みなさまこんにちは!九段北歯科です
ホワイトニングの写真は光の反射や撮影環境の影響を受けやすいためなかなかアップしづらいのですが
ご参考までにご紹介しましょう
患者さまは20代男性
昨年12月にクリーニングとホワイトニングを実施
今回約半年ぶりの施術になります
虫歯のチェックも異常なしでしたので
まずは歯のクリーニングをした後にホワイトニングしました
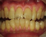
ホワイトニング前

半年前にホワイトニングしていますので比較的白めです
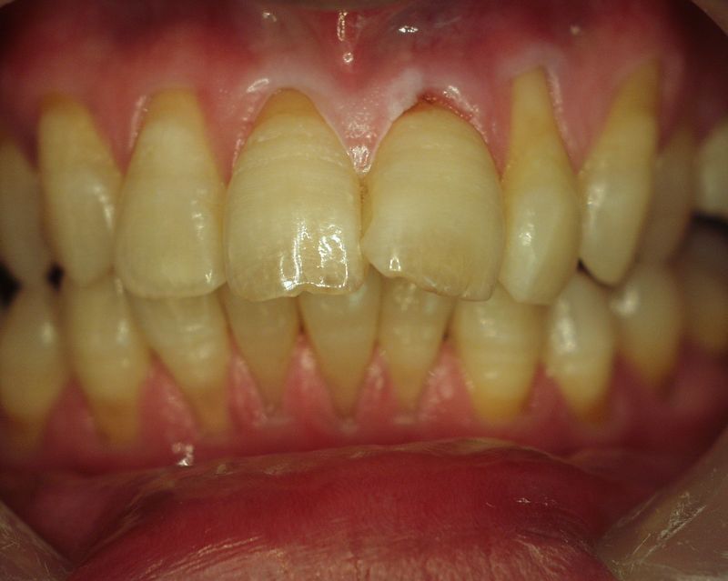
約1時間後 ホワイトニング終了(薬剤塗布+ライト照射)

完成です。
赤丸部分は薬剤が少し染みて白く変色していますが時間とともに解消します
ホワイトニングスケールで色の段階を確認しますと

天然歯では最高レベルの白さが左の1番ですので、かなり白くなりました(1~4も微妙な差なんですが)
ホワイトニング後は色素を吸収しやすい状態になりますので着色の強い食べものは避けて頂いて
少なくとも一日はコーヒー・紅茶・赤ワイン・カレーなどをガマンしてください
その後は
ステイン除去効果の高いペースト(歯磨き粉)などでケアすれば白さを維持できます
市販されている歯磨きとして
第一三共ヘルスケアさんのシティースホワイト

お使いになってみるとよいと思います
当院では在庫があるときにはサンプルを差し上げています


業者さんのサンプル提供が減っている中、なかなか貴重です













)








