始まる。上3回、下3回、計6回に分けてやる。部分麻酔をかけて、歯の根っこの方まで歯石をとります。一言でいうと、苦行そのものです^^;^^;。
江戸時代にあったという拷問は、耳削ぎ、爪はがし、きっとその次は、歯石とりです^^;^^;。
やわになっている詰め物・かぶせ物は、この歯石とりで全て取れました。取れると不便なので、仮付けしてもらい、徐々に処置をやり直すことになります^^;^^;。
歯石とりが終わると、歯の一覧図↓の、歯の色が緑色になります。この写真だと、上だけ終わって、下があと3回ということです。

かぶせ物のために歯型をとる。上の歯型です↓。
右の色の変わっているところは、かぶせ物を作り直したところです。

下の歯型。かぶせ物を作るためには、上下のかみ合わせが必要なので、必ず上下ペアーで型を取ります。

そして、ジャジャジャーン、CTスキャンで私の顎を中心に、頭骸骨のレントゲンを撮る↓。
先生は、これを観て、歯石をとった後の最終処置として、根が浮いている3番とすでに抜けた4番の隣の5番を抜いて、3本の人工歯根を立て、その歯根に4本の歯を装着するといという計画を提案しました。人工歯根の位置は、下の写真の緑色の位置です。
この計画を了承しました。5番は残したかったけど、根が浅く浮き気味なので、泣き泣き諦めることにしました(T_T)。

そして3月26日、3番と5番を抜く。
下の写真の左が5番、犬歯です。歯はきれいです。歯石をとった後なので、歯石はなし。右が、ブリッジを切断して抜いた3番です。ダミーの2番も見えています。

上記の抜歯に続いて、同日に、インプラントの手術をしました、下の写真は術後に撮ったレントゲンです。左の方に写っているマッチ棒のような細い3本が人工歯根です。直径は4mmです。
これで、歯の治療のピークは越えました。
手術中は、約3時間、口を開いているという苦行です^^;^^;。
家に帰ってぐったり、口から血を吐き吐き、横になっていた。血がなかなか止まらない(T_T)。
血を飲んでいると気持ち悪くなる。私は吸血鬼にはなれません。そのうち、寝た^^;^^;。
酒ダメ、タバコダメ、風呂ダメ、運動ダメ。
それならと・・・、夕方起きだし、キーボードの練習はしたのであった^^;^^;。

ということで、3年前に右手の甲の骨折で金属装着、そして今回のインプラントの手術で、人造人間、エイトマンに近づく私なのであった^^;^^;。
https://www.youtube.com/watch?v=vcTELCKq7bo
★★★★★★★★★★★★★★★★★★★★★★★★★★★★★
歯を粗末にしてきた覚えはないけれど、特段、大切にもしてきませんでした。
65歳オーバーともなれば、部分入れ歯は、普通かもしれませんが・・・・・。
ババ様を見ていると、部分入れ歯から総入れ歯まで10年と掛かりませんでした。
入れ歯は、容易で安価だけど、年がら年中の調整が必要で、かつ、入れたり出したり不便です。
それを観ていたので、最後の一線で部分入れ歯を拒否して、根本的な歯の総点検・修繕をすることにしました。
歯の治療から完全に卒業するまで、あと2,3ヵ月は歯医者通いです^^;^^;。
みなさん、歯は大切にしましょう。
まいにち歯を磨いていても、歯石はたまります。
私も歯は磨き、1年に一度は歯石をとりに歯医者へ行っていましたが、部分麻酔をして本格的にとったことはなかった。
日本人の30代は30%、50代は50%、60代は60%が歯周病とのことです。
歯石が徐々に深部に至り、その内に連なって抜け、60代で部分入れ歯、70代後半で総入れ歯になってしまうようです。
信頼のおける歯医者に行って、部分麻酔をかけて、積年の歯石を取ってもらいましょう。
そうすれば、入れ歯にならなくて済みます。
ほっておけば、部分入れ歯、総入れ歯になることは必然の道です。
歯医者が提唱している8020運動というのがあるそうです。「80代で20本の自分の歯を確保する運動」とのことです。目標とするくらいだから、多くの人が達成できないのでしょう。80代では、
30%の人が、総入れ歯とのことです。
麻酔をかけて歯石をとりましょう(^_^)v。
★★★★★★★★★★★★★★★★★★★★★★★★★★★★★

にほんブログ村
にほんブログ村
コメント