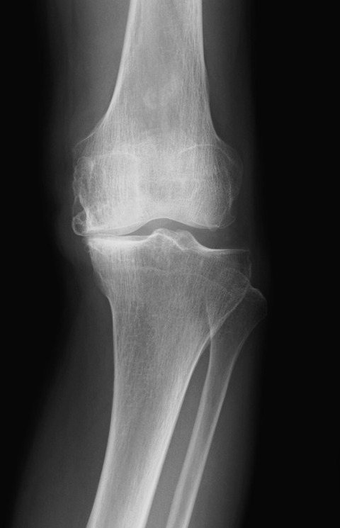
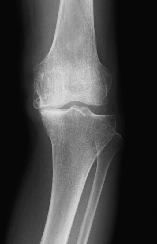
体重・荷重のかかる関節や頚椎・胸椎・腰椎は早ければ20代から静かに変形が始まります。
変形イコール痛みではないことを協調しておきます。
レントゲン画像上の変形は症状の原因というよりも、筋肉の機能低下の結果生じると考えるほうがよいと思われます。
いったん痛みなどの自覚症状があって来院された方が、時間の経過や何らかの治療を行うことで痛みが消失して、「治った」と思い込まれることが多いです。
歩くことよりも車での移動が多い傾向の栃木県では、変形がかなり進んでも痛みを訴えない方もいて、
痛くなくても画像上の変形は残っているどころか、時間の経過とともに変形がさらに進むことが多いです。
「痛くないから通院をやめた」という方が、自覚症状を伴わずに時間が経過したところで以前よりも強い痛みを自覚して、再び来院したら変形が相当進んでいたというケースは珍しくありません。
痛みは発作みたいなもので、「痛くない」ことと「治った」は別物です。
痛くなくても変形や昨日定雅が進むと説明をして年に1回程度のレントゲン撮影を勧めても拒まれることもあります。
生命に関わる病気でもないので、おすすめしても受診をしていただけずに病状が悪化しても、それはご自身の問題として理解いただくしかありません。
膝関節などはしばらく痛くなくても、しばらくぶりに痛みを自覚したときには、関節に水がたまり、毎週のように水を抜いてから、関節内に注射をすることを繰り返すケースも珍しくありません。
活発に活動する人の関節の変形が進めば、手術を勧めることもありますし、その前の段階で自費診療の再生医療を検討してもらうこともあります。

歩かなければ大丈夫と思われると、今度は大腿の筋肉が痩せ衰えていくことにつながり、活動レベルが高くない人手あれば、杖やシルバーカーで対応してもらうこともあります。
車の運転ができるうちは困らなくても、80代半ばで免許を返納した後は行動範囲が一気に狭まり、足腰の衰えをきっかけに認知障害を併発していくこともあり得ます。
変形イコール痛みではないことを協調しておきます。
レントゲン画像上の変形は症状の原因というよりも、筋肉の機能低下の結果生じると考えるほうがよいと思われます。
いったん痛みなどの自覚症状があって来院された方が、時間の経過や何らかの治療を行うことで痛みが消失して、「治った」と思い込まれることが多いです。
歩くことよりも車での移動が多い傾向の栃木県では、変形がかなり進んでも痛みを訴えない方もいて、
痛くなくても画像上の変形は残っているどころか、時間の経過とともに変形がさらに進むことが多いです。
「痛くないから通院をやめた」という方が、自覚症状を伴わずに時間が経過したところで以前よりも強い痛みを自覚して、再び来院したら変形が相当進んでいたというケースは珍しくありません。
痛みは発作みたいなもので、「痛くない」ことと「治った」は別物です。
痛くなくても変形や昨日定雅が進むと説明をして年に1回程度のレントゲン撮影を勧めても拒まれることもあります。
生命に関わる病気でもないので、おすすめしても受診をしていただけずに病状が悪化しても、それはご自身の問題として理解いただくしかありません。
膝関節などはしばらく痛くなくても、しばらくぶりに痛みを自覚したときには、関節に水がたまり、毎週のように水を抜いてから、関節内に注射をすることを繰り返すケースも珍しくありません。
活発に活動する人の関節の変形が進めば、手術を勧めることもありますし、その前の段階で自費診療の再生医療を検討してもらうこともあります。

歩かなければ大丈夫と思われると、今度は大腿の筋肉が痩せ衰えていくことにつながり、活動レベルが高くない人手あれば、杖やシルバーカーで対応してもらうこともあります。
車の運転ができるうちは困らなくても、80代半ばで免許を返納した後は行動範囲が一気に狭まり、足腰の衰えをきっかけに認知障害を併発していくこともあり得ます。
コメント