非抜歯矯正 治療例
2020年10月12日
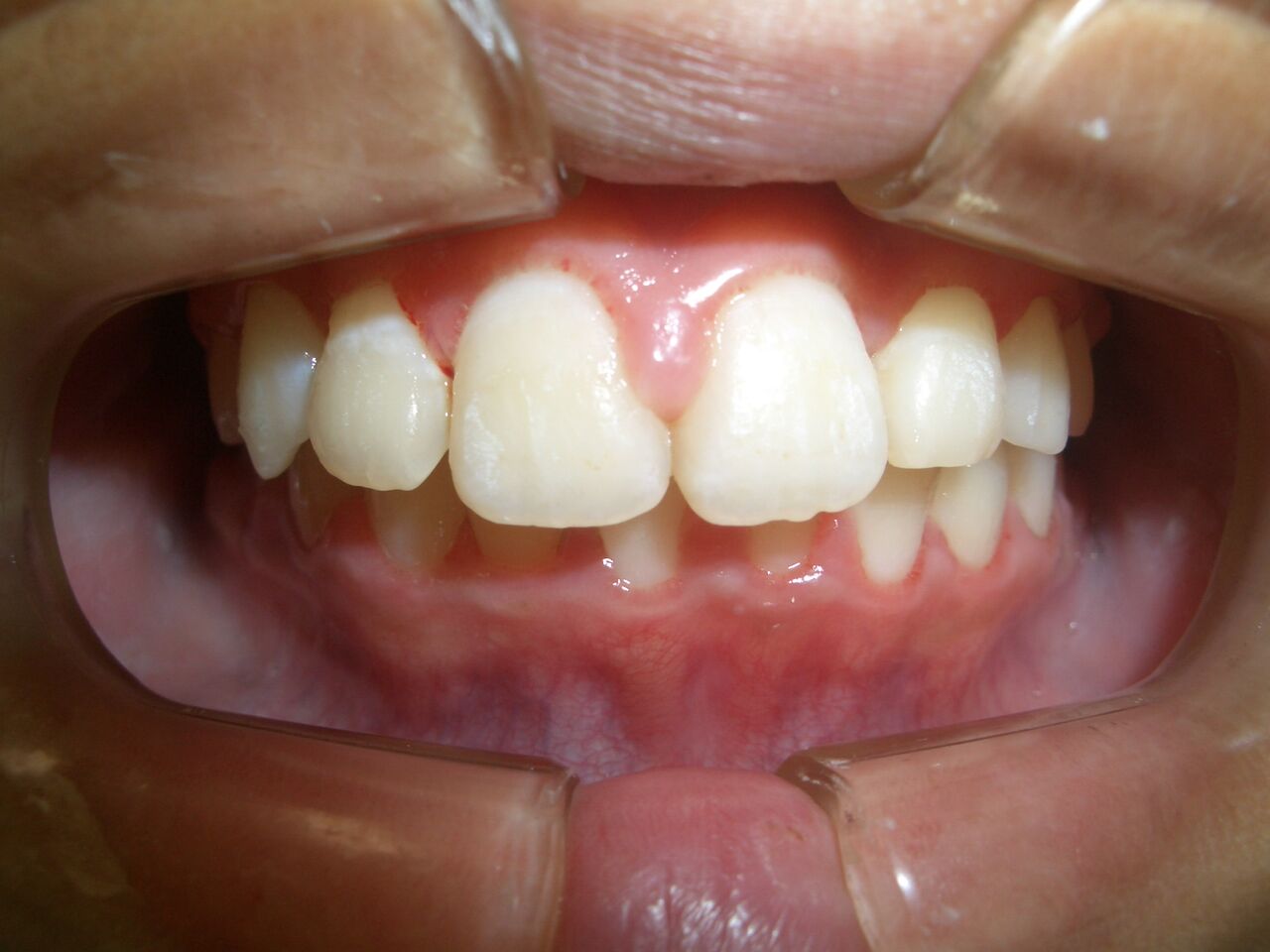
M.Rさん(2005年生まれ)の叢生治療例
当院の歯並び・咬み合せ矯正を患者様の治療例を用いてわかりやすくご案内いたします。
初診
2015.8.8(9歳9か月)
前歯の隙間を治してほしいと来院されました。
7か月経過
2016.3.26(10歳4か月)
前歯がかなり中に入ってきています。
1年7か月経過
2017.3.18(11歳4か月)
前歯が出ていたのですがそろってきています。
2年7か月経過
2018.3.3(12歳4か月)
M.Rさんもご両親も納得されたのでワイヤーをはずしました。
初診2015.8.8(9歳9か月)
前歯の隙間を治してほしいと来院されました。
7か月経過2016.3.26(10歳4か月)
前歯がかなり中に入ってきています。
1年7か月経過2017.3.18(11歳4か月)
前歯が出ていたのですがそろってきています。
2年7か月経過2018.3.3(12歳4か月)
M.Rさんもご両親も納得されたのでワイヤーをはずしました。
shigeruoh at 18:08|Permalink│
H.Nさん(2005年生まれ)の叢生治療例
当院の歯並び・咬み合せ矯正を患者様の治療例を用いてわかりやすくご案内いたします。
初診
2014.8.15(9歳6か月)
前歯が不ぞろいなので治したいと来院されました。
8か月経過
2015.4.28 (9歳3か月)
上の前歯を外側に移動させています。
1年8か月経過
2016.4.4(10歳2か月)
上下の前歯がならんできました。
2年2か月経過
2016.11.19(10歳9か月)
上下のかみ合わせもよくなってきました。
3年5か月経過
2018.3.31(13歳2か月)
少し時間がかかりましたが、H.Nさんが納得されたのでワイヤーをはずしました。
初診2014.8.15(9歳6か月)
前歯が不ぞろいなので治したいと来院されました。
8か月経過2015.4.28 (9歳3か月)
上の前歯を外側に移動させています。
1年8か月経過2016.4.4(10歳2か月)
上下の前歯がならんできました。
2年2か月経過2016.11.19(10歳9か月)
上下のかみ合わせもよくなってきました。
3年5か月経過2018.3.31(13歳2か月)
少し時間がかかりましたが、H.Nさんが納得されたのでワイヤーをはずしました。
shigeruoh at 17:59|Permalink│
M.Mさん(2001年生まれ)の叢生治療例
当院の歯並び・咬み合せ矯正を患者様の治療例を用いてわかりやすくご案内いたします。
初診
2016.4.8(14歳5か月)
矯正専門の歯科医院で4本抜歯するといわれたそうです。
抜かない方法で治療したいと当院に来院されました。
小田原から通院してくださいました。
6か月経過
2016.10.29(15歳)
上顎の前歯がそろってきました。
1年3か月経過
2017.6.10(15歳7か月)
内側に入っていた歯を外側に移動させています。
1年5か月経過
2017.8.19(15歳10か月)
上下の前歯がきれいにならんできました。
2年4か月経過
2018.7.14(16歳8か月)
前歯の上下のかみ合わせをつくるための作業をしています。
2年9か月経過
2018.12.8(17歳1か月)
歯並び、かみ合わせがよくなったのでワイヤーを取りはずしました。
抜歯せず矯正治療ができたことをM.Mさんもお母様もお喜びでした。
初診2016.4.8(14歳5か月)
矯正専門の歯科医院で4本抜歯するといわれたそうです。
抜かない方法で治療したいと当院に来院されました。
小田原から通院してくださいました。
6か月経過2016.10.29(15歳)
上顎の前歯がそろってきました。
1年3か月経過2017.6.10(15歳7か月)
内側に入っていた歯を外側に移動させています。
1年5か月経過2017.8.19(15歳10か月)
上下の前歯がきれいにならんできました。
2年4か月経過2018.7.14(16歳8か月)
前歯の上下のかみ合わせをつくるための作業をしています。
2年9か月経過2018.12.8(17歳1か月)
歯並び、かみ合わせがよくなったのでワイヤーを取りはずしました。
抜歯せず矯正治療ができたことをM.Mさんもお母様もお喜びでした。
shigeruoh at 17:37|Permalink│
M.Yさん(2004年生まれ)の叢生治療例
当院の歯並び・咬み合せ矯正を患者様の治療例を用いてわかりやすくご案内いたします。
初診
2015.9.19(11歳2か月)
下の前歯が不ぞろいなので治したいと来院されました。
8か月経過
2016.6.4(11歳10か月)
下の前歯の右2本目が内側に入っています。これから外に出していきます。
その歯が入るスペースがないので、そのスペースをつくっていきます。
1年5か月経過
2017.3.1(12歳7か月)
上の前歯の正中(顔の中心に歯の中心がきているか)もずれているので、これも治していきます。
2年2か月経過
2017.9.8(13歳1か月)
内側に入っていた歯もかなり外に出てきました。
2年6か月経過
2018.3.2(13歳7か月)
上下の正中もあってきています。
3年2か月経過
2018.10.19(14歳3か月)
M.Yさんもお母様も納得されたのでワイヤーをはずしました。
初診2015.9.19(11歳2か月)
下の前歯が不ぞろいなので治したいと来院されました。
8か月経過2016.6.4(11歳10か月)
下の前歯の右2本目が内側に入っています。これから外に出していきます。
その歯が入るスペースがないので、そのスペースをつくっていきます。
1年5か月経過2017.3.1(12歳7か月)
上の前歯の正中(顔の中心に歯の中心がきているか)もずれているので、これも治していきます。
2年2か月経過2017.9.8(13歳1か月)
内側に入っていた歯もかなり外に出てきました。
2年6か月経過2018.3.2(13歳7か月)
上下の正中もあってきています。
3年2か月経過2018.10.19(14歳3か月)
M.Yさんもお母様も納得されたのでワイヤーをはずしました。
shigeruoh at 17:16|Permalink│
H.Yさん(2003年生まれ)の叢生治療例
当院の歯並び・咬み合せ矯正を患者様の治療例を用いてわかりやすくご案内いたします。


初診
2017.3.6(13歳5か月)
前歯が不ぞろいなのでなおしたい、と来院されました。
8か月経過
2017.11.20(14歳1か月)
下の前歯をひっぱりだしています。
1年1か月経過
2018.4.21(14歳7か月)
上下の前歯がかなりそろってきています。
1年6か月経過
2018.9.12(14歳11か月)
H.Yさんがもうワイヤーをはずしたいというのでワイヤーを除去しました。
2017.3.6(13歳5か月)
前歯が不ぞろいなのでなおしたい、と来院されました。
8か月経過 2017.11.20(14歳1か月)
下の前歯をひっぱりだしています。
1年1か月経過2018.4.21(14歳7か月)
上下の前歯がかなりそろってきています。
1年6か月経過2018.9.12(14歳11か月)
H.Yさんがもうワイヤーをはずしたいというのでワイヤーを除去しました。
shigeruoh at 16:11|Permalink│