2016年10月17日
M・Oさん(2004年生まれ)の叢生治療例
当院の歯並び・咬み合せ矯正を患者様の治療例を用いてわかりやすくご案内いたします。
初診 2015.1.20 (10歳8か月)
前歯のすきまを治したいと来院。
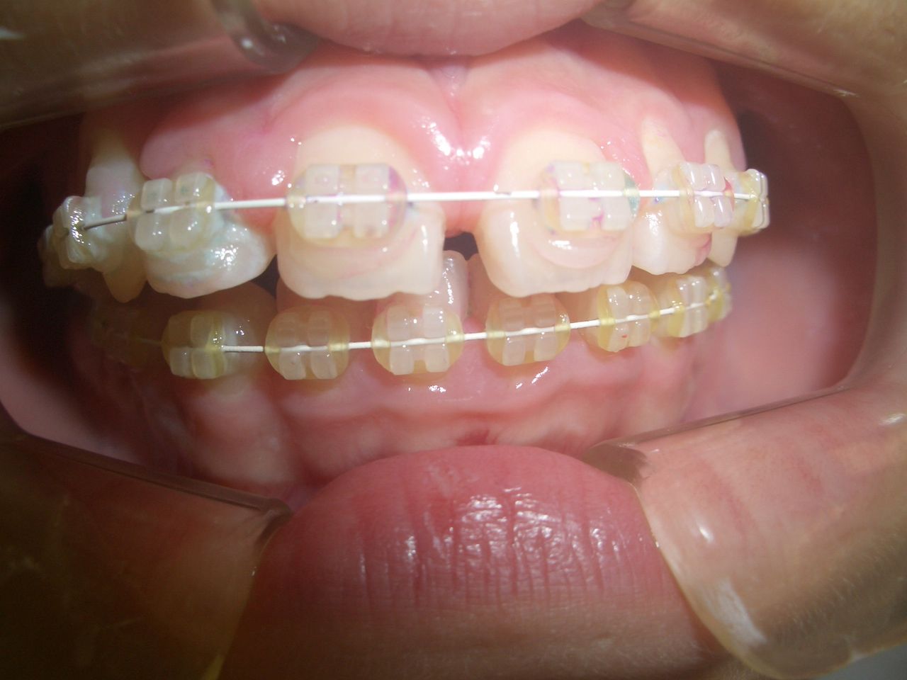
5か月経過 2015.6.26 (11歳1か月)
犬歯がおりてきましたが、すきまがあるので、すきまを治していきます。
11か月経過 2015.12.18 (11歳7か月)
すきまもなくなり。前歯もきれいにならんでいます。
咬み合せもよくなりました。
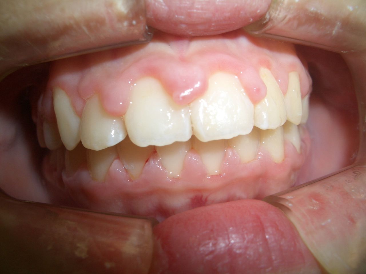
1年1か月経過 2016.2.26 (11歳9か月)
咬み合せも歯並びもよいのでワイヤーをはずしました。
あまりにも早く終了したので、お母さんが驚いていました。
ただ、歯肉の状態がよくないのでブラッシングについてお話ししました。
初診 2015.1.20 (10歳8か月)
前歯のすきまを治したいと来院。5か月経過 2015.6.26 (11歳1か月)
犬歯がおりてきましたが、すきまがあるので、すきまを治していきます。11か月経過 2015.12.18 (11歳7か月)
すきまもなくなり。前歯もきれいにならんでいます。咬み合せもよくなりました。
1年1か月経過 2016.2.26 (11歳9か月)
咬み合せも歯並びもよいのでワイヤーをはずしました。あまりにも早く終了したので、お母さんが驚いていました。
ただ、歯肉の状態がよくないのでブラッシングについてお話ししました。
shigeruoh at 00:26│
│非抜歯矯正 治療例