こんにちわ^^
気付けば暖かくなり、花見の季節となりましたね🌸
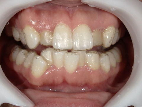
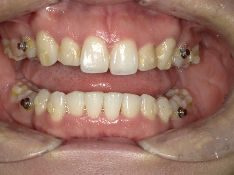
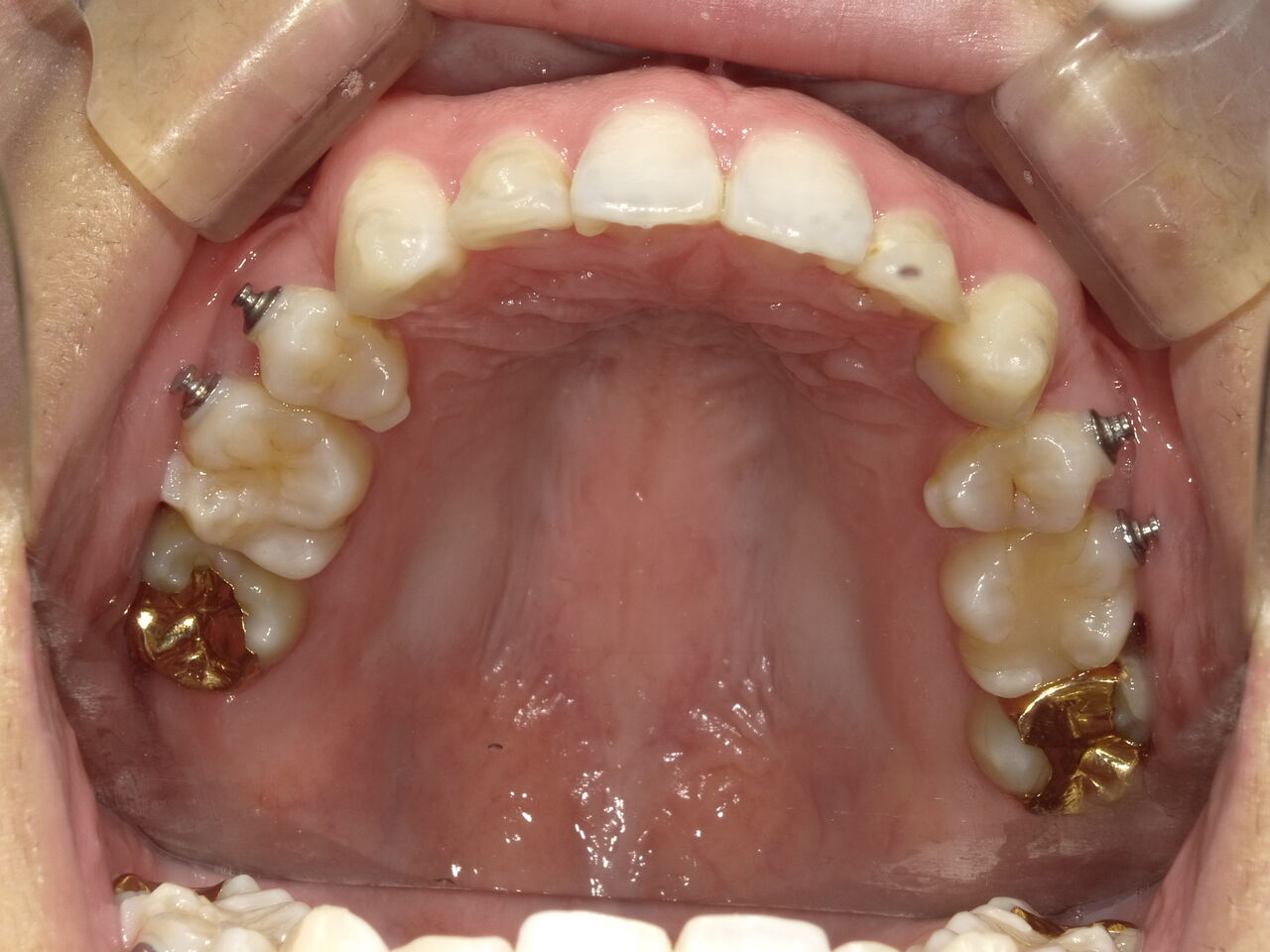
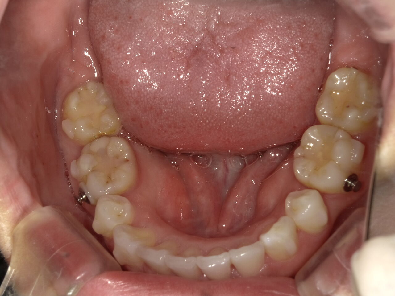
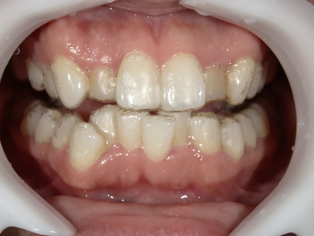
さて今回は経過ではなく、インビザラインの治療で必要になるIPRについてご紹介します。
IPRとは歯間を削ることです。
個人差はありますが、エナメル質を少しずつ(0.2~0.5mm程度)磨いて削るものです。
IPRをして、そこから虫歯になったりすることはありません。
なぜIPRが必要なの?と感じる方もいると思うので説明します。
例えば、歯が大きかったり、叢生(歯列がガタガタ)だと歯が動くスペースが少ないので確保するために必要になります。
IPRで使用する器具


隙間を計る器具

治療計画書(IPRの場所)

詳しくは当院までお問い合わせください。
※矯正治療は健康保険証の対象外です。
自由診療になります。














