2013ǯ02·î14Æü
´Ö¼ÁÀÇÙ±ê¤Î©Àڤ졡©¶ì¤·¤µ¤¬´ÁÊýÌô¤Ç½Ð¤Ê¤¯¤Ê¤ê¤Þ¤·¤¿
¤³¤ÎÊý¤Ë¤Ï°ÊÁ°2013ǯ1·î15Æü²¼µ¤Î¥Ö¥í¥°¤ËÅо줷¤ÆÄº¤¤Þ¤·¤¿
¡Ö´ÁÊýÌô¤Ç©¶ì¤·¤µ³Ú¤Ë¤Ê¤ê¡¡¶õ¤¼¤¤¬¾Ã¤¨¤Æ¡¡É԰´¶¡¡¶²ÉÝ´¶¤¬¾Ã¤¨¤Þ¤·¤¿¡×
ÃËÀ¡¡71ºÍ¡¡Ê¡²¬¸©
2013ǯ2·î13ÆüËÜÆü¤´Ëܿͤµ¤ó¤È±üÍͤ¬¤ªÏä·¤·¤Æ²¼¤µ¤¤¤Þ¤·¤¿
¡Ö³±¤Î½Ð¤ë²ó¿ô¤¬¾¯¤Ê¤¯¤Ê¤ê¡¡Â©Àڤ줬¾¯¤Ê¤¯¤Ê¤ê¤Þ¤·¤¿¡£¡×
¡Ö´ÁÊýÌôÉþÍÑÁ°¤Ï¡¡³¬Ãʤξº¤ë»þ¤ä¡¡£µÊ¬¤Îµ÷Î¥¤Ç¡¡
¥Ï¡¼¥Ï¡¼¤¤¤Ã¤Æ¤¤¤Þ¤·¤¿¡£¡×
¡ÖÀè¤Û¤É¡¡Çؤ«¤é¥ª¡¼¥¿¥Ë´ÁÊýÌô¶É¤µ¤óËø¡¡
¤æ¤Ã¤¯¤êÊ⤤¤Æ¡¡Á´Á³¡¡Â©ÀÚ¤ì¤Ê¤·¡×
¢¨Çؤ«¤é·ò¾ï¤ÊÊý¤Ç¡¡Ê⤤¤Æ10Ê¬Äø¤«¤«¤ëµ÷Î¥¤Ç¤¹¡£¢¨
¡ÖÅÓÃæ¡¡¾¯¤·³±¤¬¤Ç¤Þ¤·¤¿¤¬¡¡³°¤Î¶õµ¤¤¬Î䤿¤¤°Ù¤Ë½Ð¤Þ¤·¤¿¡£¡×
¡Ö²È¤Ç¤ÏËØ¤ó¤É¡¡³±¤Ï½Ð¤Þ¤»¤ó¡£¡×
¡Ö©¶ì¤·¤µ¤âËØ¤ó¤É¤¢¤ê¤Þ¤»¤ó¡£¡×
¡Ö2012ǯ12·î8Æü²ñ¼Ò¤Î·ò¹¯¿ÇÃǤǴּÁÀÇÙ±ê
¤È¿ÇÃǤµ¤ì¤Þ¤·¤¿¡£¡×
¡Ö²¹ÅÙ¤¬²¼¤¬¤ë¤È³±¤¬Â³¤¤¤Æ¤¤¤Þ¤·¤¿¤¬¡¡
º£Æü¤ÏÎ䤿¤¤³°¤òÊ⤤¤Æ¤¤Þ¤·¤¿¤¬¾¯¤Ê¤¤³±¤Ç¤¹¡×
¡ÖËØ¤É¤Ê¤¤¤È¸À¤¨¤ë¤¯¤é¤¤¤Î³±¤Ç¤¹¡£¡×
¡Ö2Ç¯ÄøÁ°¤«¤é³±¤¬Â³¤¤¤Æ¤¤¤¿¤Î¤Ç¤¹¤¬
³¤¯³±¤Ï̵¤¯¤Ê¤ê¤Þ¤·¤¿¡£¡×
¡ÖµÕ¤Ë¿ÈÂΤ¬²¹¤Þ¤Ã¤Æ¤â¡¡³±¤ò¤·¤Æ¤¤¤Þ¤·¤¿¤¬
¤½¤ì¤âËØ¤É½Ð¤Ê¤¯¤Ê¤ê¤Þ¤·¤¿¡£¡×
¡Ö´ÁÊýÌôÉþÍÑÁ°¤ÏÊ¿ÃϤǤâ500£í¤Ç©Àڤ줷¤¿¤ê
¡¡³¬ÃÊ20Ãʰʾå¤Ç©Àڤ줷¤Æ¤¤¤Þ¤·¤¿¡×
¡Öº£¤Ï¤½¤ì¤¬¤¢¤ê¤Þ¤»¤ó¡£¡×
¡ÖξÊý¤ÎÆý˼¤¢¤¿¤ê¤Î¶ÚÆù¤ò²¡¤¹¤ÈÄˤó¤Ç¤¤¤Þ¤·¤¿¤¬¡×
¡Öº£¡¡±¦¤ÎÆý˼¤Î¶ÚÆù¤ÎÄˤߤϼ£¤Þ¤ê¤Þ¤·¤¿¡×
¡Öº¸¤ÎÆý˼¤Î¶ÚÆù¤ÎÄˤߤ¬¾¯¤·»Ä¤Ã¤Æ¤¤¤Þ¤¹¡£¡×
¡Öɱ¡¤Ç¤Ï¡¡´Ö¼ÁÀÇÙ±ê¤ò¼£ÎŤ·¤Ê¤±¤ì¤Ð¹Ô¤±¤Þ¤»¤ó¤È
¸À¤ï¤ì¤Þ¤·¤¿¡£¡×
¡Ö¤½¤Î°Ù¤Ë¡¡Â礤Êɱ¡¤ò¾Ò²ð¤·¤Þ¤¹¡£¡×
¡Ö¸¡ººÆþ±¡¤·¤Æ²¼¤µ¤¤¤È¸À¤ï¤ì¤Þ¤·¤¿¡×
¡Ö̼¤¬¥¤¥ó¥¿¡¼¥Í¥Ã¥È¤Ç¥ª¡¼¥¿¥Ë´ÁÊýÌô¶É¤µ¤ó¤Î
¥Ö¥í¥°¤ò¸«¤Ä¤±¤Þ¤·¤¿¡£¡×
¡Öɱ¡¤Ç¤Î¼£ÎÅË¡¤Ï¡¡¥¹¥Æ¥í¥¤¥É¤äÌȱÖÍÞÀ©ºÞ¤ä»ÀÁǤΤߡ×
¡ÖÂçÊѤè¡×¡¡
¡Öɱ¡¤Ç¤Ï¼£ÎÅË¡¤â²¿¤â¸À¤ï¤ì¤º¡¡¤¿¤À¸¡ºº¤Î¤ß¤ÇÆþ±¡¤·¡×
¡Ö¥ª¡¼¥¿¥Ë´ÁÊýÌô¶É¤µ¤ó¤Î¥Ö¥í¥°¤Ç½é¤á¤Æ
´Ö¼ÁÀÇÙ±ê¤Î¡¡¼£ÎÅË¡¤È¤«
ɱ¡¤Ç¤Î´µ¼Ô¤µ¤ó¤Î¾õÂÖ¤òÃΤê¤Þ¤·¤¿¡£¡×
¡Ö¤À¤«¤é¡¡À¾ÍÎ°å³Ø¤ÏÉûºîÍѤ¬¤¢¤ê¡¡¸½ºß¤â¼£ÎÅË¡¤¬¤Ê¤¤¡×
¡Ö´ÁÊýÌô¤Ç´Ö¼ÁÀÇٱ꤬Îɤ¯¤Ê¤Ã¤¿Êý¤Î¥Ö¥í¥°¤ò¸«¤Æ¡¡¡×
¡Ö¥ª¡¼¥¿¥Ë´ÁÊýÌô¶É¤µ¤ó¤Î´ÁÊýÌô¤¬¤¤¤¤¤ó¤¸¤ã¤Ê¤¤¡©
¤È̼¤Ë´«¤á¤é¤ì¤Þ¤·¤¿¡×
¡Ö´ÁÊýÌô¤òÂ賤µ¤ì¤¿Êý¡¹¤Î¥Ö¥í¥°¤ò¸«¤Æ¡¡
¼«Ê¬Ã£¤Ë¤â´õ˾¤¬¸«¤¨¤Æ¤¤Þ¤·¤¿¡¡¡×
¡Öµß¤ï¤ì¤¿´¶¤¸¤Ç¤·¤¿¡£¡×
¡Ö´ÁÊýÌô¤ò°û¤ó¤Ç¡¡°Õ³°¤Ë»×¤Ã¤¿¤Î¤¬¡¡¸ª¤¬´Ý¤Þ¤Ã¤Æ¤¤¤¿¤Î¤¬
ÍâÆü£²Æü°ÊÆâ¤Ç¡¡»ÑÀª¤¬¿¤Ó¤Æ¤¤¤ë¡×¡¡
¡Ö°ìÈÖÀè¤Ë¤½¤ì¤òµ¤ÉÕ¤¤Þ¤·¤¿¡×
¢¨ÌÚ¼¼¥ß¥ñ»Ò
´Ö¼ÁÀÇÙ±ê¤ÎÊý¤Ï¶Ú¤äÇÙ˦¤¬°à½Ì¤·¤Æ
¹Å¤¯½Ì¤ó¤Ç¹Ô¤¤Þ¤¹¡¡¤½¤Î°Ù¤ËÂΤ¬´¥Á礷¤¿ÍÕ¤ÎÍͤË
´Ý¤¯¤Ê¤Ã¤Æ¤¤¤¯¤Î¤Ç¤¹¢¨
¡Ö¿ÈŤ¬µîǯ¤ËÈæ³Ó¤·¤Æ1¡Á2ѽ̤ó¤ÇÄ㤯¤Ê¤Ã¤Æ¤¤¤Þ¤·¤¿¡×
¡Ö¸ª¤¬´Ý¤¯¤Ê¤Ã¤Æ¤¤¤Ã¤¿¤Î¤â¡¡
¿ÈŤ¬Ä㤯¤Ê¤Ã¤Æ¤¤¤Ã¤¿¸¶°ø¤À¤È»×¤¤¤Þ¤¹¡×
¡Ö¼ç¿Í¤ò¸«¤Æ¤¤¤Æ¡¡¿ÈÂΤ¬´Ý¤¯¤Ê¤é¤Ê¤¤¡×
¡Ö¡¡¸ª¤¬´Ý¤¯¤Ê¤é¤Ê¤¤¡¡¿ÈÂΤ¬¶Ê¤¬¤é¤Ê¤¤¡×
¡Ö¤Þ¤Ã¤¹¤°¤ËΩ¤Á¡¡¿ÈĹ¤Î¹â¤µ¤¬Ìá¤Ã¤Æ¤¯¤ë¡£¡×
¡Ö´ÁÊýÌô¤¬¸ú¤¤¤Æ¤¤¤ë¡×
¡Ö¡¡¿©»ö¤¬¤¤¤±¤ë¡¡¿©¤Ù¤ì¤ë¡×
¡Ö¤ª¤¤¤·¤¯¤Ê¤ê¡¡¤ª¤«¤ï¤ê¤ò¼«Ê¬¤Ç¤·¤Æ¤¤¤Þ¤¹¡£¡×
¡¡¡Öº£¡¡ÌëÃæ¥È¥¤¥ì¤Ë£±²ó¡¡µ¯¤¤Þ¤¹¤¬¡×
¡ÖÇòÅò¤ò°û¤ó¤Ç°ö¹¢¤Î³é¤¤¬¼£¤Þ¤ê¤Þ¤¹¡£¡×
¡Ö°ÊÁ°¤Ï¡¡¹¢¤¬¥«¥é¥«¥é¡¡ÌëÃæ¤Ë£²¡Á£³²óµ¯¤¤Æ
¥È¥¤¥ì¤Ë¹Ô¤¡¡¡¡¿ç̲ÉÔ¤Ǥ·¤¿¡×
¡Öº£¤Ï¡¡ÌëÃæ¤Ëµ¯¤¤ë¤Î¤Ï¡¡£±²ó¤Î¤ß¡×
¡Öµ¯¾²»þ¤Î¶ÚÆù¤Î¤³¤ï¤Ð¤ê¤Ï¡¡Ëؤó¤É¤Ê¤¯¤Ê¤ê¤Þ¤·¤¿¡×
¡¡¡Ö¶ÚÆù¤Î¥³¥ê¤ä½Ì¤à´¶¤¸¤¬Ìµ¤¯¤Ê¤ê¤Þ¤·¤¿¡£¡×
¡Ö¤¿¤À¡¡¿ÈÂΤ¬¡¡·¹¤¤¤Æ¤¤¤ë¤Î¤ò´¶¤¸¤Þ¤¹¡£¡×
°ÊÁ°¤ÏÂΤ¬·¹¤¤¤Æ¤¤¤ë¤Î¤â¤Ä¤«¤á¤Ê¤¤¡¡µ¤¤Å¤«¤Ê¤«¤Ã¤¿
¡ÖÀèÀ¸¡ÊÌÚ¼¼¥ß¥ñ»Ò¡Ë¤Ë¸À¤ï¤ì¤Æ¡¡½é¤á¤Æµ¤¤Å¤¤¤¿¡£¡×
¡¡¡Ö¿ÈÂΤ¬Á°¤ËÁ°¤Ë´Ý¤¯¤Ê¤ë¡×¡¡
¡Ö¸ª¤âÆâ¦¤Ë¥É¥ó¥É¥ó¡¡´Ý¤¯¤Ê¤ë¡×
¡Ö´Ý¤¯¤Ê¤ë¤Î¤òͽËɤ¹¤ë°Ù¤ËÂÎÁà¤ò¤·¤Ê¤µ¤¤¤È¼ç¿Í¤Ë¸À¤Ã¤Æ¤¤¤¿¤¬
¤½¤ì¤Ç¤â¥É¥ó¥É¥ó¸«¤ë¤¿¤Ó¤Ë´Ý¤Þ¤Ã¤Æ¤¤¤Ã¤¿¡£¡×
¡Öº£¤Ï´Ý¤Þ¤Ã¤Æ¤¤¤Ê¤¤¡×
¡¡¡ÖÈ©¤Ï¤Þ¤À¤«¤Ö¤ì°×¤¤¡¡¡×
¡Ö¤½¤¦¸À¤¦¤È¡¡Ì¼¤¬¤¢¤Î²½¾Ñ¿å¡Ê½á¤¤²½¾Ñ¿åA¥â¥¢¡Ë¤òÅɤê¤Ê¤µ¤¤
¤È¤¤¤¦¤Î¤ÇÅɤäƤ¤¤Þ¤¹¡£¡×
¡ÖÈ©¤¬¤·¤Ã¤È¤ê¤·¤Þ¤¹¡£¡×
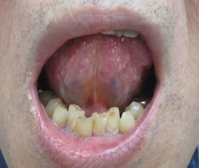
¡Ú2012ǯ12·î19Æü¡¦´ÁÊýÌôÉþÍÑÁ°Àåɽ¡Û
Ãæ±û¤Ë¿¼¤¤µµÎö¤¬¤¢¤ê¤Þ¤¹¡£
¤³¤ÎµµÎö¤Ï°²½¤·¤Þ¤¹¤È¡¡¿©¤Ùʪ¤â¿»¤ß¤ÆÄˤߤޤ¹¡£
¤³¤ÎµµÎö¤Ï·ì¡¡µ¤¡¡ÄűդÎÉÔ¤¬¸¶°ø¤Ç¤¹
Èè¤ì¤ä¤¹¤¯¡¡Èè¤ì¤¬²óÉü¤·¤Ë¤¯¤¤
ÂΤ¬¸Ï³é¾õÂÖ¡¡¸Ï¤ì¤Æ¤¤¤ë
°Ù¤Ë¡¡À夬Éâ¼ð¤ó¤Ç»õ·¿¤¬¤Ä¤¤¤ÆËĤé¤ó¤Ç¤¤¤ë³ä¤Ë¤ÏÀ夬Çö¤¤
ÀåÁ´ÂΤ¬Çò¤¤¡¡ÂÎÁ´ÂΤ¬Î䤨¤Æ¤¤¤ë¤È¤¤¤¦»ö¤Ç¤¹
ÇòÂݤξå¤Ë²«¿§¤ÎÂݤ¬¤¢¤ê¤Þ¤¹¡£
²Ð¤äÇ®¤â¤Þ¤¿¤¢¤ë¤È¤¤¤¦¤³¤È¤Ç¤¹¡£
¡Ú2013ǯ1·î15Æü¡¦´ÁÊýÌôÉþÍѸåÀåɽ¡Û
ÀåÁ´ÂΤ¬»£¤ì¤Æ¤¤¤Ê¤¤¤Î¤¬»Äǰ¤Ç¤¹¡£
²«¿§¤ÎÂݤ¬¤È¤ì¤Æ¡¡Çò¤ÎÂݤϤ¦¤¹¤¯¤Ê¤ê
²Ð¡¡Ç®¡¡Î䤨¤¬¤«¤Ê¤ê¼è¤ì¤Æ¤¤¤Þ¤¹¡£
¡Ú2013ǯ2·î13Æü¡¡´ÁÊýÌô60ÆüʬÉþÍѸå¤ÎÀå¤Îɽ¡Û
¤Þ¤À¤Þ¤À¡¡Àå¤ÎɽÌ̤εµÎö¤¬¿¼¤¯²«¿§¤äÇò¤ÎÂݤ¬
¤¢¤ê¤Þ¤¹¡£
¤³¤ÎµµÎö¤Ï¾É¾õ¤Ï¿ïʬ²þÁ±¤µ¤ì¤Æ¤¤¤Þ¤¹¤¬
´ÁÊýÌô¤ÎÎϤ¬Â礤¤¤È¸À¤¦¤³¤È¤Ç¤¹¡£
¡Ú2012ǯ12·î19Æü¡¦´ÁÊýÌôÉþÍÑÁ°Àå΢¡Û
ÀÅÌ®·ì´É¤¬ÂÀ¤¯À¹¤ê¾å¤¬¤Ã¤Æ¤¤¤Þ¤¹
Èó¾ï¤Ë¿åʬÂå¼Õ¤¬°¤¯¡¡Éâ¼ð¤ß¤¬¹ó¤¤¾õÂ֤Ǥ¹¡£
¼¾¤Ë¤è¤ë¡¡¾É¾õ¤¬Âô»³¤¢¤ê¤Þ¤¹¡£
¡Ú2013ǯ1·î15Æü¡¦´ÁÊýÌôÉþÍѸåÀå΢¡Û
¤Þ¤À¾û¤ß¤ã·ì´É¤ÏÂÀ¤¤¤Î¤Ç¤¹¤¬¡¡Á°²ó¤è¤ê¤âÀ¹¤ê¾å¤¬¤êÊý¤¬
¾®¤µ¤¯¤Ê¤Ã¤Æ¤¤¤Þ¤¹
¿åʬÂå¼Õµ¡Ç½¤¬¹â¤Þ¤ê¡¡¼¾¤¬ÂΤ«¤é¼è¤ì¤Æ¤¤¤Ã¤Æ¤¤¤Þ¤¹
¼¾¤«¤é¤¯¤ë¿åÆÇ¾É¾õ¡¡¤¬¼è¤ì¤Æ¤¤Æ¤¤¤ë¤È¤¤¤¦»ö¤Ç¤¹
¡Ú2013ǯ2·î13Æü¡¡´ÁÊýÌô60ÆüʬÉþÍѸå¤ÎÀå¤Î΢¡Û
2ËܤÎÀÅÌ®·ì´É¤ÎÀ¹¤ê¤¢¤¬¤ê¤¬¾¯¤Ê¤¯¤Ê¤ê¤Þ¤·¤¿
¿åʬÂå¼Õ¤¬¤è¤¯¤Ê¤êÂΤ˼¾¤¬¼è¤ê½ü¤«¤ì¤Æ¤¤¤Þ¤¹¡£
¡Ú´ÁÊýÌô¤½¤Î¾¾¦Éʤ´¹ØÆþÎò¡Û
2012ǯ12·î19Æü
¡¦´Ö¼ÁÀÇÙ±ê²þÁ±Ìô¡¡30Æüʬ¡¡18,900±ß
¡¦É÷¼Ù¤Ò¤¤Ï¤¸¤áÌô¡¡ÅßÍÑ¡¡7Æüʬ¡¡4,410±ß
¡¦¤»¤¡¦Óéȯºî¤ÎÌô¡¡10Æüʬ¡¡6,300±ß
¡¦¤ª¤¤¤·¤¤³±»ß¤á100ml¡¡3ËÜ¡¡3,150±ß
¡¦ÅÁÀâ¤Î²¦ÈÞÀи´(¿¢ÊªÀ®Ê¬Æþ¤ê)80g¡¡1¸Ä¡¡2,800±ß¡¡¤ªµÒÍͤΤªÀ¼
¡¦½á¤¤²½¾Ñ¿åA¥â¥¢(¥Þ¥«¥Ç¥ß¥¢¥Ê¥Ã¥Ä¥ª¥¤¥ë)100ml¡¡2ËÜ¡¡5,600±ß¡¡¤ªµÒÍͤΤªÀ¼
2012ǯ12·î19Æü
¡¦¥¹¥×¥ì¡¼¡¡2ËÜ¡¡210±ß
¡¦JB¹ÚÁÇγ¡¡90g¡¡1¸Ä¡¡4,725±ß
2012ǯ12·î27Æü
¡¦¤»¤¡¦Óéȯºî¤ÎÌô¡¡20Æüʬ¡¡12,600±ß
¡¦¤ª¤¤¤·¤¤³±»ß¤á100ml¡¡7ËÜ¡¡7,350±ß
2013ǯ1·î7Æü
¡¦É÷¼Ù¤Ò¤¤Ï¤¸¤áÌô¡¡ÅßÍÑ¡¡10Æüʬ¡¡6,300±ß
2013ǯ1·î15Æü
¡¦ÂμÁ²þÁ±¡¡30Æüʬ¡¡18,900±ß
¡¦´ÁÊýÝôÍáºÞ(Ê¡¤æ)10Êñ¡¡3ÂÞ¡¡4,500±ß
¡¦°ßIJÌô¡¡7Æüʬ¡¡4,410±ß
2013ǯ1·î26Æü
¡¦¤ª¤¤¤·¤¤³±»ß¤á100ml¡¡3ËÜ¡¡3,150±ß
¡¦¤»¤¡¦Óéȯºî¤ÎÌô¡¡7Æüʬ¡¡4,410±ß
2013ǯ2·î13Æü
¡¦´Ö¼ÁÀÇٱꡡ30Æüʬ¡¡18,900±ß
¡¦¤ª¤¤¤·¤¤³±»ß¤á100ml¡¡2ËÜ¡¡2,100±ß
¡¦¤»¤¡¦Óéȯºî¤ÎÌô¡¡10Æüʬ¡¡6,300±ß
¡¦Èþ´é¥Ñ¥Ã¥¯(¿¢ÊªÀ®Ê¬Æþ¤ê)30g¡¡1¸Ä¡¡1,890±ß¡¡¤ªµÒÍͤΤªÀ¼



