2012ǯ12·î31Æü
´ÁÊýÌô¤ÇÃæÀ»éËá¦ALT¡¦AST¡¦ALP¡¦¦Ã¡½GTP¡¦Ç¢»À¡¦Ç¢ÁÇÃâÁÇÃÍ¡¦·ìÅüÃͤ¬²¼¤¬¤ê¤Þ¤·¤¿¡¡
2012ǯ11·î29Æü¤Î¥Ö¥í¥°
´ÁÊýÌô10Æüʬ¤Ç·ìÅüÃÍ¡¦HbA1c¡¦LDL-C¤¬Á´¤ÆÀµ¾ïÃͤˤʤê¤Þ¤·¤¿¡£
¾åµ¤Î¥Ö¥í¥°¤Ë¤´Åо줤¤¿¤À¤¤¤¿Êý¤Ï¤³¤ÎÊý¤Î¤¤¤È¤³¤µ¤ó¤Ç¤¹¡£
½÷À¡¡Ê¡²¬¸©¡¡58ºÐ
¡Ö¤Û¤¦¤ì¤¤Àþ¤âÇö¤¯¤Ê¤Ã¤¿´¶¤¸¤Ê¤ó¤Ç¤¹¤è¤Í¡£¡×
¢¨ÌÚ¼¼¥ß¥ñ»Ò
¡Ö¿â¤ì¤Æ¤Þ¤·¤¿¤â¤ó¤Í¡£´é¤¬¤Í¡£¡×¡Ö¥¢¥Ï¥Ï¥Ï¡×
¡ÖÌܤ⡢²¿¤â¤«¤ó¤â¿â¤ì¤Æ¤Þ¤·¤¿¤â¤ó¤Í¡Á¡£¡Ê¾Ð¡Ë¡×¢¨
¡Ö¥Ï¥Ï¥Ï¡£³Ü¤ÎÀþ¤â¤Ç¤¹¤Í¡£²¿¤«º¸Â¦¤ÎÊý¤¬ÉôʬŪ¤ËÌÌÀѤ¬°ã¤¦¤Ã¤ÆÀèÀ¸¸À¤ï¤ì¤¿¤Ç¤·¤ç¤¦¡£¡×
¡Ö¤½¤Î³Ü¤Î¥é¥¤¥ó¤Î¹ü¤¬¾¯¡Á¤·¡¢¤³¤¦½Ð¤Æ¤¤¿´¶¤¸¤¬¤·¤Æ¤Ç¤¹¤Í¡£¡×
¢¨ÌÚ¼¼¥ß¥ñ»Ò
¡Ö¤ª¡Á¡ª¤½¤¦¤Ç¤¹¤«¡Á¡ª¡Ê¾Ð¡Ë³Ü¤Î¹ü¤Î¥é¥¤¥ó¤¬½Ð¤ÆÍ褿¤Ç¤¹¤«¡©¡×
¡Ö¤¢¡Á¡¢¤½¤¦¡ª´é¤¬Äù¤Þ¤Ã¤Æ¤¤Þ¤·¤¿¤Í¡£¡×¢¨
¡ÖÄù¤Þ¤Ã¤Æ¤¤¿¤ó¤Ç¤¹¤è¡ª¤Ç¡¢Ç¯Î𤬣±¥ö·îÁ°¤è¤ê¼ã¤¯¤Ê¤Ã¤¿´¶¤¸¤¬¤·¤Æ¡Ê¾Ð¡Ë¡£
¡Ö¼«Ê¬¤ÎÃæ¤Ç¤Ç¤¹¤Í¡£¡×
¡Ö¤½¤ì¤Ç¡¢¥Ø¥â¥°¥í¥Ó¥óA1c¤ÎÃͤ¬´ÁÊýÌôÉþÍÑÁ°7.3¤À¤Ã¤¿¤Î¤¬¡¢
¤³¤ÎÁ°19Æü¤Ëɱ¡¤Ë¹Ô¤Ã¤¿¤ó¤Ç¤¹¤è¤Í¡£¤½¤·¤¿¤éÊѤï¤Ã¤Æ¤Ê¤«¤Ã¤¿¤ó¤Ç¤¹¤è¤Í¡£¡×
¡Ö¤½¤ì¤Ç¤â¤Ç¤¹¤Í¡¢ÀèÀ¸¤ÎÊý¤¬¡ØÌôÁý¤ä¤½¤¦¡Ù¤Ã¤Æ¸À¤Ã¤Æ¡£¤Ç¤â¡¢¤Á¤ç¤Ã¤ÈÂԤäƲ¼¤µ¤¤¤Ã¤Æ¸À¤Ã¤Æ»ß¤á¤Æ¤â¤é¤Ã¤Æ¡£»ä´èÄ¥¤ê¤Þ¤¹¤«¤é¤Ã¤Æ¸À¤Ã¤Æ¡£¡×
¡ÖÃæÀ»éËäâ£Á£Ì£Ð¡ÊÃí1¡Ë¤Î¿ôÃͤâ°ÊÁ°¹â¤«¤Ã¤¿¤ó¤Ç¤¹¤è¡£¡×
Ãí1¡§´Î¡¡¡ÃÀÆ»¼À´µ¡¡¹üÆð²½¾É¤Ê¤É¤ÇÁý²Ã¤·¤Þ¤¹¡£°ÀÉÏ·ì¤Ç¸º¾¯¤·¤Þ¤¹¡£
´ð½àÃÍ£³£µ£°°Ê²¼
¡Ö¤½¤ì¤¬´Î¡¤Î¿ôÃͤÎALT¡ÊGPT¡Ë¤Ï54¤¬26¤ËÍî¤Á¤Æ
AST¡ÊGOT¡Ë¡Ê´ð½àÃÍ¡¨10¡Á40U¡¿L)¤Ï36¤¬19¤Ë¸º¤Ã¤Æ¡£
ALP¡Ê´ð½àÃÍ¡¨104¡Á338 U¡¿L)¤Ï340¤¬297¤Ë¸º¤Ã¤Æ¤¤¤ë¤ó¤Ç¤¹
ÉáÄ̤ËÀ¸³è¤ò¤·¤Æ¤Æ¸º¤Ã¤Æ¤ë¤ó¤Ç¤¹¤è¤Í¡£¡×
¦Ã¡½GTP¡Ê´ð½àÃÍ¡¨£´£¸°Ê²¼ U¡¿L)¤Ï143¤¬48¤Ë
ÃæÀ»éËáʴð½àÃÍ¡¨50¡Á149Ó¡¿dl¡Ë¤Ï211¤¬157¤Ë
Ç¢»À¤â¡Ê´ð½àÃÍ¡¨2.7¡Á7.0Ó¡¿dl ¡Ë6.0¤¬5.5¤Ë
¡Ê´ð½àÃÍ¡¨8.0¡Á20.0Ó¡¿dl ¡Ë¤â16.2¤¬13.9¤Ë
·ìÅüÃ͡ʴð½àÃÍ¡¨70¡Á109¡ÁÓ¡¿dl ¡Ë¤â¶õÊ¢»þ¤Ç148¤¬135¤ËÍî¤Á¤Æ¤¤¤Þ¤¹
¢¨ÌÚ¼¼¥ß¥ñ»Ò
¡Ö¤¹¤´¤¤¤¸¤ã¤Ê¤¤¤Ç¤¹¤«¡Á¡ª¡×¢¨
¡Ö¤Ï¤¤¡£¤½¤ì¤Çɱ¡¤ÎÀèÀ¸¤Ï¥Ø¥â¥°¥í¥Ó¥óA1c¤ÎÃͤǡ¢Ìô¤òÁý¤ä¤·¤Þ¤·¤ç¤¦¤Ã¤Æ
¤½¤Î¾ì¤Ç¸À¤ï¤ì¤¿¤ó¤Ç¤¹¤è¡£¡×
¡Ö°å»Õ¤Î¸ÀÍÕ¡¡Ê¹¤¤¤Æ¥¬¥Ã¥¯¥ê¤·¤¿¤«¤é¡¢¤Á¤ç¤Ã¤È¹Í¤¨¤Æ¤â¤¦£±¥ö·îÂԤäƤ¯¤À¤µ¤¤¤Ã¤Æ¤ªÃǤꤷ¤Æ¡×
¡Ö¤¢¤ÎÀèÀ¸¼«ÂΤ¬¤Ç¤¹¤Í¡¢Ìô¤òÁý¤ä¤½¤¦¡¢Áý¤ä¤½¤¦¤È¤·¤Æ¤ë¤ó¤Ç¤¹¤è¤Í¡£¡×
¢¨ÌÚ¼¼¥ß¥ñ»Ò
¡Ö¤¢¡Á¡¢É±¡ÊѤ¨¤¿¤é¤¤¤«¤¬¤Ç¤¹¤«¡©¡×¢¨
¡Ö¤½¤¦¤Ç¤¹¤è¤Í¡£¡×
¡Ö¤¹¤´¤¤¤Ç¤·¤ç¡©¤À¤«¤é¡¢¤½¤³¤ÇÀèÀ¸¤¬Ë«¤á¤Æ¤¯¤ì¤¿¤é¤¤¤¤¤Î¤Ë¡¢¥Ø¥â¥°¥í¥Ó¥ó¤À¤±¤ÎÃͤÀ¤±¸«¤ÆÈ½ÃǤµ¤ì¤ë¡×
¡Ö¤½¤Î¤¢¤È¤â¡¢¥ê¥¦¥Þ¥Á¤Îµ¤¤â¤¢¤ë¤«¤é¡¢¼¡²ó¤«¤é¼£ÎŤ·¤Þ¤·¤ç¤¦¤È¤«¸À¤ï¤ì¤Æ¡£¡×
¡ÖÀèÀ¸¡¢¤½¤ì¤É¤³¤¸¤ã¤Ê¤¤¤Ã¤Æ¡£º£¡¢¤½¤ó¤Ê¤Ë¸À¤ï¤ì¤Æ¥¬¥Ã¥¯¥êÍè¤Æ¤ë¤«¤é¡¢¤½¤ì¤Ï±ä¤Ð¤·¤Æ¤¯¤À¤µ¤¤¤Ã¤Æ¸À¤Ã¤Æ¡£¡×
¡Ö¤â¤¦¤³¤Ã¤Á¤ò²¡¤·¹þ¤ó¤¸¤ã¤¦¤è¤¦¤Ë¸À¤¦¤ó¤Ç¤¹¤è¡ª¡×
¡Öɱ¡½Ð¤Æµ¢¤ê¤Ë¿ôÃͤò¸«¤Æ¤ß¤¿¤é¡¢ÃæÀ»éËä⸺¤Ã¤Æ¤ë¤·¡¢¤³¤³¤â¸º¤Ã¤Æ¤ë¤Î¤Ë¡¢
²¿¤Ç¤½¤³¤òË«¤á¤Æ¤¯¤ì¤Ê¤¤¤Î¤«¤Ê¤Ã¤Æ¡£¡×
¡Ö¼ç¿Í¤ËÁêÃ̤·¤¿¤é¡¡Ç¯ÌÀ¤±¤ÆÊ̤Îɱ¡¤òÊѤ¨¤Æ¤ß¤è¤¦¤È¡×
¡Ö¤à¤¯¤ß¤Ï¤À¤¤¤Ö¸º¤Ã¤Æ¤Þ¤¹¡£¡×
¡Ö¿°¤Î´¥Á礬¤Ê¤¤¤ó¤Ç¤¹¡£°ÊÁ°ÀèÀ¸¤Ëʹ¤«¤ì¤¿¤È¤¤Ë¡¢¿°¤Î´¥Á礬¤¢¤ê¤Þ¤¹¤Ã¤Æ¸À¤Ã¤Æ¤¿¤ó¤Ç¤¹¤±¤É¡¢¤¢¤Î¸å2.3Æü¸å¤Ë¡¢¿°¤¬½À¤é¤«¤¯¤Ê¤Ã¤Æ¡¢´¥Á礬¤Ê¤¤¤ó¤Ç¤¹¤è¤Í¡£¡×
¡ÖÈ©¤¬½á¤Ã¤¿¤ß¤¿¤¤¤Ç¤¹¡ª¡×
¡Öº£¡¢Æ°Ø©¤Ïµ¯¤¤Æ¤Ê¤¤¤Ç¤¹¡£¡×
¡ÖÌë¤â¤°¤Ã¤¹¤ê̲¤ì¤Æ¤Þ¤¹¡£¡×
¡Öáڤߤâ¤Ê¤¤¤Ç¤¹¡£Á´Á³¤Ê¤¤¤Ç¤¹¡£¡×
¡Ö¿°¤ÎÈ餬Çí¤±¤ë¤Î¤â¼è¤ì¤Þ¤·¤¿¡£´°Á´¤Ë¡£¡×
¡ÖËÜÅö¤Ë¤è¤«¤Ã¤¿¡×
¡Ö´ò¤·¤¤¤Ç¤¹¡£¡×
¡Öº£ÅÙ¤ÏÀèÀ¸¤Ë²ñ¤Ã¤Æ´é¤ò¸«¤ÆÄº¤³¤¦¤È»×¤Ã¤Æ¡ª¡×
¢¨ÌÚ¼¼¥ß¥ñ»Ò
¡Ö³Ú¤·¤ß¤Ë¤·¤Æ¤Þ¤¹¡Á¡£¤É¤ó¤Ê´é¤Ë¤Ê¤é¤ì¤Æ¤ë¤Î¤«¡£¿ïʬ¡¡¼ãÊ֤äƤë¤È»×¤¤¤Þ¤¹¤è¡£
¤à¤¯¤ß¤â¼è¤ì¤Æ¡£¡×¢¨
¡Ö¤Õ¤Õ¤Õ¡£¤Ï¡Á¤¤¡£¤¢¤ê¤¬¤È¤¦¤´¤¶¤¤¤Þ¤¹¡£¡×
¡Ú¤´Íè¶É»þ¤Î¾É¾õ¡Û
¡úÅüǢɡÊHbA1c7.3¡Ë¥á¥È¥°¥ë¥³2012ǯ2·î¤«¤éÈô¤ÓÈô¤ÓÉþÍÑ¡¡
¡úξ¼ê¤Î¿Æ»Ø¤ÎÀ᡹¤¬¥ê¥å¥¦¥Þ¥ÁÍÛÀÈ¿±þ¡¡
¼ð¤ì¤¿°ãÏ´¶¤¢¤ê¡¡¤·¤Ó¤ì̵¤·¡Ë
¡ú°ì½ÖÀ夬ÏļÐÀå¡ÊÃæ3¤Î»þ¤Ë¼ó¤ò¶¯ÂÇ22¡Á23ºÍËø¼ó¤¬¤¦¤º¤¤¤¿¡Ë
¡ú¿°¤ÎÈ餬Çí¤±¤ë
¡úÀÅÌ®áɨÆâ¦30¡Á40ѥ졼¥¶¡¼¤Ç¾Æ¤¤¤¿¡¡
¡ú»ÒµÜÆâËì¾É¤Î¥Û¥ë¥â¥óÃí¼Í3ǯ´Ö³¤±¤¿¸å
Áí¹çÊĺ¿ÉÔÁ´¾É¡Ê¿´Â¡¤ÎÊÛ¡Ë
±¦ÏƤ«¤éÇØÃæ¤òÄ̤꿴¡¤ÎÊÛ¤òË¥¤¤Á¶¤Ã¤¿¡¡
¡ú³±¤¹þ¤à»þ¤¢¤ê¡¡
¡ú´¥Á礷¤ÆÈ©¤¬áÚ¤¤¡¡
¡ú¹Í¤¨»ö¤ÇÉÔ̲¤Ë¤Ê¤ë»þ¤¬¤¢¤ë¡¡
¡ú»þ¡¹Æ°Ø©
¡Ú¤´¹ØÆþ¤µ¤ì¤¿¾¦ÉÊ¡Û
2012ǯ11·î28Æü
ÅüǢɷóÂμÁ²þÁ±Ìô¡¡30Æüʬ¡¡¡ï18900
É÷¼Ù°ú¤¤Ï¤¸¤áÌô¡¡3Æüʬ¡¡¡ï1890
½á¤¤²½¾Ñ¿å¥Þ¥«¥Ç¥ß¥¢A¥â¥¢¡¡100ml¡¡1ËÜ¡¡¡ï2800
ÅÁÀâ¤Î²¦ÈÞÀи´¡¡¥µ¥ó¥×¥ë¡¡
2012ǯ12·î12Æü
ÅüǢɷóÂμÁ²þÁ±Ìô¡¡28Æüʬ¡¡¡ï17640
µÆ²ÖÃã¡¡50£ç¡¡¡ï300
JTB¹ÚÁÇ¡¡236γ¡¡¡ï4725
É÷¼Ù°ú¤¤Ï¤¸¤áÌô¡¡3Æüʬ¡¡¡ï1890
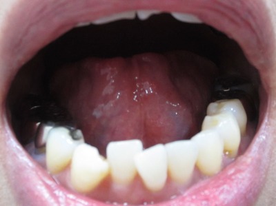
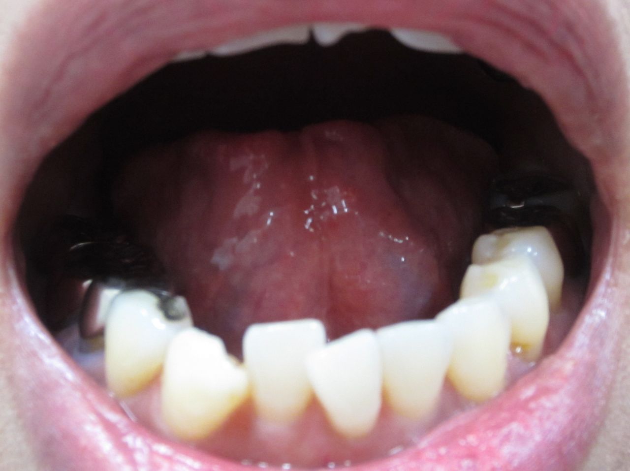
´ÁÊýÌôÉþÍÑÁ°¡Ú2012ǯ11·î16Æü¡Û¤È
´ÁÊýÌôÉþÍѸå¡Ú2012ǯ12·î19Æü¡Û¤Î¸¡ºº·ë²Ì
¢¨²èÁü¤ò¥¯¥ê¥Ã¥¯¤¹¤ë¤È³ÈÂçɽ¼¨¤µ¤ì¤Þ¤¹¡£

¡Ú2012ǯ11·î28Æü¡¡½é²óÍè¶É»þ¤ÎÀå¤Îɽ¡Û
ÀåÁ´ÂΤ¬¸«¤¨¤Þ¤»¤ó¤¬Á´ÂΤ¬¤Ü¤Ã¤Æ¤êÉâ¼ð¤ó¤ÇËĤé¤ó¤Ç¤¤¤ë¤Î¤¬
¤ï¤«¤ê¤Þ¤¹¡£¿åʬÂå¼Õ¤¬°¤¤¤Ç¤¹¤ÈÉâ¼ð¤ß¤Þ¤¹
Ãæ±ûÉôʬ¤Ë¿¼¤¤µµÎö¡¡·ì¡¡µ¤¡¡ÄÅ¡¡Àº±Õ¡¡ÉÔÂ
ÂΤ¬½á¤¤ÉÔ¡¡³èÎÏÉÔ¡¡ÈèÏ«¤·¤ä¤¹¤¯¡¡²óÉü¤·¤Ë¤¯¤¤Àå¤Ç¤¹¡£
Á´ÂÎŪ¤Ë¤¦¤Ã¤¹¤éÇò¤¤ÂݤÏÂΤ˿夬¿¤¤¤¿¤á¤ËÎ䤨¤Æ¤¤¤ë
»ö¤òɽ¤·¤Æ¤¤¤Þ¤¹¡£

¡Ú2012ǯ11·î28Æü¡¡½é²óÍè¶É»þ¤ÎÀå¤Î΢¡Û




