皆さまこんにちは!九段北歯科です
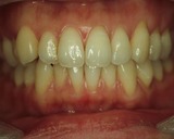
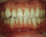
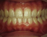
さて、今日は大人の歯並び
について書いてみます。
婚活中の男女
への意識調査の結果で、
歯並びが第一印象で重要と考える人が大多数であることがわかりました。
以下は歯科雑誌に掲載されていた内容です。
(矯正歯科治療器具メーカーのアンケート結果・5年以内に結婚を希望している20~40歳代の男女2000名を対象に実施)
当然だと思う部分ばかりなのですが詳しく説明してみます。
婚活中の男女の多くは歯並びが良いと出会いの場面で有利に働くと考えています。
歯並びは第一印象を左右すると思うかどうか
yes 78.3%
婚活パーティなどの出会いに場面において歯並びの良さがその後有利に働くと思う
yes 88.9%
そして、今度はパーツです
初めて会う相手の顔で気になる部分は?
1位 目
2位 口元
3位 鼻
笑顔で気になる箇所は?
1位 口元(約50%)
笑顔と第一印象の関係は?
とても影響する・・・91.9%
その理由は?
笑顔を作った時に歯が印象に残りやすい。汚れなどがあれば気になってしまう。
というとてもわかりやすい結果です。
そこで
自分の歯並びに自信がありますか?
自信が無い58.5%
(なかなか自信!までは難しいですよね)
では自信が無い人に対して歯科治療についての質問をしてみると
歯科治療の経験が
ある 12%
無い 88%(矯正)
と大多数の人が歯科治療と縁が無い結果になっています。
ちなみに、歯並びについてのイメージは?
・健康そう
・清潔感がありそう
・育ちがよさそう
・誠実そう
・優しそう
・かしこそう
・仕事で成功してそう
と、やはり好印象要素が並びます。
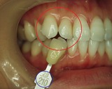
当院にも
矯正治療を子どもの頃できなかったから
矯正で後戻りしてしまった
との理由が来院の動機であることが多いです。
目的は人それぞれです。
費用の面も含めまして細かいご要望にも丁寧に対応いたしますので
ご遠慮なくご相談ください。
九段北歯科
何でもご相談ください






)



OKです。



