2011ǯ08·î04Æü
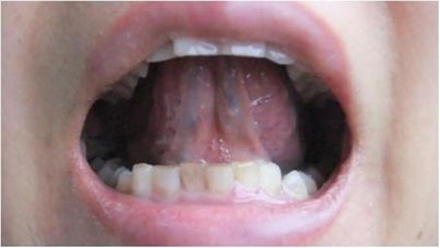
´ÁÊýÌô44Æüʬ¤ÇÇíæÀ¸ý¿°±ê¤¬Îɤ¯¤Ê¤Ã¤Æ¤¤¤ë¼Ì¿¿¤Ç¤¹¡£
½÷À¡¡51ºÍ¡¡ÀŲ¬¸©
¡Ö¥ª¡¼¥¿¥Ë´ÁÊýÌô¶É¤µ¤ó¤Ë¤ª»Ç¤¤¤¹¤ëÁ° ÇíæÀ¸ý¿°±ê¤¬Äˤ¯¤Æ
ͫݵ¤Ë¤Ê¤ê¿²¹þ¤à¤³¤È²¿ÅÙ¤«¤¢¤Ã¤¿¤ó¤Ç¤¹¡×
¡Ö¤Ç¤â¡¡ÀèÀ¸¤«¤é¤ªÌô夤¤Æ°ì¥õ·îÄøÎ©¤Á¤Þ¤·¤¿¤±¤É
ÄˤߤâÃÊ¡¹¡¡¾¯¤·¤º¤Ä¼è¤ì¤Æ¤¤Æ¤¤¤Þ¤¹¤·¡×
¡Ö¤³¤ì¤Ã¤Æ¡¡¼«Ê¬¤Ë¤È¤Ã¤Æ¤Ï¤«¤Ê¤ê¡¡Â礤ʴò¤·¤¤ÊѲ½¤Ç¤¹¡×
¡ÖÉ÷¼Ù¤â¤Ò¤«¤Ê¤¯¤Ê¤ê¤Þ¤·¤¿¤·¡¡µ¤ÎϤ¬¤Ä¤¤¤Æ
ʪ»ö¤òÁ°¸þ¤¤Ë¾¯¤·¡¡¹Í¤¨¤é¤ì¤ë¡×
¡Öº£¡¡¾Ð´é¤¬Í¤ê¤Þ¤¹¡£¡¡¾Ð¤¨¤Þ¤¹¡×
¡Ö¿°¤Î¥Ð¥ê¥Ð¥ê´¶¤Ï¤Þ¤À¡¡È¾Ê¬°Ì¤¢¤ê¤Þ¤¹¤±¤É¡×
¡Ö¤Ç¤â¡¡¿°¤ò¿¨¤ë¤È¥Ð¥ê¥Ð¥ê¤Ç¤Ï¤Ê¤¯¤Ê¤Ã¤Æ¤¤¤ë¤ó¤Ç¤¹¡£
¿°´¶³Ð¤¬¡¡¥Ð¥ê¥Ð¥ê´¶¤Ç¤¹¡×
¡ÖÇíæÀ¸ý¿°±ê¤Î¡¡°ìÈֹ󤤻þ¤Î¾õÂÖ¤¬Á´¤¯¤Ê¤¤¤ó¤Ç¤¹¡×
¡Ö¿°¤Ï¡¡Îö¤±¤ÆÀڤ줿Éôʬ¤ä¿°¤Î²ó¤ê¤Þ¤ÇÀÖ¤¯¤Ê¤ê¡¡
¼ð¤ì¤Ü¤Ã¤¿¤¤¡¡¥Ð¥ê¥Ð¥ê¥«¥µ¥«¥µ¡¡ÄË¡¹¤·¤¤¾õÂÖ¤¬Ìµ¤¯¤Ê¤ê¤Þ¤·¤¿¡×
¡Ö¤½¤ì¤¬¡¡ËÜÅö¤Ë½ø¡¹¤Ë½ø¡¹¤Ë¤Ç¤¹¤±¤É
̵¤¯¤Ê¤Ã¤Æ¤¤Æ¤¤¤ë¤Î¤¬³Î¤«¤Ç¤¹¡×
¡Ö¤À¤«¤é¡¡´èÄ¥¤ê¤¿¤¤¤ó¤Ç¤¹¡£ ÀèÀ¸ º£¸å¤â µ¹¤·¤¯¤ª´ê¤¤Ãפ·¤Þ¤¹¡×
¡Ö¿²¤Ä¤Îɤ¯¤Ê¤ê¤Þ¤·¤¿¡×
¡ÖÌë¡¡½ë¤¯¤Æ¡¡Ìܤ¬³Ð¤á¤¿¤ê¤¹¤ë¤Î¤Ç¤¹¤¬¡¡À¨¤¯Ì²¤ì¤ë»þ¤â½Ð¤Æ¤¤Þ¤·¤¿¤Î¤Ç
¡¡½ë¤¯¤Ê¤±¤ì¤Ð¡¡¤°¤Ã¤¹¤ê̲¤ì¤ë¤Î¤Ç¤Ï¤Ê¤¤¤«¤Ê¡©
¤È»×¤¦¤ó¤Ç¤¹¡×
¡Ö2»þ´ÖÃÖ¤¤Ë¤ª¤¤ë¤Î¤Ï¤Þ¤À¤¢¤ê¤Þ¤¹¤¬¡¡¤°¤Ã¤¹¤ê̲¤Ã¤Æ¤¤¤Äµ¯¤¤¿¤Î¤«
¡¡¤ï¤«¤é¤Ê¤¤»þ¤¬¤¢¤ê¤Þ¤¹¡×
¡Ö¤À¤«¤é¡¡À¨¤¤¤Ç¤¹¡×
¡Ö°ÊÁ°¤ÏÉÔ̲¾õÂ֤Ǥ·¤¿¡×
¡ÖÊØÈ뵤̣¤Ç¥³¥í¥³¥í´¶¤¬Í¤ê¤Þ¤·¤¿¤¬¡¡
º£ ÂçÊØ¤Î¹Å¤¤¥³¥í¥³¥í´¶¤Ïͤê¤Þ¤»¤ó¡×
¡Ö²¼Î¡¤Ï¤Ê¤¯¤Ê¤ê¤Þ¤·¤¿¤¬¡¡ÆðÊØ¤Ï¤Þ¤À¤¢¤ê¤Þ¤¹¡×
¡Öưة¤Ï¤Ê¤¯¤Ê¤ê¤Þ¤·¤¿¡×
¡Ö¤Ç¤â¡¡¥Û¥Ã¥È¥Õ¥é¥Ã¥·¥å¤Ï¤Þ¤À¤¢¤ê¤Þ¤¹¡×
¡Ö¼ªÌĤê¤Ï̵¤¯¤Ê¤ê¤Þ¤·¤¿¤¬¤Î¤Ü¤»¤Ï¤Þ¤À¤¢¤ê¤Þ¤¹¡×
¡Ö¼ê¤ϤޤÀÎ䤨¤Æ¤¤¤Þ¤¹¡×
¡ÖÉ¡¿å¤âÉ¡¤Å¤Þ¤ê¤â¤¯¤·¤ã¤ß¤â¤Ê¤¯¤Ê¤ê¤Þ¤·¤¿¡×
¡Ö¤Υĥê¤âÀèÀ¸¤Î½ê¤Ë¹Ô¤Ã¤Æ¤«¤é½Ð¤Ê¤¯¤Ê¤ê¤Þ¤·¤¿¡×
¡Ö¸ª¤³¤ê¤âÄˤ¤¤È¸À¤¦¤«¡¡°µÇ÷´¶¤È¤¤¤¦¤Î¤¬¼è¤ì¤Æ
¡¡¸ª¤¬Ä¥¤Ã¤Æ¤¤¤ë¤Î¤«¤Ê¤È¤¤¤¦¤Î¤Ïͤë¤ó¤Ç¤¹¤±¤É
¡¡°ÊÁ°¤ß¤¿¤¤¤Ë
À¨¡¼¤¤¡¡Äˤ¤¤È¤¤¤¦¤Î¤Ï̵¤¯¤Ê¤ê¤Þ¤·¤¿¡×
¡Ö̵¤¤¤Ç¤¹¡£¡¡ÀèÀ¸¤Î¤ª°þ¤Ç¤¹¡×
¡ÖËÜÅö¤Ë¡¡ÀèÀ¸¤Î½ê¤Ë¹Ô¤Ã¤Æ¤«¤é̵¤¤¤Ç¤¹¡×
¡Ö°û¤ß¹þ¤ß¤Î°ú¤Ã³Ý¤«¤ê¤â̵¤¯¤Ê¤ê¤Þ¤·¤¿¡×
¡ÖÈô²ã¾É¤Ï¤Þ¤À¡¡°ÊÁ°¤ÈƱ¤¸¤Ç¤¹¡£¡¡Â礤ÊÅÀ¤¬°ì¤Ä¤ÈÇö¤¤¹õ¤Ã¤Ý¤¤ÅÀ¤¬5¸Ä°Ê¾å¸«¤¨¤Þ¤¹¡×
¡Ö»Ø¤Ë°µÇ÷´¶¤¬Í¤ê¤Þ¤¹¤«¤é¡¡Ì¤¤À¡¡¾¯¤·Éâ¼ð¤ó¤Ç¤¤¤ë¤Ç¤¹¤«¤Í¡©¡×
¡Ö¤Ç¤â¡¡ËÜÅö¤Ë¤¦¤ì¤·¤¤¤Ç¤¹¡¡ÀèÀ¸¡¡º£¸å¤â¤Þ¤À¤Þ¤À
°¤¯¤Ê¤Ã¤¿¤ê¤Ç¡¡¤´ÌÂÏǤª¤«¤±¤¹¤ë¤È»×¤¤¤Þ¤¹¤¬
µ¹¤·¤¯¤ª´ê¤¤Ãפ·¤Þ¤¹¡×
¡ÚÍè¶É»þ¤Î¾É¾õ¡Û
¡úÇíæÀ¸ý¿°±ê¤Çɱ¡¤ò3¥±½ê²ó¤Ã¤¿¤¬
¥¹¥Æ¥í¥¤¥ÉÆð¹Ñ¤È¥ï¥»¥ê¥ó¤Î¤ß¤Î¼£ÎŤǼ£¤é¤Ê¤¤
¿°¤¬¹Ó¤ì¤Æ¢ª¡¡´¥Á礷¤Æ¢ª¡¡¥Ð¥ê¥Ð¥ê´¶¢ª¡¡¤Ò¤ê¤Ò¤êÄˤ¯¤Æ¢ª
¿°¤â¿°¤Î²ó¤ê¤âÀÖ¤¯¼ð¤ì¤Æ¢ª¡¡¿©¤Ùʪ¤¬¤¸¤ï¤¸¤ï¿»¤ß¤ë¤ò
·«¤êÊÖ¤¹
¡ú¤¬¤è¤¯¤Ä¤ë
¡ú¸ª¤³¤ê¡¡¼ó¤³¤ê¤¬Äˤ¤¤Û¤É¤Ë¥³¥ë
¡ú¤Î¤Ü¤»¤Æ¥Û¥Ã¥È¥Õ¥é¥Ã¥·¥å¤¢¤ê
¡ú¼ê¤¬¤Ò¤¨¤ë
¡ú²ÖÊ´¾É¡¡¤ÇÉ¡¿å¡¡É¡¤Å¤Þ¤ê¡¡¤¯¤·¤ã¤ß¤¬¤¢¤ë
¡úÌܤ¬¤«¤æ¤¤
¡úưة
¡úÆðÊØ¤È²¼Î¡¤ÈÊØÈë¡¡ÂμÁ¤ÏÊØÈëÂμÁ
¡úÇÓÊØÎϤ¬¼å¤¤
¡úÈ©¤¬´¥Á礹¤ë
¡ú¼¾¿¾¤¬¤Ç¤¤ä¤¹¤¤
¡úÈéÉæ¤¬¼å¤¤
¡úÉÔ̲¡¡¿²¤Ä¤°¤¤¡¡Ì²¤ê¤¬Àõ¤¤¡¡Ìë2»þ´Ö¤ª¤¤ËÌܤ¬³Ð¤á¤ë
¡ú°ö¹¢¤Ë°û¤ß¹þ¤à¤Î¤Ë¡¡°ú¤Ã³Ý¤«¤ê¤¬Í¤ë¡¡¹Ã¾õÁ£¤Îµ¿¤¤¡©
¡úÈô²ã¾É¡¡¡¡Â礤ÊÅÀ¤¬°ì¤Ä¤ÈÇö¤¤¹õ¤Ã¤Ý¤¤ÅÀ¤¬5¸Ä°Ê¾å¸«¤¨¤ë
¡Ú¤´¹ØÆþ¤µ¤ì¤¿¾¦ÉÊ¡Û
¡ü2011ǯ6·î28Æü
ÇíæÀ¸ý¿°±ê·óÂμÁ²þÁ±Ìô¡¡14Æüʬ¡¡¡ï8820
É÷¼Ù¤Ò¤¤Ï¤¸¤áÌô¡¡²ÆÍÑ¡¡¡¡3Æüʬ¡¡¡ï1890
½á¤¤²½¾Ñ¿åA¥â¥¢¡¡100ml¡¡1ËÜ¡¡¡ï2800
¤ªµÒÍͤΤªÀ¼¤Ç¤¹¡£
ÅÁÀâ¤Î²¦ÈÞÀи´¡¡80£ç¡¡1¸Ä¡¡¡ï2800
¤ªµÒÍͤΤªÀ¼¤Ç¤¹¡£
¥¤¥ª¥¦Æð¹Ñ¡¡10£ç¡¡1¸Ä¡¡¡ï945
²½¾ÑÉÊ¡¡¤ª»î¤·¥»¥Ã¥È¡¡1¥»¥Ã¥È¡¡¡ï1575
¡ü2011ǯ7·î1Æü
ÇíæÀ¸ý¿°±ê·óÂμÁ²þÁ±Ìô¡¡30Æüʬ¡¡¡ï18900
°Ê¾å¡¡ÇíæÀ¸ý¿°±ê·óÂμÁ²þÁ±Ìô¡¡44ÆüʬÉþÍÑ夤¤¿·ë²Ì¤Ç¤¹¡£
¡Ú´ÁÊýÌôÉþÍÑÁ°¡Û
¡Ú´ÁÊýÌôÉþÍѸå¡Û










