2013年09月08日
皮膚病が漢方薬30日分と『鹿の角と亀の腹板の健康食品』で改善 感謝のメール
愛知県から 45才 女性
メール頂きました。
Sent: Friday, August 30, 2013 10:36 AM
Subject: 9月2日 PM4時30
木室先生
こんにちは。お世話になります。
この1年半 病院・漢方・基礎化粧品・食事・整体など良いと聞けばすぐにトライし、全て裏切られる。
何もかもが信じられなく、臆病になっていました。
このまま治らないのでは・・・
一生化粧もできないのでは・・・
2012年1月に美容皮膚科を受診していなければ・・・
薬を塗り続けていたら大変なことになるのは承知でしたが、やめられない・・・
部位が顔だけに精神的にもかなり落ち込み、太陽がこわく引きこもり、
生きる希望も楽しみもなくした生活をおくっていました。
とにかく不安で不安でどうしようもなかった私に救いの手を差し延べてくださった先生には
本当に感謝しております。
先生の「大丈夫、治るから」と言う言葉通り、漢方を飲み始めた翌日から改善の兆しが見え始めました。
初めは半信半疑でしたが、日に日に目に見えて良くなる肌に私も家族もびっくりしています。
先生本当にありがとうございます。
先生とご縁があり、どん底から光が見え始め、生きる希望が湧いてきたことを大変嬉しく思います。
何よりも、「また今日も薬を塗ってしまった」というストレスから解放されたことはこの上なく大きいです。
8月7日に伺った時は右目下のリバウンドが酷く、赤く腫れていましたが、2日後には左目下も
同様の症状になりました。漢方を飲んでいたおかげか、左のほうが腫れが少なかったように感じました。
現在は目に見えてわかるような腫れはなくなりました。範囲・赤みも和らいでいますが、
今赤くなっている部分は
目の下というより頬です。実物はお写真よりも多少赤いです。
日によって昨日より赤いかな??と思う日もあります。
漢方を飲み始めて2週間くらいはなんとなく体がだるく横になっていた日が多かったです。
ドライアイは目薬をさすのを忘れる位調子の良い日も多くなりました。
便秘は2・3日毎日出て、3日間でないというパターンです。
今月は生理(21日から一週間)がとてもしんどかったです。
今まで生理痛・腰痛など感じたことはほとんどなかったのですが、
生理初日から4日間体がだるく、
腰痛もありました。
他にも色々教えていただきたいことがありますので9月2日、先生とお話しできる事を心待ちにしています。
よろしくお願いいたします。
※追記※
2013年9月21日(土)の関西相談会にて
「オータニ漢方薬局の中の以下のブログに掲載された方に大変感謝にしています。」
自分がこの写真の方に助けられましたので
私の顔写真も皮膚病でお困りの方の為にお役立てくださいとして
ご自身の顔写真の掲載を許可して下さいました。
お二人に心より感謝申し上げます。
株式会社 オータニ漢方薬局 代表取締役 木室ミヱ子
2009年6月13日
顔の湿疹・ステロイドリバウンドの改善写真に驚いています。
2009年6月27日
ステロイドの2回目のリバウンド湿疹と改善中の写真です。
2009年7月18日
ステロイドリバウンド漢方薬での改善報告のメールを頂きました
2010年6月26日
お客様より大変嬉しいメールを頂きました。ステロイド剤による肌のリバウンド症状
【ご来局時の症状】
●顔面皮膚炎
●2012年1月ミリウム切開の為、病院を受診
右瞼に少し皮膚炎が発症していた為、ステロイド静脈注射を受ける
同日、医師の薦めでアンチエイジングのためボトックス(目尻と目の下)を施術
3日目、目の周りが腫れた
●2012年3月皮膚炎の酷さがピークに達した
●病院を5〜6件回り→大学病院へプロトピックを塗りなさいとの指導
●2013年6月他の薬局の漢方薬でブツブツ湿疹発生 温まると湿疹が発生
●アレルギー体質(花粉症)
●肩こり首こりきつい
●手足が冷える
●髪が抜ける脱毛が酷い
●ドライアイ
●胃弱(太れない 消化吸収力低下)
●乾燥肌
●金属アレルギー
服用薬
プロトピック:免疫抑制剤の軟膏
シナール:(ビタミンC(アスコルビン酸)とパントテン酸を配合した複合ビタミン剤です
是まで皮膚科で治療して来たのはいったんなんだったのか、
こんなに早く漢方薬で治るなんて周囲がびっくりしています。
2012年1月13日
ミリウム切開+ステロイド静脈注射+ボトックス (目尻と目の下)
2012年3月が皮膚炎のピーク
5月病院6件→ 大学病院 プロトピックを塗りなさい
【2013年8月7日 漢方薬服用前の顔】

【2013年8月30日
漢方薬と鹿の角と亀の腹板の健康食品併用 服用22日後の顔】
まるで女優さんみたいな綺麗さです。 素顔です。

※追記※関西相談会で撮影
【2013年9月21日
漢方薬と鹿の角と亀の腹板の健康食品併用服用44日後の顔】
口紅のみでファンデーションは塗っていません。
伝説の王妃石鹸で白くなりました。

【2013年8月7日 漢方薬服用前の舌の表】
黄色の厚い苔がびっしり全体を覆っています
熱 炎症 火が非常に旺盛です

【2013年8月30日 漢方薬服用22日後の舌の表】
黄色の苔が取れて白い苔が出てきました
熱 火 炎症がかなり取れています

※追記※関西相談会で撮影
【2013年9月21日・漢方薬服用44日後の舌の表】

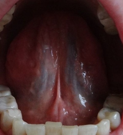
【2013年8月7日 漢方薬服用前の舌の裏】
舌の根本に黒々しい膨らみが見えます
この場合 舌を上にあげて1〜2分しますと
より一層黒い静脈血管が見えてきます
早く写真を撮りすぎて黒さが出ていません
若しくは皮膚が乾燥していますと 筋が硬く
舌を上に大きく上げられない 口を大きく開けられない場合があります

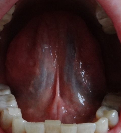
【2013年8月30日 漢方薬服用22日後の舌の裏】
筋が潤い柔らかくなりますと舌も柔軟になり上にしっかりあげられるようになります
静脈血管に黒い部分は於血毒素 炎症 火です
黒い色は於血 毒素 火 炎症 です。

※追記※関西相談会で撮影
【2013年9月21日・漢方薬服用44日後の舌の裏】

【服用薬】
プロトピック
シナール
【オータニ漢方薬局でのご購入歴】
2013年8月7日
*体質改善 30日分 18,900円
*風邪ひきはじめ薬 夏用 3日分 1,890円
*伝説の王妃石鹸(植物成分入り)80g 2個 5,600円
お客様の声(ブログ) お客様の声(はがき)
*伝説の王妃シャンプー(植物成分入り)100ml 2本セット キャンペーン 1セット 5,000円
お客様の声(ブログ) お客様の声(はがき)
*スプレー 2個 210円
*潤い化粧水Aモア(マカデミアナッツオイル)100ml 2本 5,600円
お客様の声(ブログ) お客様の声(はがき)
*『鹿の角と亀の腹板の健康食品』60包 2袋 25,200円
お客様の声(ブログ)2013年8月8日
*風邪ひきはじめ薬 夏用 3日分 1,890円
*痒み止め 16日分 10,080円
2013年8月19日
*潤い化粧水Aモア(マカデミアナッツオイル)100ml 2本 5,600円
*風邪ひきはじめ薬 夏用 3日分 1,890円
*伝説の王妃シャンプー(植物成分入り)100ml 2本セットキャンペーン 1セット 5,000円
以上、漢方薬30日分の服用結果です。
新たに2013年9月3日
*体質改善 20日分 12,600円
*『鹿の角と亀の腹板の健康食品』60包 2袋 25,200円
ご注文されました。
今回の皮膚改善の即効性は
『鹿の角と亀の腹板の健康食品』を合わせて服用頂いた事が
非常に大きく貢献しています。



