矯正
2016年03月29日
2016年3月24日 タウンニュース 平塚版/秦野(木)版 掲載!
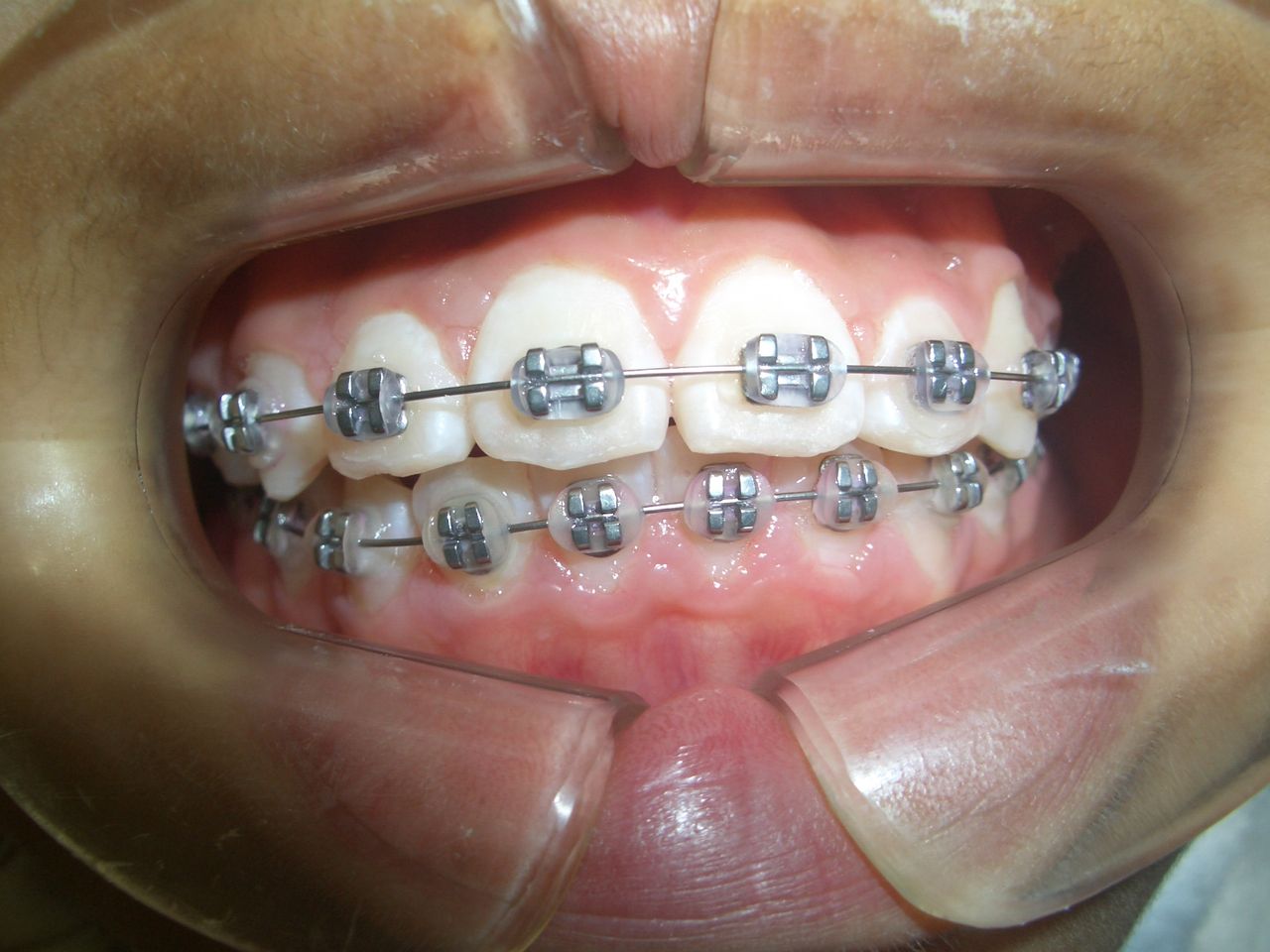
小学校や中学校、高校、大学への入学、就職など、4月から新生活を迎える方の多いこの時期は「歯並び」を見直そうと考える方も増えます。
当院は子どもの“チャイルド矯正”、大人の“非抜歯矯正”に力を入れている歯科医院。
このようなことから「新生活にむけて、早期の矯正を」と題してタウンニュースの取材を受けました。
歯並びをキレイにしたい、笑顔にもっと自信を持ちたいとお考えの方はぜひ参考になさってください。
当院は子どもの“チャイルド矯正”、大人の“非抜歯矯正”に力を入れている歯科医院。
このようなことから「新生活にむけて、早期の矯正を」と題してタウンニュースの取材を受けました。
歯並びをキレイにしたい、笑顔にもっと自信を持ちたいとお考えの方はぜひ参考になさってください。
shigeruoh at 18:30|Permalink│
2012年08月29日
Mさんの前歯の隙間の改善例
当院の歯並び・咬み合せ矯正を患者様の治療例を用いてわかりやすくご案内いたします。
詳しくは、おおの歯科医院矯正サイト をご覧ください。
一般的な歯科治療については、 おおの歯科医院公式サイト をご覧ください。
初診 2010.4.14 (15歳3か月)

前歯のすきまが気になるということで、矯正を始めました。
Mさんは矯正を始めるまでは、ワイヤーをつけることがかなりいやだったようです。
でも、いつまでも「すきっぱ」ではかっこ悪いと本人も納得して治療を始めました。
2012.8.10 (17歳6か月)

ワイヤーは2012.4.18(初診から2年後)にはずしました。
上の写真はワイヤーをはずしてから4ヶ月経過しています。
歯並びがよくなり、Mさんも自信につながったようです。
笑顔も一段とよくなりました。
shigeruoh at 10:26|Permalink│
K1君の叢生 改善例
当院の歯並び・咬み合せ矯正を患者様の治療例を用いてわかりやすくご案内いたします。
詳しくは、おおの歯科医院矯正サイト をご覧ください。
一般的な歯科治療については、 おおの歯科医院公式サイト をご覧ください。
初診 2009.4.11 (11歳4か月)

上下の前歯の歯並びが悪いので矯正を始めました。
3年3かヶ月後 2012.8.8 (13歳8かヶ月)

上下の歯をワイヤーにより移動させ矯正を実施しました。
初診時にまだ乳歯があり、すべての歯が永久歯にはえかわるまで時間がかかってしまいました。
上の写真はワイヤーをはずした状態です。
3年以上かかりましたが、歯を抜くことなく歯並びがきれいになったので、K1君もご家族も大満足とのことです。
shigeruoh at 10:00|Permalink│
2012年06月29日
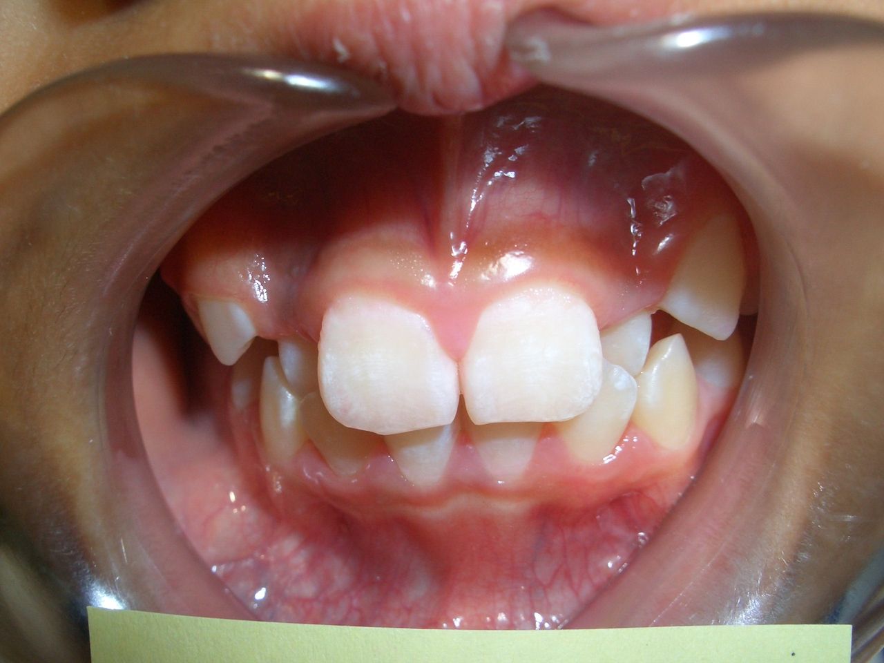
Yちゃんの反対咬合(受け口)
当院の歯並び・咬み合せ矯正を患者様の治療例を用いてわかりやすくご案内いたします。
詳しくは、おおの歯科医院矯正サイト をご覧ください。
一般的な歯科治療については、 おおの歯科医院公式サイト をご覧ください。
初診 2005.2.18 (6歳3か月)

6歳のときの模型の写真です。この時期から反対の咬み合わせでした。
小学校に入学してから、上の前歯(永久歯)がそのまま反対になってしまったので、小学2年生から矯正を始めました。
治療終了 2012.1.17 (12歳1か月)

咬み合わせが反対のため、長期的な治療になりました。
早めに治療を開始したことと、Yちゃんの頑張りにより、きれいな歯並びになりました。
6か月後の定期検診 2012.6.12 (12歳7か月)

保定のための装置をきちんと入れているので、ワイヤーをはずしたあとも変化はありません。
咬み合わせが反対でも歯を抜かないで矯正ができました。
shigeruoh at 17:24|Permalink│
2012年06月15日
Y君の前突・交叉咬合 改善例
当院の歯並び・咬み合せ矯正を患者様の治療例を用いてわかりやすくご案内いたします。
詳しくは、おおの歯科医院矯正サイト をご覧ください。
一般的な歯科治療については、 おおの歯科医院公式サイト をご覧ください。
初診 2010.12.4 (11歳4ヶ月 小学5年生)

上の前歯が内側に入っていて、下の前歯と交差しています。さっそく矯正治療をはじめました。
9か月経過 2011.9.9 (12歳1か月 小学6年生)

内側に入っていた前歯がかなり前方に移動しています。非抜歯治療です。
1年4ヶ月経過 2012.5.2 (12歳9か月 中学1年生)

内側に入っていた前歯が外側に出て、すべての歯がきれいにならびました。また上下の噛み合わせもよくなりました。
12月にワイヤーをはずす予定です。
shigeruoh at 09:21|Permalink│
