前突
2012年05月26日
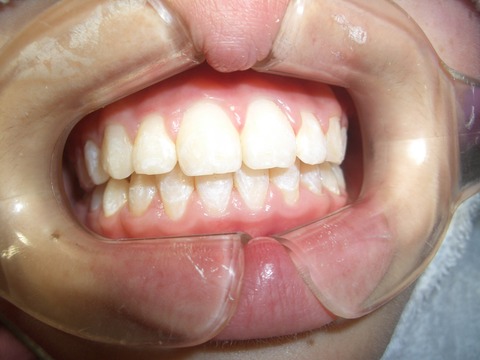
Yさんの前突・叢生 改善例
当院の歯並び・咬み合せ矯正を患者様の治療例を用いてわかりやすくご案内いたします。
詳しくは、おおの歯科医院矯正サイト をご覧ください。
一般的な歯科治療については、 おおの歯科医院公式サイト をご覧ください。
非抜歯矯正 Yさん
1年7ヶ月で終了しました。
Yさんのコメント
「小学校の卒業式の前に装置をはずすことができてよかったです。
友だちから、歯並びきれいになっていいなあ、と言われてうれしいです。」
治療開始 2010.7.24 (11歳)
前歯が出ていて、すきまがあるので治したいということでした。

1年1ヶ月経過 2011.9.13 (12歳2ヶ月)
「バレエを習っているので、目だたないようにしてほしい」ということで、セラミックブラケットを使用しています。

治療終了 2012.3.10 (12歳7ヶ月)

続きを読む
shigeruoh at 20:45|Permalink│