2020年04月10日
C.Eさん(2006年生まれ)の叢生治療例
当院の歯並び・咬み合せ矯正を患者様の治療例を用いてわかりやすくご案内いたします。
初診 2015.1.19(8歳6か月)
前歯の歯並びが気になるので来院されました。
5か月経過 2015.6.23(8歳11か月)
前歯の調整をしています。
11か月経過 2015.12.21(9歳5か月)
犬歯の交換(はえかわり)が始まっています。
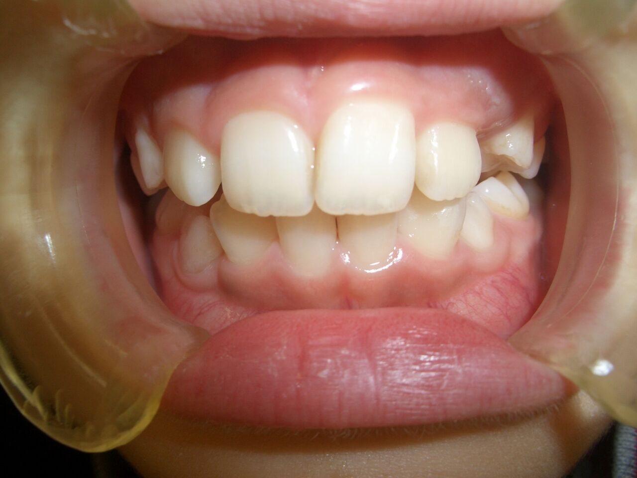
1年4か月経過 2016.5.23(9歳10か月)
左下前歯の犬歯が外側にでてきてしまいました。
2年2か月経過 2017.3.21(10歳8か月)
すべて永久歯に交換して(はえかわり)前歯はきれいに並んできました。
2年8か月経過 2017.12.16(11歳4か月)
上下のかみ合わせもよくなったのでワイヤーをはずしました。
初診 2015.1.19(8歳6か月)
前歯の歯並びが気になるので来院されました。5か月経過 2015.6.23(8歳11か月)
前歯の調整をしています。11か月経過 2015.12.21(9歳5か月)
犬歯の交換(はえかわり)が始まっています。1年4か月経過 2016.5.23(9歳10か月)
左下前歯の犬歯が外側にでてきてしまいました。2年2か月経過 2017.3.21(10歳8か月)
すべて永久歯に交換して(はえかわり)前歯はきれいに並んできました。2年8か月経過 2017.12.16(11歳4か月)
上下のかみ合わせもよくなったのでワイヤーをはずしました。shigeruoh at 14:16│
│非抜歯矯正 治療例