2020年04月10日
S.Mさん(1999年生まれ)の叢生治療例
当院の歯並び・咬み合せ矯正を患者様の治療例を用いてわかりやすくご案内いたします。
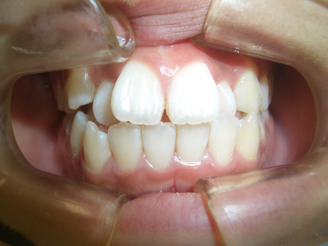
初診
2015.3.13
15歳5か月
ほかの矯正歯科医院で4本の抜歯の必要があるといわれ、歯を抜きたくない、ということで当院に来院されました。
8か月経過
2016.1.30
16歳5か月
まず内側に入っている歯を外側にひっぱりだしています。
1年3か月経過
2016.8.9
17歳
下の歯にもワイヤーを装着しました。
2年2か月経過
2017.6.17
17歳11か月
上下のかみ合わせの調整をしています。
2年6か月経過
2017.11.18 18歳3か月
S.Mさんもご家族も納得されたので、ワイヤーをはずしました。
初診 2015.3.13
15歳5か月
ほかの矯正歯科医院で4本の抜歯の必要があるといわれ、歯を抜きたくない、ということで当院に来院されました。
8か月経過 2016.1.30
16歳5か月
まず内側に入っている歯を外側にひっぱりだしています。
1年3か月経過 2016.8.9
17歳
下の歯にもワイヤーを装着しました。
2年2か月経過 2017.6.17
17歳11か月
上下のかみ合わせの調整をしています。
2年6か月経過 2017.11.18 18歳3か月
S.Mさんもご家族も納得されたので、ワイヤーをはずしました。
shigeruoh at 15:20│
│非抜歯矯正 治療例