2012年04月30日
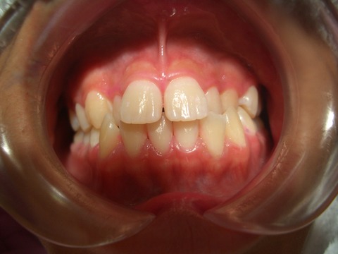
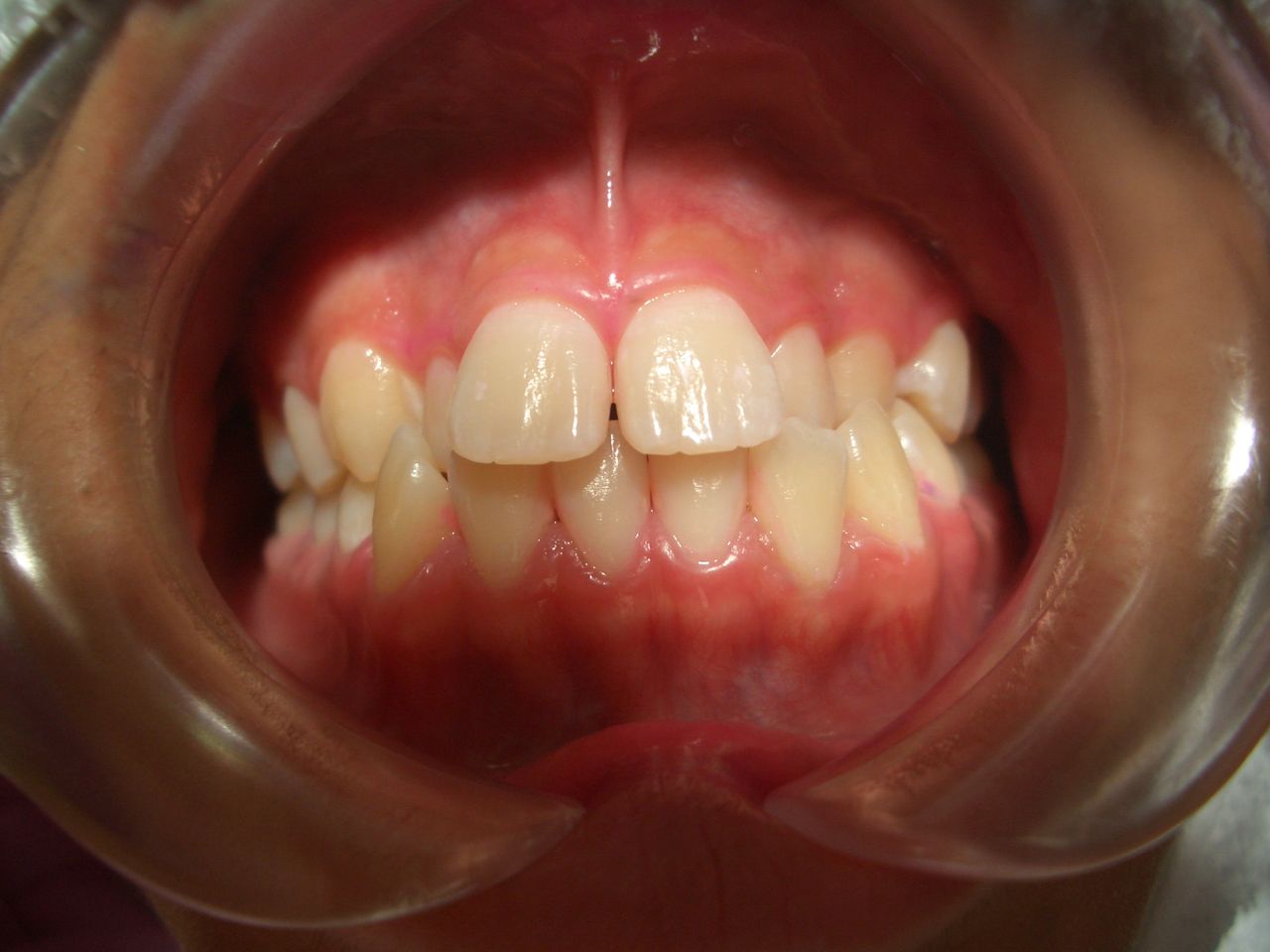
S君の交叉咬合 改善例
当院の歯並び・咬み合せ矯正を患者様の治療例を用いてわかりやすくご案内いたします。
詳しくは、おおの歯科医院矯正サイト をご覧ください。
一般的な歯科治療については、 おおの歯科医院公式サイト をご覧ください。
S君の非抜歯矯正治療例
1年4ヶ月で終了しました
S君のコメント
「歯を抜かないで、こんなに短期間できれいになってうれしいです。」
治療開始 2010.8.2 (中学2年生)
2011.10.5 (1年2ヶ月経過)
治療終了 2011.12.2 (中学3年生) 
shigeruoh at 14:05│
│非抜歯矯正 治療例