8
2015年10月11日
Y.Y君の(2002年生まれ)叢生治療例
当院の歯並び・咬み合せ矯正を患者様の治療例を用いてわかりやすくご案内いたします。
矯正治療の説明は、おおの歯科のホームページ http://www.ohno-dc.net もご覧ください。「診療科目」の「矯正歯科」をクリックしてください。
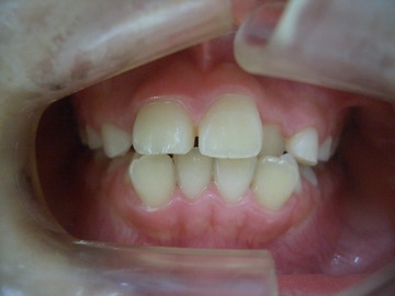
初診 2011.4.16 (8歳9か月)
上の前歯が内側に入ってしまっているので治したいということで来院。
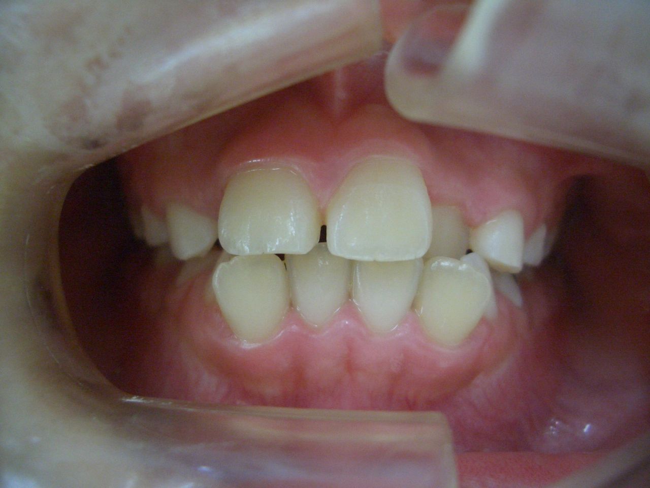
6か月経過 2011.10.24 (9歳3か月)
⎿2は外側に出て並んでいます。
2⏌を外側にひっぱっています。
1年8か月経過 2012.12.25(10歳5か月)
2⏌が外側に出ました。
3⏌の犬歯が萌出中です。
2年経過 2013.4.30 (10歳9か月)
3⏌の犬歯を引っぱり出しています。
2年5か月経過 2013.10.1 (11歳2か月)
上下ともかなりきれいに並んできました。
3年8か月経過 2015.1.10 (12歳6か月)
上下の第2臼歯の咬み合せを1年ほど経過観察後ワイヤーをはずしました。
部活、がんばってください!
矯正治療の説明は、おおの歯科のホームページ http://www.ohno-dc.net もご覧ください。「診療科目」の「矯正歯科」をクリックしてください。
初診 2011.4.16 (8歳9か月)
上の前歯が内側に入ってしまっているので治したいということで来院。6か月経過 2011.10.24 (9歳3か月)
⎿2は外側に出て並んでいます。2⏌を外側にひっぱっています。
1年8か月経過 2012.12.25(10歳5か月)
2⏌が外側に出ました。3⏌の犬歯が萌出中です。
2年経過 2013.4.30 (10歳9か月)
3⏌の犬歯を引っぱり出しています。2年5か月経過 2013.10.1 (11歳2か月)
上下ともかなりきれいに並んできました。3年8か月経過 2015.1.10 (12歳6か月)
上下の第2臼歯の咬み合せを1年ほど経過観察後ワイヤーをはずしました。部活、がんばってください!
shigeruoh at 19:04|Permalink│