Q.9 なぜセラミックが良いのですか?
A. もちろん白くて綺麗だからという審美の利点も大きいのですが、最大のメリットは従来の修復治療(メタルボンド、銀歯など)と比べてむし歯になりにくく、遥かに長持ちするからです。
Q.10 どうしてむし歯になりにくいのですか?
A. そのことを説明する前に、従来のメタルを使った修復治療の問題点をあげます。金属は電位を帯びやすいため、細菌が付着しやすい性質を持っています。また、銀歯は歯と金属の間にセメントを盛りつけて固定しますが、年数が経過すると脆くなり隙間ができ、そこからむし歯菌が侵入します。やがて中で菌が繁殖し、むし歯を再発し再治療しなければならなくなります。最悪の場合、歯を抜かなければならなくなります。
これに対し、セラミックは電位を帯びていないし、表面が非常に滑らかなため、細菌が付着しずらいです。また、銀歯と違いセラミックは歯と科学的に結合させ一体化させる手法で接着させます。よって、圧倒的にむし歯の再発リスクが少ないのです。
10年間の再治療率を見ると、銀歯では約半数の人が再治療をしたのに対し、セラミック(セレック)では再治療に至ったのは10%未満でした(シロナ社調査)。
Q.11 他にもセラミックの良いところはありますか?
A. はい。セラミック治療は金属を一切使わないため、「金属アレルギー」と「メタルタトゥー」のリスクがない安心・安全な治療法です。
金属アレルギーとは、銀歯などから金属イオンが徐々に溶け出し体内に蓄積されていくことで、ある日突然、皮膚炎やアトピーなどを引き起こす病気です。
メタルタトゥーは、銀イオンの溶け出しが原因で、歯の根元が黒く変色することで起こる歯茎の黒ずみです。一度なってしまうと治療は容易ではありません。
Q.12 今までのセラミック治療と何が違うのですか?
A. 従来のセラミック治療は、印象材で歯型を採って、石膏で模型を作り、その上に歯科技工士がセラミックを作る間接法でした。完成まで時間がかかりますのでその間に歯が動きますし、材料の寸法変化や人為的エラーなどにより、修復物をいざ口の中に入れてもピタッと合うことはまれです。何回も口の中で調整しなければなりません。
しかし、セレックは3D光学カメラで歯列の精密な情報を採り、コンピュータ上で設計・加工し、その日のうちにセットするため、ほぼ無調整で入れることができます。歯科医も患者さんもストレスを感じることなく治療を終えることができます。
Q.13 セラミックは割れると聞いたのですが?
A. おっしゃる通りです。確かに以前はそのようなことがありました。しかし、ここ最近の技術革新により、ハイブリッドセラミックス(ENAMIC)のような割れにくいセラミックや、天然歯と同等の硬さを持つガラスセラミックス(e.max)、ダイヤモンドの次に硬いジルコニアなどがあります。とくにジルコニアは強度が高いので、修復物の厚みを極薄にしても割れないため、あまり生活歯を削りたくない方には有効な修復方法です。
Q.14 時間が経つと変色しませんか?
A. セラミックをカレーに一週間以上浸してたら少し変色したという実験はありますが、口の中でそういうことは起こり得ないのでセラミックはほとんど変色しないといっても問題ないでしょう。
Q.15 e.maxやジルコニアの歯は焼かないと作れないと聞いたのですが?
A. はい。基本的にセラミックブロックは工場で焼成された状態で出荷されますが、ガラスセラミック(e.max)とジルコニアは硬すぎるため、工場で焼成してしまうとミリングマシンで削りだすことができなくなります。そのため、ガラスセラミックとジルコニアに関しては、焼成前の状態で出荷されてきます。歯の設計をし、ミリングマシンで削り出した後、「クリスタライゼーション(約850度の高温で焼成)」が必要になります。これには「シンタリングファーネス」という高価な設備が必要なため、従来は歯科技工所にお願いするしかなかったのです。
しかし、最新のセレックシステムでは、「スピードファイヤー」という機械を導入することで、自院でも焼成が可能となり、ジルコニアも即日治療が可能となりました。
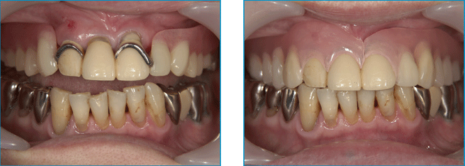
Q.16 実際のセレックの症例を見たいです
A. はい。当スタッフブログ「治療の前後」で随時更新していきます。簡単な解説も付けておりますので、一度ご覧くださいませ。
A. もちろん白くて綺麗だからという審美の利点も大きいのですが、最大のメリットは従来の修復治療(メタルボンド、銀歯など)と比べてむし歯になりにくく、遥かに長持ちするからです。
Q.10 どうしてむし歯になりにくいのですか?
A. そのことを説明する前に、従来のメタルを使った修復治療の問題点をあげます。金属は電位を帯びやすいため、細菌が付着しやすい性質を持っています。また、銀歯は歯と金属の間にセメントを盛りつけて固定しますが、年数が経過すると脆くなり隙間ができ、そこからむし歯菌が侵入します。やがて中で菌が繁殖し、むし歯を再発し再治療しなければならなくなります。最悪の場合、歯を抜かなければならなくなります。
これに対し、セラミックは電位を帯びていないし、表面が非常に滑らかなため、細菌が付着しずらいです。また、銀歯と違いセラミックは歯と科学的に結合させ一体化させる手法で接着させます。よって、圧倒的にむし歯の再発リスクが少ないのです。
10年間の再治療率を見ると、銀歯では約半数の人が再治療をしたのに対し、セラミック(セレック)では再治療に至ったのは10%未満でした(シロナ社調査)。
Q.11 他にもセラミックの良いところはありますか?
A. はい。セラミック治療は金属を一切使わないため、「金属アレルギー」と「メタルタトゥー」のリスクがない安心・安全な治療法です。
金属アレルギーとは、銀歯などから金属イオンが徐々に溶け出し体内に蓄積されていくことで、ある日突然、皮膚炎やアトピーなどを引き起こす病気です。
メタルタトゥーは、銀イオンの溶け出しが原因で、歯の根元が黒く変色することで起こる歯茎の黒ずみです。一度なってしまうと治療は容易ではありません。
Q.12 今までのセラミック治療と何が違うのですか?
A. 従来のセラミック治療は、印象材で歯型を採って、石膏で模型を作り、その上に歯科技工士がセラミックを作る間接法でした。完成まで時間がかかりますのでその間に歯が動きますし、材料の寸法変化や人為的エラーなどにより、修復物をいざ口の中に入れてもピタッと合うことはまれです。何回も口の中で調整しなければなりません。
しかし、セレックは3D光学カメラで歯列の精密な情報を採り、コンピュータ上で設計・加工し、その日のうちにセットするため、ほぼ無調整で入れることができます。歯科医も患者さんもストレスを感じることなく治療を終えることができます。
Q.13 セラミックは割れると聞いたのですが?
A. おっしゃる通りです。確かに以前はそのようなことがありました。しかし、ここ最近の技術革新により、ハイブリッドセラミックス(ENAMIC)のような割れにくいセラミックや、天然歯と同等の硬さを持つガラスセラミックス(e.max)、ダイヤモンドの次に硬いジルコニアなどがあります。とくにジルコニアは強度が高いので、修復物の厚みを極薄にしても割れないため、あまり生活歯を削りたくない方には有効な修復方法です。
Q.14 時間が経つと変色しませんか?
A. セラミックをカレーに一週間以上浸してたら少し変色したという実験はありますが、口の中でそういうことは起こり得ないのでセラミックはほとんど変色しないといっても問題ないでしょう。
Q.15 e.maxやジルコニアの歯は焼かないと作れないと聞いたのですが?
A. はい。基本的にセラミックブロックは工場で焼成された状態で出荷されますが、ガラスセラミック(e.max)とジルコニアは硬すぎるため、工場で焼成してしまうとミリングマシンで削りだすことができなくなります。そのため、ガラスセラミックとジルコニアに関しては、焼成前の状態で出荷されてきます。歯の設計をし、ミリングマシンで削り出した後、「クリスタライゼーション(約850度の高温で焼成)」が必要になります。これには「シンタリングファーネス」という高価な設備が必要なため、従来は歯科技工所にお願いするしかなかったのです。
しかし、最新のセレックシステムでは、「スピードファイヤー」という機械を導入することで、自院でも焼成が可能となり、ジルコニアも即日治療が可能となりました。
Q.16 実際のセレックの症例を見たいです
A. はい。当スタッフブログ「治療の前後」で随時更新していきます。簡単な解説も付けておりますので、一度ご覧くださいませ。



![[画像:1322c58d.jpg]](https://livedoor.blogimg.jp/matsumura_dental/imgs/1/3/1322c58d.jpg)