2010年05月02日
ホワイトニング 料金
こんにちは!栃木県栃木市万町 市役所通りの歯医者 鎌田歯科医院です。
ホワイトニングの処置と料金の改定を行いました。
ホームホワイトニング 片あご15000円
オフィスホワイトニング 29800円(標準コース3回照射)
ホーム、オフィス併用のデュアルホワイトニングを予算に応じて選べるようなりました。
オフィスホワイトニングを1回照射10000円から選べます。
例
1)ホームコース上下+オフィスコース1回照射なら
30000円+10000円
2)ホームコース上のみ+オフィス2回照射なら
15000円+20000円
となります。
詳しくはスタッフまでご相談ください!(^^)!
あなたに合った方法で行いましょう!
また国産の薬剤だけでなく
最新のアメリカの薬剤も取り扱っております。
白く、早く、安く、確実に安全にできるように対応しております。
栃木県栃木市 栃木市役所通り【鎌田歯科】ホームページ
【鎌田歯科 Health&Beauty Web】
http://www.kamata-dental.com/
【栃木県のインプラントサロン】
http://www.implantsalon-tochigi.com/
【栃木県のマウスピース矯正歯科専門】
http://www.smile-kyouseitochigi.com/
【審美美容歯科・ホワイトニング ブライダルエステ】
http://www.shinbi-shika.net/exec/clinic/-/67670/top.html
【鎌田歯科の応援の声】
http://www.shinbi-shika.net/exec/clinic_rumor_list/-/67670.html
【栃木市の歯医者 鎌田歯科】
http://www.cc9.ne.jp/~kamata-dental/
栃木県栃木市 小山市 下野市 佐野市 鹿沼市 宇都宮市の歯医者
栃木市鎌田歯科医院・インプラント・ホワイトニング・審美歯科・見えない矯正歯科・予防歯科
ホワイトニングの処置と料金の改定を行いました。
ホームホワイトニング 片あご15000円
オフィスホワイトニング 29800円(標準コース3回照射)
ホーム、オフィス併用のデュアルホワイトニングを予算に応じて選べるようなりました。
オフィスホワイトニングを1回照射10000円から選べます。
例
1)ホームコース上下+オフィスコース1回照射なら
30000円+10000円
2)ホームコース上のみ+オフィス2回照射なら
15000円+20000円
となります。
詳しくはスタッフまでご相談ください!(^^)!
あなたに合った方法で行いましょう!
また国産の薬剤だけでなく
最新のアメリカの薬剤も取り扱っております。
白く、早く、安く、確実に安全にできるように対応しております。
栃木県栃木市 栃木市役所通り【鎌田歯科】ホームページ
【鎌田歯科 Health&Beauty Web】
http://www.kamata-dental.com/
【栃木県のインプラントサロン】
http://www.implantsalon-tochigi.com/
【栃木県のマウスピース矯正歯科専門】
http://www.smile-kyouseitochigi.com/
【審美美容歯科・ホワイトニング ブライダルエステ】
http://www.shinbi-shika.net/exec/clinic/-/67670/top.html
【鎌田歯科の応援の声】
http://www.shinbi-shika.net/exec/clinic_rumor_list/-/67670.html
【栃木市の歯医者 鎌田歯科】
http://www.cc9.ne.jp/~kamata-dental/
栃木県栃木市 小山市 下野市 佐野市 鹿沼市 宇都宮市の歯医者
栃木市鎌田歯科医院・インプラント・ホワイトニング・審美歯科・見えない矯正歯科・予防歯科
kamatadentaloffice at 18:05
2009年04月20日
マウスピース矯正(見えない矯正)
こんにちは!栃木県栃木市万町 市役所通りの歯医者 鎌田歯科医院です。当院ではマウスピース矯正を導入しています。
今までのマウスピース矯正は
簡単な前歯の矯正だけだったり
針金矯正と併用しないと出来なかったりしましたが
当院採用のシステムでは
本格矯正も可能になっています。
針金矯正と比べてよい点は
目立たない
取り外しが出来る(食事や歯磨きが大変楽・虫歯になりにくい)
動きが早い
痛みが少ない
金属アレルギーの心配がない
期間が予測できる(2〜3年が多い)
マウスピースの体験ができる
定額料金(調整料金・追加料金なし)
3ヶ月に一度来院ですむ
大人の方もできます。
欠点としては
型取りが必要
取り外せるので患者さんが入れてないと動かない
興味のある方はご相談ください!(^^)!
簡易検査10500円
大まかな期間と料金
精密検査52500円(
正確な期間と料金、体験マウスピース、完成予測模型付
2008年07月16日
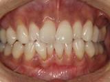
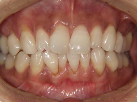
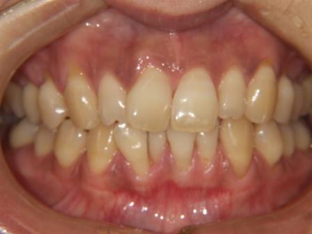
ホワイトニング
こんにちは!栃木県栃木市万町 市役所通りの歯医者 鎌田歯科医院です。
ホワイトニング症例写真です。
オフィスホワイトニングとホームホワイトニングの
デュアルホワイトニングを希望されました。
ホームが上下分けたのと国産のお薬なので
少し時間はかかりましたが、満足していただけました。
白い歯で美しい笑顔と明るい人生を楽しみませんか?
ホームホワイトニング 片あご ¥15000
オフィスホワイトニング 上下前歯12本 ¥29800
詳しくはHPをどうぞ
歯科医院HP http://www.cc9.ne.jp/~kamata-dental/
ご相談・予約は
ホワイトニング http://www.shinbi-shika.net/exec/clinic/-/67670/top.html
栃木県栃木市 小山市 下野市 佐野市 鹿沼市 宇都宮市の歯医者
栃木市鎌田歯科医院・インプラント・ホワイトニング・審美歯科・審美矯正歯科・予防歯科
※写真は患者さんの許可を得て紹介しています。
またご協力いただいた方には追加のお薬をプレゼント致します。
kamatadentaloffice at 21:20
2008年07月08日
インプラント
こんにちは!栃木県栃木市万町 市役所通りの歯医者 鎌田歯科医院です。インプラントってご存知ですか?
残念ながら歯を失ってしまった場合
今までは隣の歯を削って治療するブリッジ歯と
取り外しする入れ歯が主な治療法でした。
しかし今では隣の歯を削らずに、自分の歯のように噛める
インプラント治療があります。
また白い歯を選ぶことも出来るので見た目も大変きれいです。
きれいな歯並びでいたい
歯をなるべく削りたくない
美味しくご飯を食べたい
健康でいたい
そんなあなたにピッタリの治療法がインプラントです。
詳しくはホームページをどうぞ
インプラントサロン http://www.implantsalon-tochigi.com/
歯科医院HP http://www.cc9.ne.jp/~kamata-dental/
栃木県栃木市 小山市 下野市 佐野市 鹿沼市 宇都宮市の歯医者
栃木市鎌田歯科医院・インプラント・ホワイトニング・審美歯科・審美矯正歯科・予防歯科
2007年05月08日
歯のマニキュア
歯のマニキュアの紹介です
ネイルマニキュアと同じく歯の表面に塗って白くします
・1歯5分程度
・歯は削りません
・1〜3ヶ月持続します
・銀歯も白くできます
白い歯を体験したい方や
結婚式やデート、大切な商談など急ぎのイベント向けです
真っ白なコスメティックホワイトと
自然なナチュラルホワイトがあります。
1歯¥3、150 ブライダル割引有
除去・歯面研磨(全歯)¥3,150
特集記事はコチラ
栃木県栃木市万町 市役所通りの歯医者 鎌田歯科医院
http://www.cc9.ne.jp/~kamata-dental/

ネイルマニキュアと同じく歯の表面に塗って白くします

・1歯5分程度
・歯は削りません
・1〜3ヶ月持続します
・銀歯も白くできます
白い歯を体験したい方や
結婚式やデート、大切な商談など急ぎのイベント向けです

真っ白なコスメティックホワイトと
自然なナチュラルホワイトがあります。
1歯¥3、150 ブライダル割引有

除去・歯面研磨(全歯)¥3,150
特集記事はコチラ
栃木県栃木市万町 市役所通りの歯医者 鎌田歯科医院
http://www.cc9.ne.jp/~kamata-dental/

