2020年04月10日
A.Nさん(2006年生まれ)の叢生治療例
当院の歯並び・咬み合せ矯正を患者様の治療例を用いてわかりやすくご案内いたします。
初診
2015.7.10
9歳6か月
前歯のかみ合わせが気になる、ということで来院されました。
5か月経過
2015.12.12
9歳11か月
かみ合わせがよくなってきました。
11か月経過
2016.7.9 10歳6か月
上下のかみ合わせ、歯のならびもよくなりました。
1年4か月経過
2018.3.5
12歳2か月
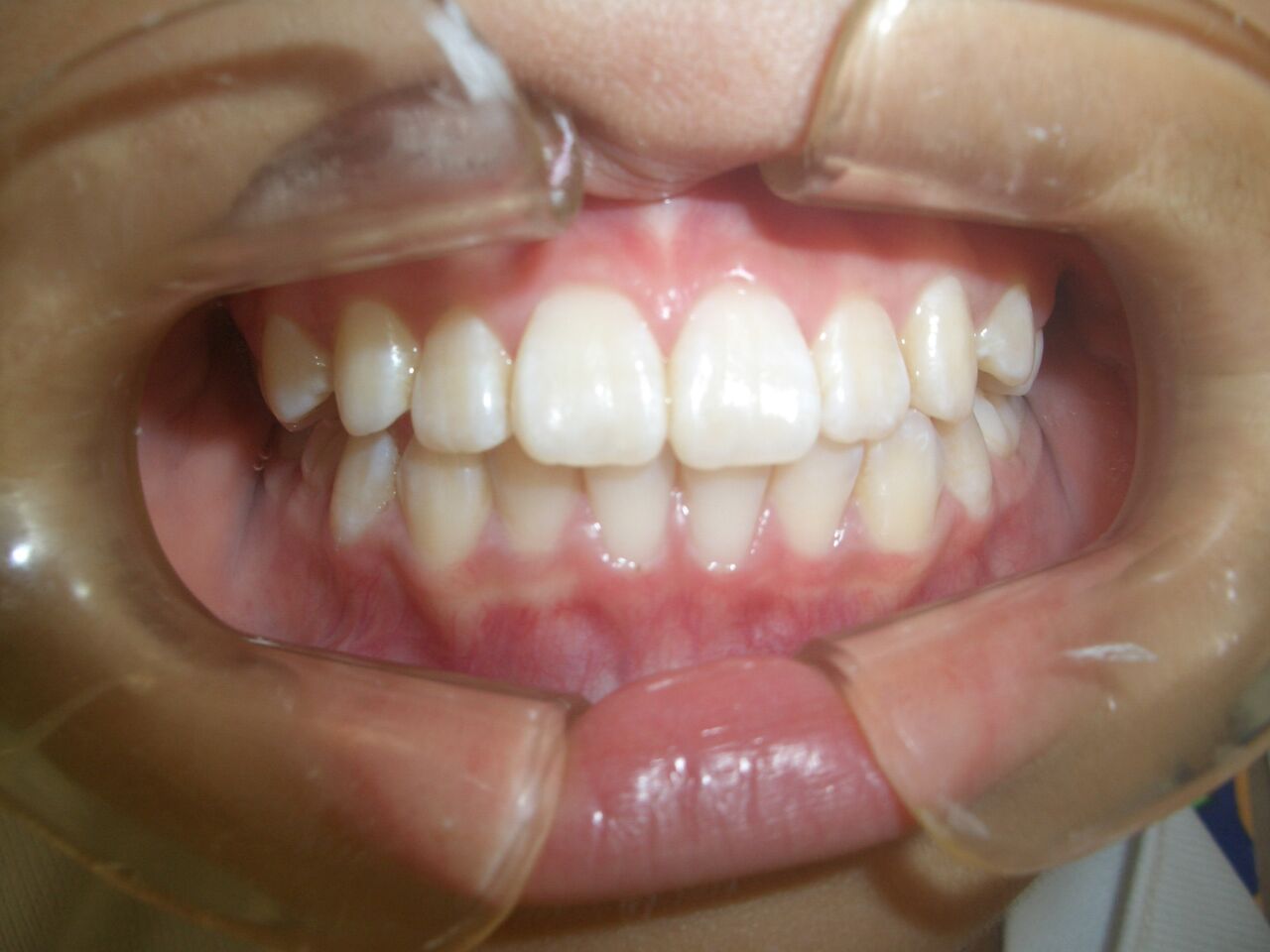
ワイヤーをはずしました。
きれいな歯並びになってA.Nさんもご両親もとても喜んでくださいました。
初診 2015.7.10
9歳6か月
前歯のかみ合わせが気になる、ということで来院されました。
5か月経過 2015.12.12
9歳11か月
かみ合わせがよくなってきました。
11か月経過 2016.7.9 10歳6か月
上下のかみ合わせ、歯のならびもよくなりました。
1年4か月経過 2018.3.5
12歳2か月
ワイヤーをはずしました。
きれいな歯並びになってA.Nさんもご両親もとても喜んでくださいました。
shigeruoh at 14:49│
│非抜歯矯正 治療例