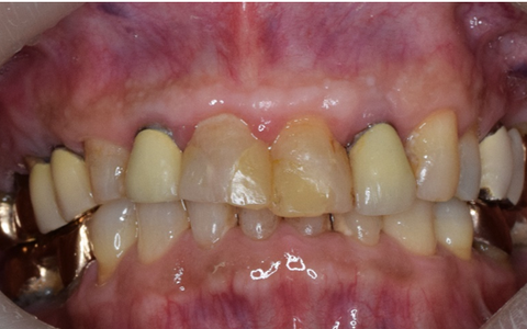
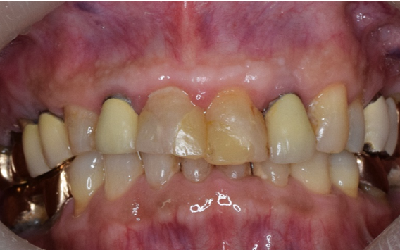
主訴:上顎の一番手前の前歯2本の色と形が嫌なのできれいに治してほしい・・・
Before
Before

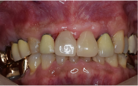
治療法:治したい前歯の表側を0.5~0.8ミリほど削り、削った部分にセレックで設計したセラミックのシェル(ラミネートベニア)を貼り付け、写真のように審美が回復しました。治療は約1時間半で完了しました。
After

解説:ラミネートベニアとは歯の表面をエナメル質の範囲内(0.5ミリほど)を削り、薄いセラミックのシェルを歯科用接着剤で貼り付ける治療のことを言います。ラミニネートベニアでは歯の色、形、大きさ、歯並び、隙っ歯を改善することができます。当院での費用は1本5万円です。
患者様の声:「ずっとこの前歯がコンプレックスだったので、きれいになってうれしいです。その日のうちに治療が終わったのは驚きました。次は他の歯も治していきたいです」(60代男性)
コメント