2017年03月02日
R.Gさん (2002年生まれ)の叢生治療例
当院の歯並び・咬み合せ矯正を患者様の治療例を用いてわかりやすくご案内いたします。
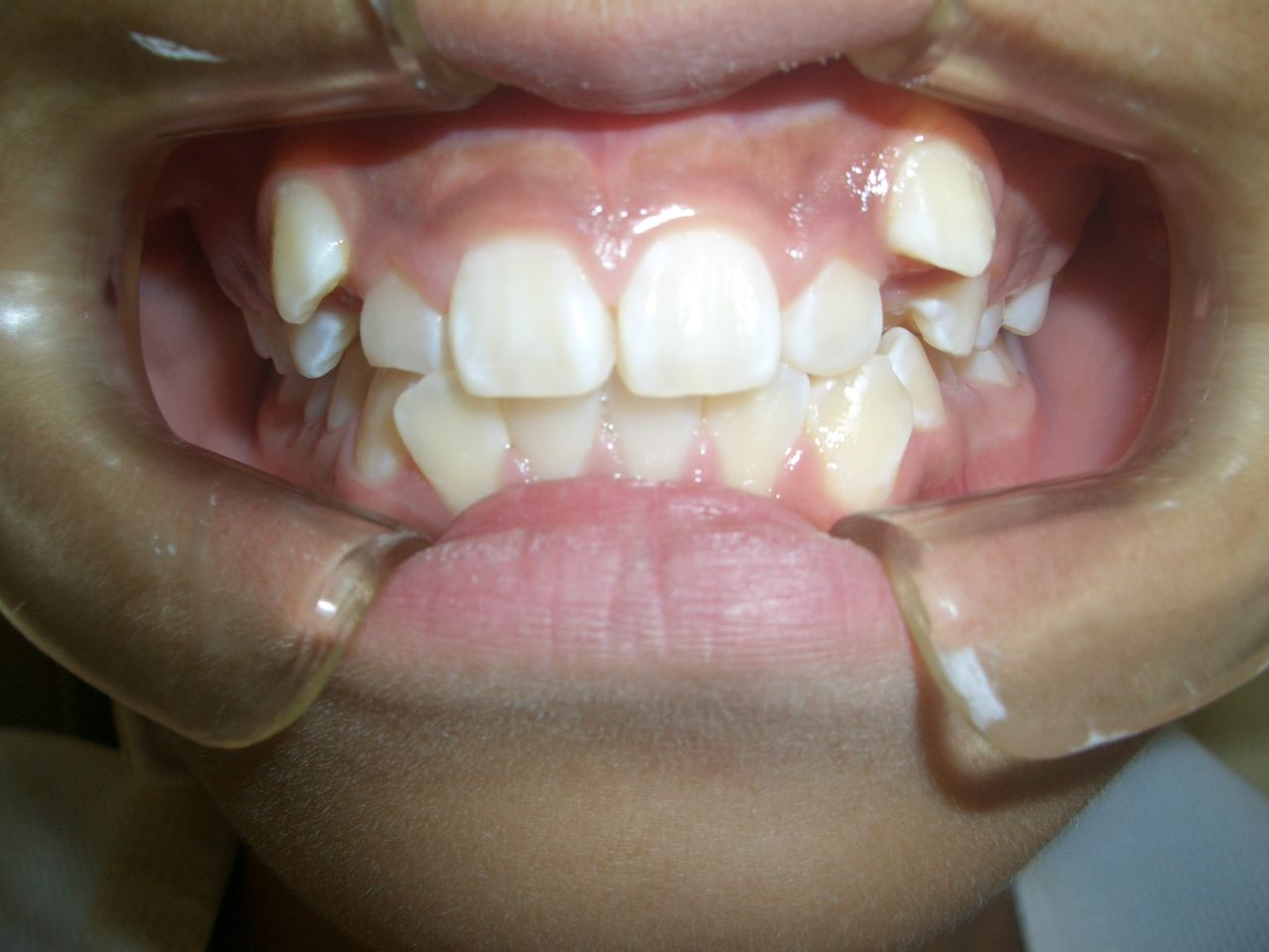
初診 2015.5.19 (12歳10か月)
当院のホームページをごらんになって来院されました。
上の歯の犬歯が上の方から出ているので治したいということで治療を始めました。
5か月経過 2015.10.6 (13歳3か月)
上の左右の犬歯を正常の位置にひっぱっています。
1年経過 2016.5.16 (13歳10か月)
かなりきれいに並んできました。
次に咬み合せの修正をします。
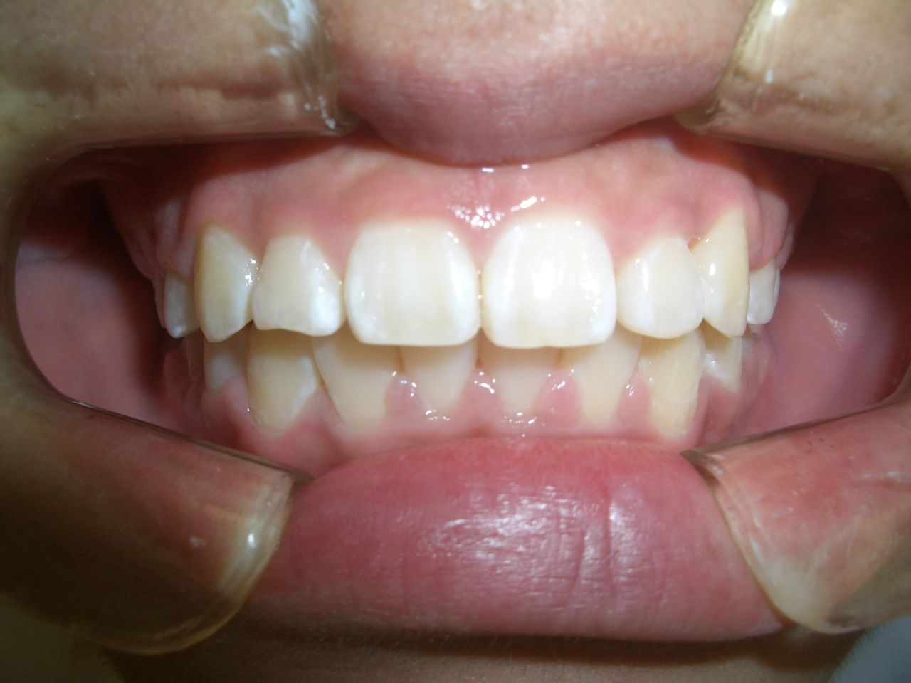
1年7か月経過 2016.12.19 (14歳5か月)
R.G さんもお母さんも歯並びに納得されたのでワイヤーをはずしました。
初診 2015.5.19 (12歳10か月)
当院のホームページをごらんになって来院されました。上の歯の犬歯が上の方から出ているので治したいということで治療を始めました。
5か月経過 2015.10.6 (13歳3か月)
上の左右の犬歯を正常の位置にひっぱっています。1年経過 2016.5.16 (13歳10か月)
かなりきれいに並んできました。次に咬み合せの修正をします。
1年7か月経過 2016.12.19 (14歳5か月)
R.G さんもお母さんも歯並びに納得されたのでワイヤーをはずしました。shigeruoh at 19:15│
│非抜歯矯正 治療例