2018年05月14日
C.Nさん(2000年生まれ)の叢生治療例
当院の歯並び・咬み合せ矯正を患者様の治療例を用いてわかりやすくご案内いたします。
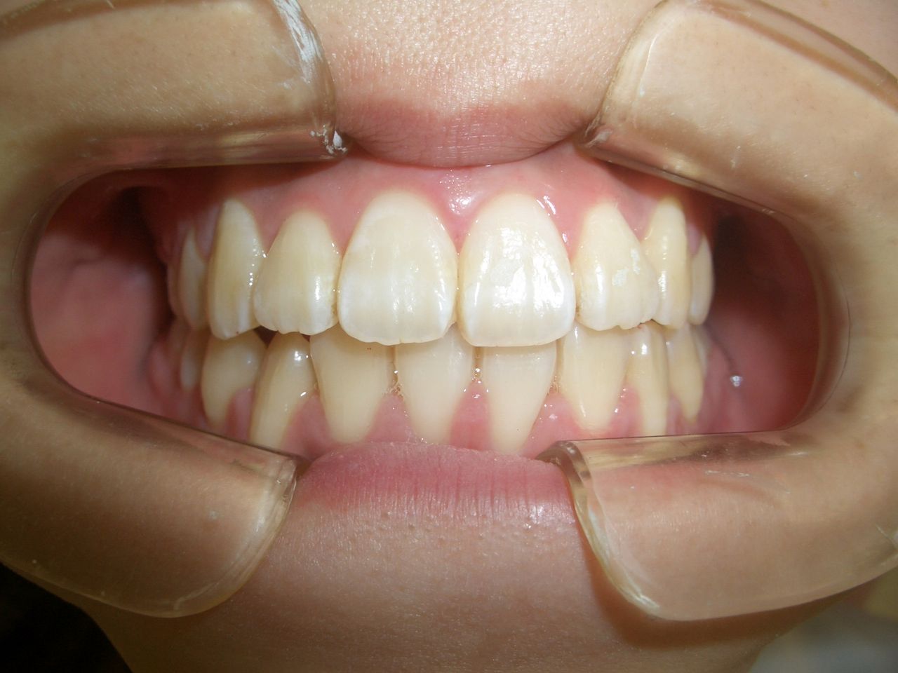
初診 2015.7.18 (15歳3か月)
当院のホームページをご覧になり来院されました。
歯を抜かない方法で上下の前歯をきれいにしたいということでした。
3か月経過 2015.10.17 (15歳6か月)
まず下の歯の治療から始めました。
6か月経過 2016.2.8 (15歳10か月)
上下の前歯がきれいに並びました。下のあごが少し出るので、固定する時間をとりました。
1年8か月経過 2017.3.27 (16歳11か月)
C.Nさんが納得したのでワイヤーをはずしました。
初診 2015.7.18 (15歳3か月)
当院のホームページをご覧になり来院されました。歯を抜かない方法で上下の前歯をきれいにしたいということでした。
3か月経過 2015.10.17 (15歳6か月)
まず下の歯の治療から始めました。6か月経過 2016.2.8 (15歳10か月)
上下の前歯がきれいに並びました。下のあごが少し出るので、固定する時間をとりました。1年8か月経過 2017.3.27 (16歳11か月)
C.Nさんが納得したのでワイヤーをはずしました。shigeruoh at 18:58│
│非抜歯矯正 治療例