2019年05月02日
K.A.さん(2004年生まれ)の叢生治療例
当院の歯並び・咬み合せ矯正を患者様の治療例を用いてわかりやすくご案内いたします。
初診 2015年9月 (10歳10か月)

前歯がガタガタなので治したいと来院されました。
6か月経過 2016年3月(11歳4か月)
かなり前歯がそろってきました。
1年経過 2016年9月 (11歳10か月)
上の犬歯が出ている途中ですが、前歯の咬み合せもよくなってきました。
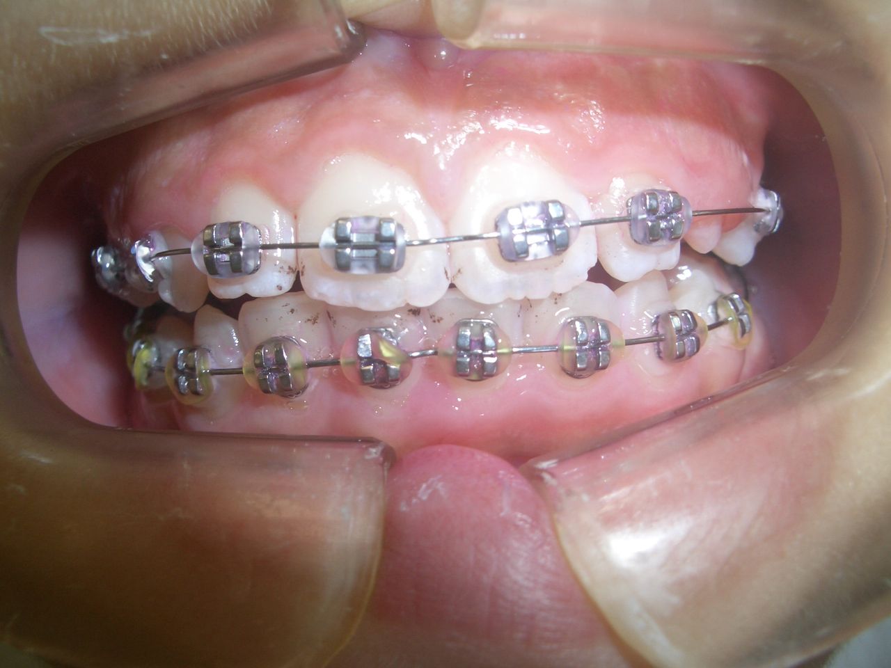
2年経過 2017年10月 (12歳11か月)
K.A.さんもお母さんも納得されたのでワイヤーをはずしました。
初診 2015年9月 (10歳10か月)

前歯がガタガタなので治したいと来院されました。
6か月経過 2016年3月(11歳4か月)
かなり前歯がそろってきました。1年経過 2016年9月 (11歳10か月)
上の犬歯が出ている途中ですが、前歯の咬み合せもよくなってきました。2年経過 2017年10月 (12歳11か月)
K.A.さんもお母さんも納得されたのでワイヤーをはずしました。shigeruoh at 17:23│
│非抜歯矯正 治療例