10月23日(水)
こんにちは
ブログの更新が滞ってしまい申し訳ありません
連日のように重症例が来院してバタバタしておりますが
スタッフは皆元気に頑張っています
さて今回はも病気の話で少し難しくなってしまいますが
「黄疸」という言葉
皆さんも耳にしたことがあるかと思います
黄色いビリルビンというものが体内に溜まることで
身体が黄色くなる症状です
症状というだけで病名ではないので
黄疸と行っても様々な病気の結果として現れてきます
大きく分けると
溶血性黄疸・・・貧血など
肝性黄疸・・・肝炎などの肝臓疾患
肝後性黄疸・・・胆管閉塞など
の3つに分けられます
今回の症例はネコちゃんです
身体が黄色くなり吐き気などの症状が強く出てグッタリしているとのこと

白目の部分が黄色くなっています
検査を進めるために、お腹の毛を刈ってみると

皮膚まで黄色くなっているのが分かります
血液中のビリルビン(黄疸の指標)濃度は・・・

30以上と機械で計れない程上昇しています
そして今回この黄疸を引き起こしている原因を調べていきます

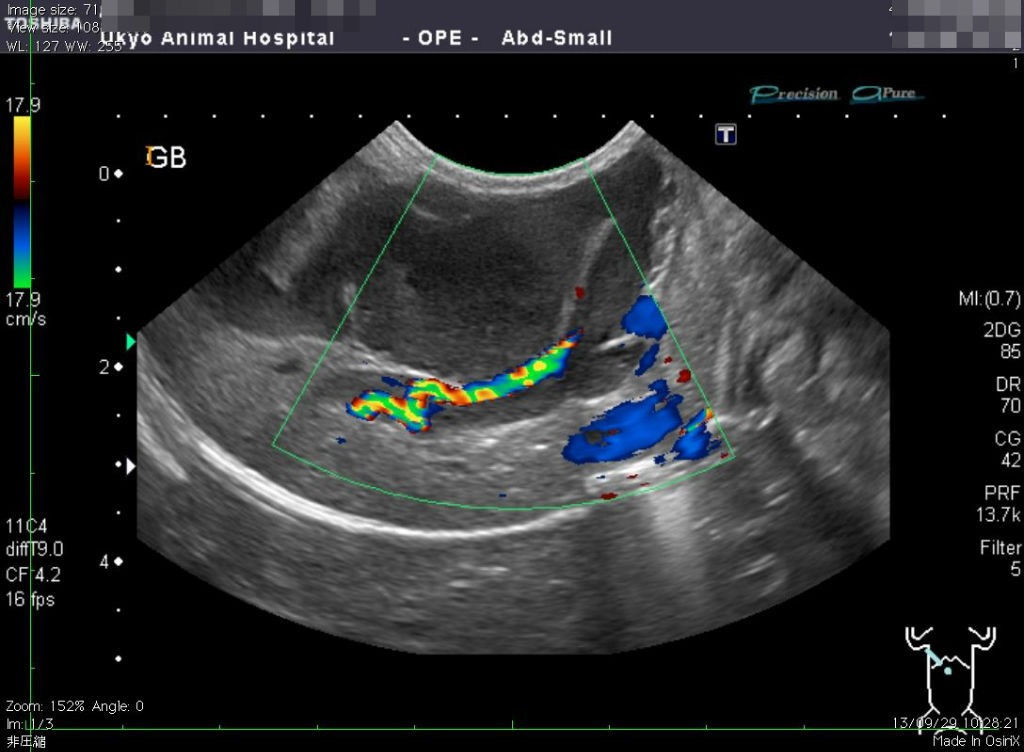
超音波検査で非常に拡張・蛇行した胆管・胆嚢(たんのう)が確認できました
胆嚢の中には胆汁というビリルビンを多く含んだ液体が含まれているのですが
この胆汁がスムーズに流れることができなくなってしまい
胆管閉塞を起こした結果、黄疸という症状が出てしまっていました
本来は手術が第一選択となることが多いのですが
今回は高齢ということもあり入院下で内科治療で進めていくこととなりました
その結果・・・

当初は30以上あったビリルビン濃度がどんどん下がってきてくれました
それと同時に食欲も出て退院となりホッとしました
このように「黄疸」といっても症状の一つであるため
しっかりと原因を見極めないと治療は上手くいきません
今回は肝後性黄疸の症例でしたが
次回はまた別の黄疸症例を診てもらおうと思います
ちなみに・・・
昔亡くした愛犬ジャンも黄疸が出ていました
なので黄疸に対しては強く反応してしまいます
原因は何であれ黄疸があるということは
重篤な病気を抱えている可能性が極めて高いです
尿や白眼、肌などが黄色いなと思ったらすぐに来院して下さいね
では今日はこの辺で・・・・
出来ましたら、拍手をお願いします♪
(拍手も、ランキング参加も、いつも、スタッフ一同の励みになっています(o^∇^o)ノ)

こんにちは
ブログの更新が滞ってしまい申し訳ありません
連日のように重症例が来院してバタバタしておりますが
スタッフは皆元気に頑張っています
さて今回はも病気の話で少し難しくなってしまいますが
「黄疸」という言葉
皆さんも耳にしたことがあるかと思います
黄色いビリルビンというものが体内に溜まることで
身体が黄色くなる症状です
症状というだけで病名ではないので
黄疸と行っても様々な病気の結果として現れてきます
大きく分けると
溶血性黄疸・・・貧血など
肝性黄疸・・・肝炎などの肝臓疾患
肝後性黄疸・・・胆管閉塞など
の3つに分けられます
今回の症例はネコちゃんです
身体が黄色くなり吐き気などの症状が強く出てグッタリしているとのこと

白目の部分が黄色くなっています
検査を進めるために、お腹の毛を刈ってみると

皮膚まで黄色くなっているのが分かります
血液中のビリルビン(黄疸の指標)濃度は・・・

30以上と機械で計れない程上昇しています
そして今回この黄疸を引き起こしている原因を調べていきます

超音波検査で非常に拡張・蛇行した胆管・胆嚢(たんのう)が確認できました
胆嚢の中には胆汁というビリルビンを多く含んだ液体が含まれているのですが
この胆汁がスムーズに流れることができなくなってしまい
胆管閉塞を起こした結果、黄疸という症状が出てしまっていました
本来は手術が第一選択となることが多いのですが
今回は高齢ということもあり入院下で内科治療で進めていくこととなりました
その結果・・・

当初は30以上あったビリルビン濃度がどんどん下がってきてくれました
それと同時に食欲も出て退院となりホッとしました
このように「黄疸」といっても症状の一つであるため
しっかりと原因を見極めないと治療は上手くいきません
今回は肝後性黄疸の症例でしたが
次回はまた別の黄疸症例を診てもらおうと思います
ちなみに・・・
昔亡くした愛犬ジャンも黄疸が出ていました
なので黄疸に対しては強く反応してしまいます
原因は何であれ黄疸があるということは
重篤な病気を抱えている可能性が極めて高いです
尿や白眼、肌などが黄色いなと思ったらすぐに来院して下さいね
では今日はこの辺で・・・・
出来ましたら、拍手をお願いします♪
(拍手も、ランキング参加も、いつも、スタッフ一同の励みになっています(o^∇^o)ノ)

