2020年10月12日
M.Mさん(2001年生まれ)の叢生治療例
当院の歯並び・咬み合せ矯正を患者様の治療例を用いてわかりやすくご案内いたします。
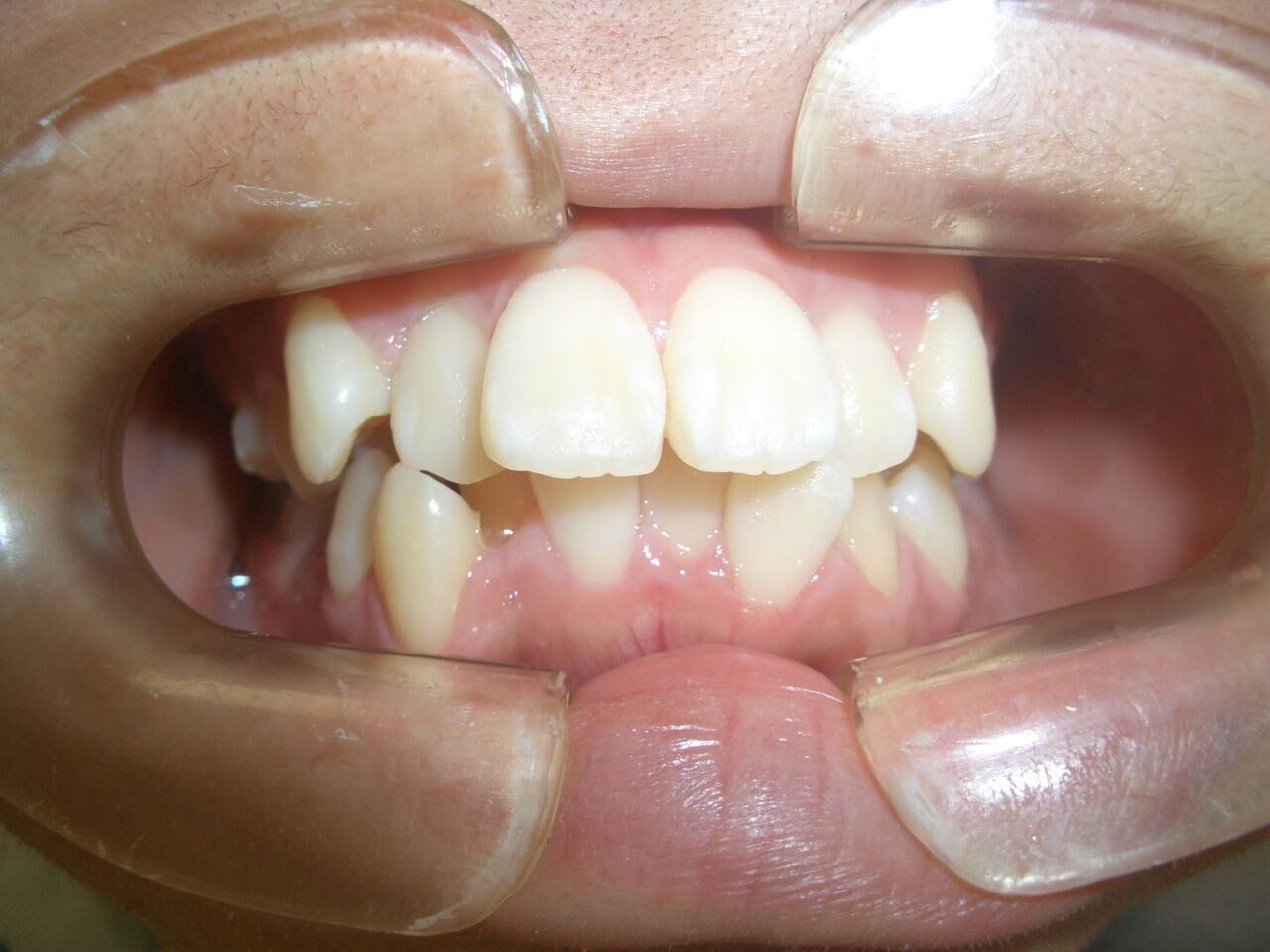
初診
2016.4.8(14歳5か月)
矯正専門の歯科医院で4本抜歯するといわれたそうです。
抜かない方法で治療したいと当院に来院されました。
小田原から通院してくださいました。
6か月経過
2016.10.29(15歳)
上顎の前歯がそろってきました。
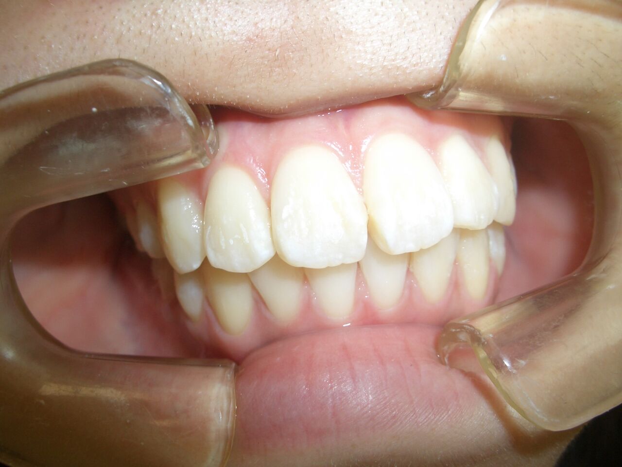
1年3か月経過
2017.6.10(15歳7か月)
内側に入っていた歯を外側に移動させています。
1年5か月経過
2017.8.19(15歳10か月)
上下の前歯がきれいにならんできました。
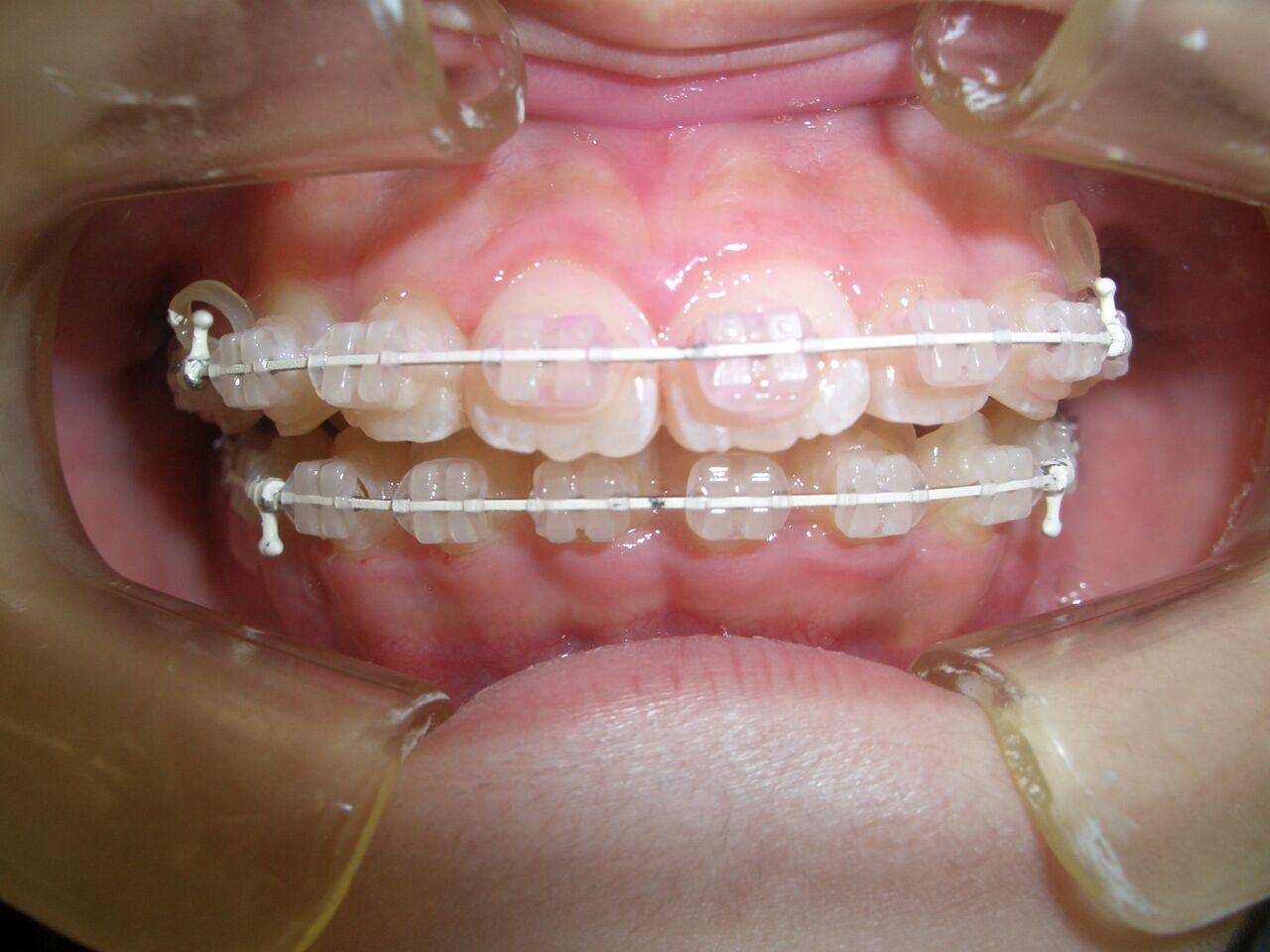
2年4か月経過
2018.7.14(16歳8か月)
前歯の上下のかみ合わせをつくるための作業をしています。
2年9か月経過
2018.12.8(17歳1か月)
歯並び、かみ合わせがよくなったのでワイヤーを取りはずしました。
抜歯せず矯正治療ができたことをM.Mさんもお母様もお喜びでした。
初診2016.4.8(14歳5か月)
矯正専門の歯科医院で4本抜歯するといわれたそうです。
抜かない方法で治療したいと当院に来院されました。
小田原から通院してくださいました。
6か月経過2016.10.29(15歳)
上顎の前歯がそろってきました。
1年3か月経過2017.6.10(15歳7か月)
内側に入っていた歯を外側に移動させています。
1年5か月経過2017.8.19(15歳10か月)
上下の前歯がきれいにならんできました。
2年4か月経過2018.7.14(16歳8か月)
前歯の上下のかみ合わせをつくるための作業をしています。
2年9か月経過2018.12.8(17歳1か月)
歯並び、かみ合わせがよくなったのでワイヤーを取りはずしました。
抜歯せず矯正治療ができたことをM.Mさんもお母様もお喜びでした。








