2019年05月02日
S.R.さん (2004年生まれ) の叢生治療例
当院の歯並び・咬み合せ矯正を患者様の治療例を用いてわかりやすくご案内いたします。
初診 2015年10月 (11歳6か月)
前歯が気になると来院されました。
4か月経過 2016年3月 (11歳10か月)

前歯がそろってきました。
11か月経過 2016年9月 (12歳5か月)

上下の咬み合せもよくなりました。
1年6か月経過 2017年5月 (13歳)

上下の歯並びもよくなりました。
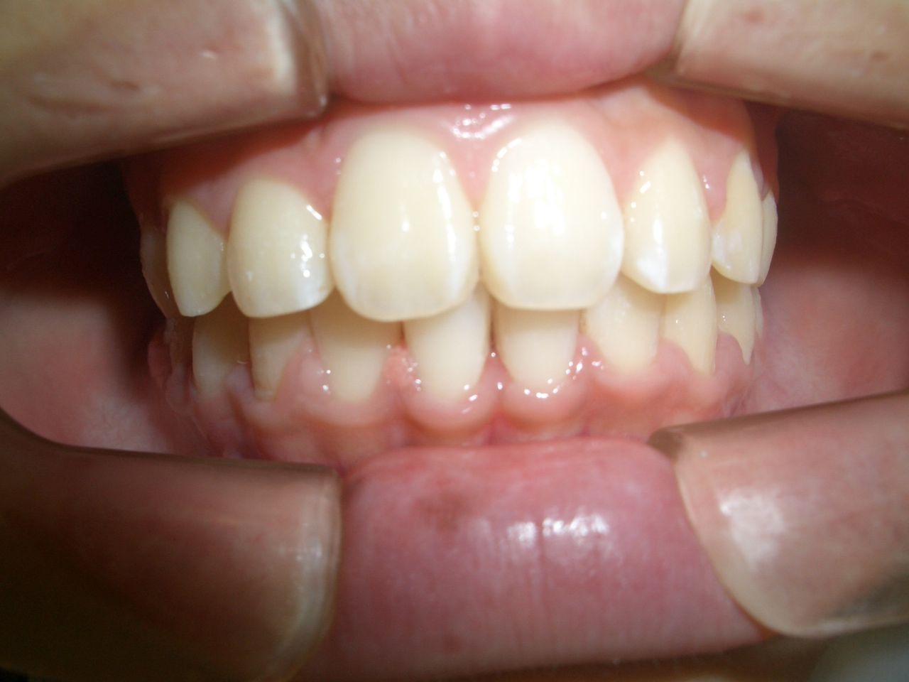
2年経過 2017年10月 (13歳6か月)

歯を抜かずに治療ができてS.R.さんもお母さんもとても喜んでいました。
初診 2015年10月 (11歳6か月)
前歯が気になると来院されました。4か月経過 2016年3月 (11歳10か月)

前歯がそろってきました。
11か月経過 2016年9月 (12歳5か月)

上下の咬み合せもよくなりました。
1年6か月経過 2017年5月 (13歳)

上下の歯並びもよくなりました。
2年経過 2017年10月 (13歳6か月)

歯を抜かずに治療ができてS.R.さんもお母さんもとても喜んでいました。
shigeruoh at 17:09│
│非抜歯矯正 治療例